最新の症例紹介
Clinical Cases
Clinical Cases


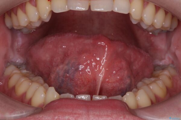
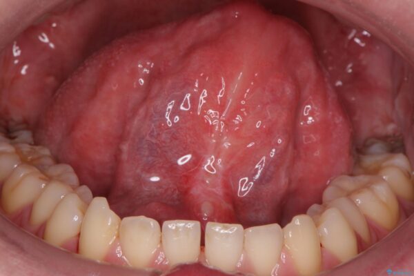
滑舌を改善したいとご相談にいらっしゃった患者様です。


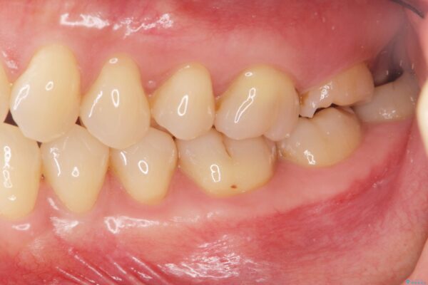
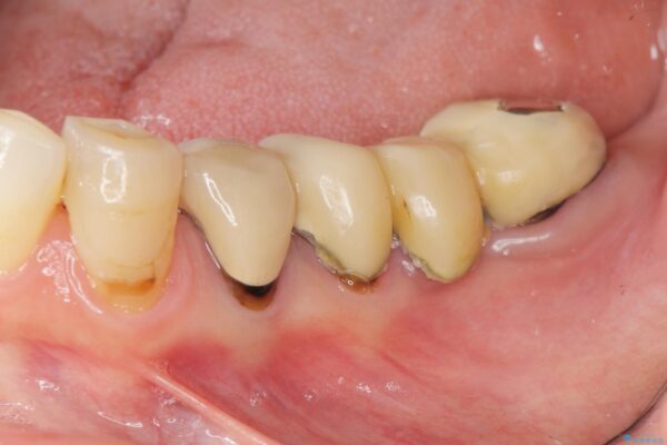
「奥歯で噛むと痛い、いつも膿のにおいがして不快、改善してほしい。」と治療を希望され来院されました。
![銀歯を除去してのセラミック治療[ メタルフリー ] ビフォー](https://yokohamasakuragi-dental.com/blog/wp-content/uploads/2025/10/a7e64cb76dd9ff04810e2fe13eba5edb-scaled-1-600x400.jpg)
![銀歯を除去してのセラミック治療[ メタルフリー ] アフター](https://yokohamasakuragi-dental.com/blog/wp-content/uploads/2025/10/4c9662f67bca2880337400dd79b2bf51-600x400.jpg)
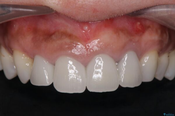
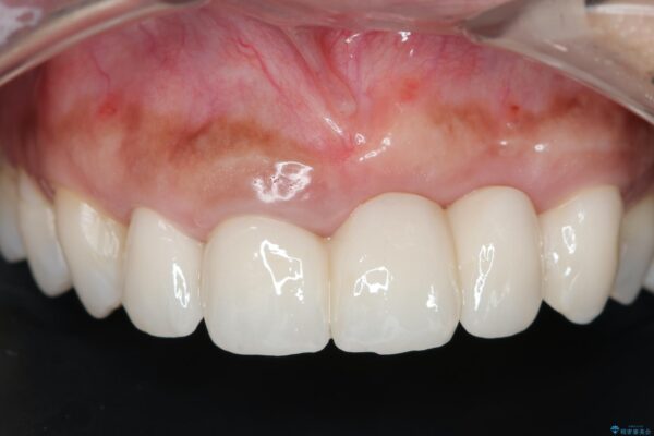
笑った時に見える銀歯を白くしたい、と希望され来院されました。
![歯の総合的なマネージメントを行う包括的歯科治療の実践[ 歯周病・矯正・セラミック補綴 ] ビフォー](https://yokohamasakuragi-dental.com/blog/wp-content/uploads/2025/10/7db12d5413070a950bc6275b957b7f9f-600x400.jpg)
![歯の総合的なマネージメントを行う包括的歯科治療の実践[ 歯周病・矯正・セラミック補綴 ] アフター](https://yokohamasakuragi-dental.com/blog/wp-content/uploads/2025/10/eaeb8f32e6e2496b4cca2d55d85ba36c-600x400.jpg)
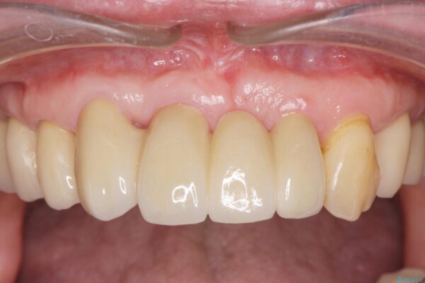
他院でクリーニングのみの歯周病治療を提案され、積極的に自身の歯を残せるような治療を希望され当院に初診来院されました。


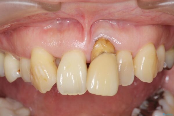
前歯がグラグラし、においもする、とのことで改善を求めて来院されました。
![劣化の進んだブリッジの再治療[ 不適合な補綴物による虫歯の再発 ] ビフォー](https://yokohamasakuragi-dental.com/blog/wp-content/uploads/2025/10/bd2e9fc7c7be0dc2ab0c95aea893e9f4-600x400.jpg)
![劣化の進んだブリッジの再治療[ 不適合な補綴物による虫歯の再発 ] アフター](https://yokohamasakuragi-dental.com/blog/wp-content/uploads/2025/10/eb9c63ca29dc0f53d065359b029e5b91-600x400.jpg)
他院で約10年前に入れたブリッジのすり減り、虫歯の再発、審美性の改善を求めて来院されました。


噛むと歯が疼いて痛い、と根管治療を希望され来院されました。


前歯のねじれを改善したい!と矯正治療を希望され来院されました。


虫歯が多く、全体的な歯の検診を希望され当院に来院されました。
![受け口・前歯の隙間を改善[ マウスピース矯正 ] ビフォー](https://yokohamasakuragi-dental.com/blog/wp-content/uploads/2025/09/IMG_7840-600x400.jpg)
![受け口・前歯の隙間を改善[ マウスピース矯正 ] アフター](https://yokohamasakuragi-dental.com/blog/wp-content/uploads/2025/09/50b028d2680d9b74ce99f15a0145413f-600x400.jpg)
受け口に見える前歯と、上下の歯の間の空隙を治したい、と矯正治療を希望され来院されました。