当院で治療した症例紹介

歯が欠けてしまった場合、歯の審美性を回復したい場合、インプラント治療後の被せ物など、セラミック治療により審美性と咬み合わせを回復させる治療です。

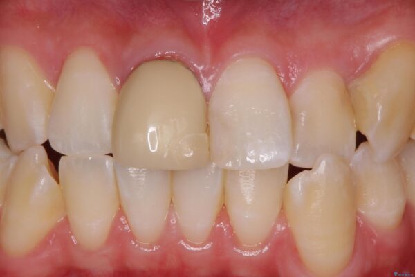
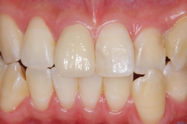
保険のかぶせ物の色が気になる

保険のかぶせ物の色が気になる ビフォー

保険のかぶせ物の色が気になる アフター

前歯のかぶせ物の色が気になるとご来院された患者様です。

前歯のガタつきと矮小歯をインビザラインとセラミック治療で改善

前歯のガタつきと矮小歯をインビザラインとセラミック治療で改善 ビフォー

前歯のガタつきと矮小歯をインビザラインとセラミック治療で改善 アフター

上の前歯が小さいこととガタつきが気になるとご相談にいらっしゃった患者様です。

奥歯から膿のにおいがする インプラントによる機能回復

奥歯から膿のにおいがする インプラントによる機能回復 ビフォー

奥歯から膿のにおいがする インプラントによる機能回復 アフター

「奥歯で噛むと痛い、いつも膿のにおいがして不快、改善してほしい。」と治療を希望され来院されました。

銀歯を除去してのセラミック治療[ メタルフリー ]

銀歯を除去してのセラミック治療[ メタルフリー ] ビフォー

銀歯を除去してのセラミック治療[ メタルフリー ] アフター

笑った時に見える銀歯を白くしたい、と希望され来院されました。

歯の総合的なマネージメントを行う包括的歯科治療の実践[ 歯周病・矯正・セラミック補綴 ]

歯の総合的なマネージメントを行う包括的歯科治療の実践[ 歯周病・矯正・セラミック補綴 ] ビフォー

歯の総合的なマネージメントを行う包括的歯科治療の実践[ 歯周病・矯正・セラミック補綴 ] アフター

他院でクリーニングのみの歯周病治療を提案され、積極的に自身の歯を残せるような治療を希望され当院に初診来院されました。

歯槽堤保存術を併用したブリッジ治療

歯槽堤保存術を併用したブリッジ治療 ビフォー

歯槽堤保存術を併用したブリッジ治療 アフター

前歯がグラグラし、においもする、とのことで改善を求めて来院されました。

劣化の進んだブリッジの再治療[ 不適合な補綴物による虫歯の再発 ]

劣化の進んだブリッジの再治療[ 不適合な補綴物による虫歯の再発 ] ビフォー

劣化の進んだブリッジの再治療[ 不適合な補綴物による虫歯の再発 ] アフター

他院で約10年前に入れたブリッジのすり減り、虫歯の再発、審美性の改善を求めて来院されました。

入れ歯では食事を楽しめない【インプラントによる咬合機能回復】

入れ歯では食事を楽しめない【インプラントによる咬合機能回復】 ビフォー

入れ歯では食事を楽しめない【インプラントによる咬合機能回復】 アフター

奥歯を失い半年間入れ歯を使用してみたが、とにかく咬めない、食事を楽しむことができない!と 咬合機能の回復を求めて来院されました。

前歯の見た目をなんとかしたい![ 前歯の審美ブリッジ治療]

前歯の見た目をなんとかしたい![ 前歯の審美ブリッジ治療] ビフォー

前歯の見た目をなんとかしたい![ 前歯の審美ブリッジ治療] アフター

歯ぐきとの間に隙間が空いてしまい、見た目の悪い前歯をなんとか綺麗にしてほしい、と希望され来院されました。

銀歯を全て外したい[ メタルフリー治療]

銀歯を全て外したい[ メタルフリー治療] ビフォー

銀歯を全て外したい[ メタルフリー治療] アフター

「長年気になっている 銀歯を全て外したい」、とメタルフリー治療を希望され来院されました。

セラミック治療の注意事項(リスク・副作用など)

  • 天然歯を削ります。
  • かみ合わせや歯ぎしりが強すぎる方はセラミックが割れてしまう可能性があります。
  • 硬い素材は天然歯を傷つけてしまう場合があります。
  • 自費診療(保険適用外治療)となります。