当院で治療した症例紹介

インビザラインは、透明に近いマウスピース型の矯正装置を使う歯列矯正です。事前に3Dシミュレーションで治療過程を確認でき、ワイヤー矯正に比べ来院回数も少なくすむメリットがあります。

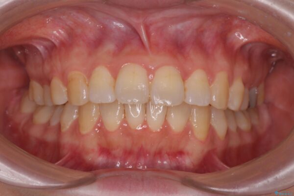
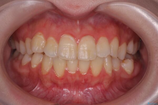
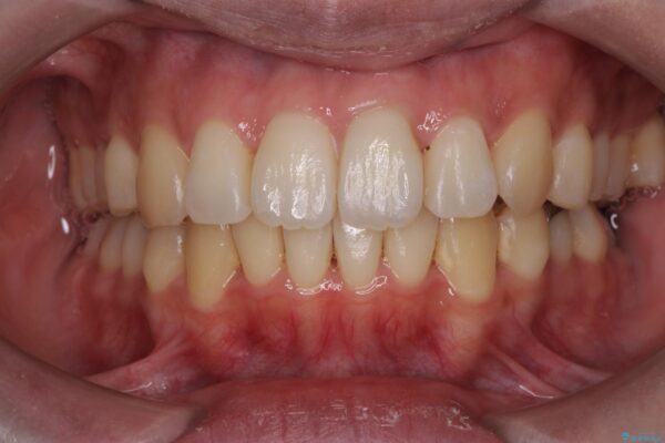
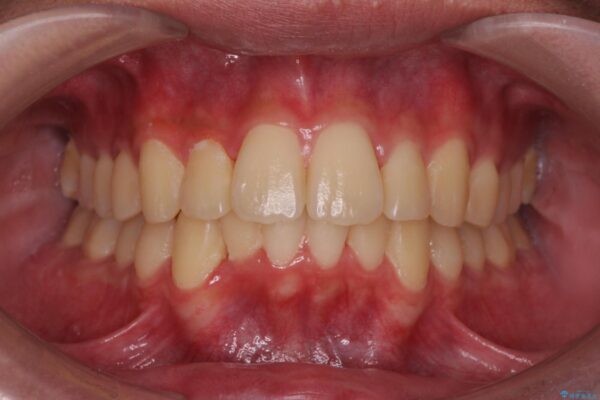
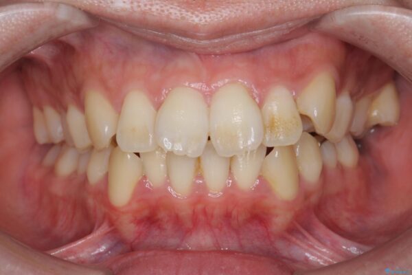
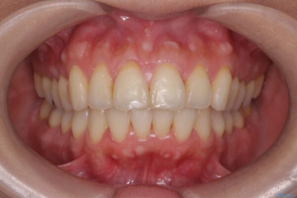
前歯のねじれをきれいに 部分ワイヤー+マウスピース矯正

前歯のねじれをきれいに 部分ワイヤー+マウスピース矯正 ビフォー

前歯のねじれをきれいに 部分ワイヤー+マウスピース矯正 アフター

前歯のねじれを改善したい!と矯正治療を希望され来院されました。

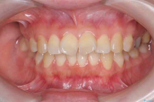
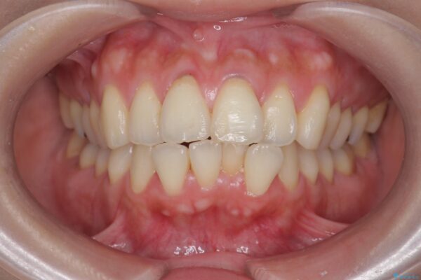
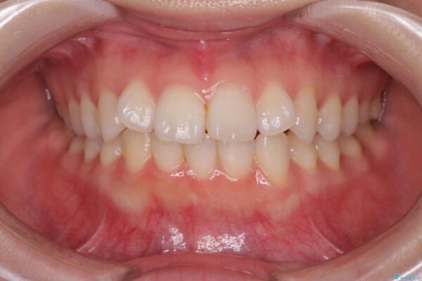
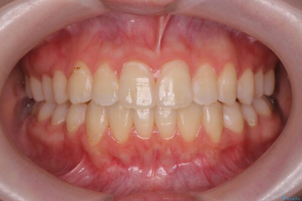
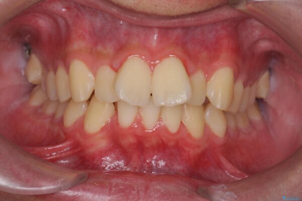
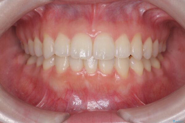
受け口・前歯の隙間を改善[ マウスピース矯正 ]

受け口・前歯の隙間を改善[ マウスピース矯正 ] ビフォー

受け口・前歯の隙間を改善[ マウスピース矯正 ] アフター

受け口に見える前歯と、上下の歯の間の空隙を治したい、と矯正治療を希望され来院されました。

50代から始めるマウスピース矯正治療

50代から始めるマウスピース矯正治療 ビフォー

50代から始めるマウスピース矯正治療 アフター

マウスピース矯正の存在を知ったことがきっかけで、長年気になっていた歯並びを治療したい、と希望され来院されました。

矯正治療による歯並び改善 前歯のねじれ

矯正治療による歯並び改善 前歯のねじれ ビフォー

矯正治療による歯並び改善 前歯のねじれ アフター

「前歯のねじれを改善し、綺麗な歯並びにしたい。」と希望され来院されました。

【矯正治療】正中過剰埋伏歯で生じた前歯の審美障害の改善

【矯正治療】正中過剰埋伏歯で生じた前歯の審美障害の改善 ビフォー

【矯正治療】正中過剰埋伏歯で生じた前歯の審美障害の改善 アフター

前歯の見た目に悩まれて来院されました。

がたがたの歯並びをきれいにしたい[マウスピース矯正]

がたがたの歯並びをきれいにしたい[マウスピース矯正] ビフォー

がたがたの歯並びをきれいにしたい[マウスピース矯正] アフター

がたつきの目立つ前歯の歯並びをきれいにしたい、と矯正治療を希望され来院されました。

歯を抜かない出っ歯の治療[ 非抜歯矯正 ]

歯を抜かない出っ歯の治療[ 非抜歯矯正 ] ビフォー

歯を抜かない出っ歯の治療[ 非抜歯矯正 ] アフター

出っ歯に見える前歯の治療を希望され来院されました。

前歯のがたつき 出っ歯に見える歯をきれいに[ マウスピース矯正]

前歯のがたつき 出っ歯に見える歯をきれいに[ マウスピース矯正] ビフォー

前歯のがたつき 出っ歯に見える歯をきれいに[ マウスピース矯正] アフター

出っ歯に見える上顎前歯と、がたつきのある下顎前歯の矯正治療を希望され来院されました。

奥に引っ込んでいる前歯を綺麗に 矯正治療とセラミック治療

奥に引っ込んでいる前歯を綺麗に 矯正治療とセラミック治療 ビフォー

奥に引っ込んでいる前歯を綺麗に 矯正治療とセラミック治療 アフター

奥に引っ込んでいる前歯を矯正治療で並べたい!色の気になる前歯のクラウンをやり替えたい!と希望され来院されました。

仕事をしながらでも治療しやすい、マウスピース矯正[ 社会人の矯正治療 ]

仕事をしながらでも治療しやすい、マウスピース矯正[ 社会人の矯正治療 ] ビフォー

仕事をしながらでも治療しやすい、マウスピース矯正[ 社会人の矯正治療 ] アフター

深い噛み合わせ、前歯のがたつきの治療を希望され来院されました。

マウスピース矯正の注意事項(リスク・副作用など)

  • 口腔内、歯並びの状態によっては対応できない場合があります。
  • マウスピース型矯正装置の長時間装着が必須です。
  • 治療計画通りに進めるためには、患者様の意志が重要になります。
  • 矯正治療後の保定が不十分だと後戻り(元の位置に戻ろうとする動き)をします。
  • 薬機法対象外の矯正歯科装置のため医薬品副作用被害救済制度の対象外となる場合があります。
  • 自費診療(保険適用外治療)となります。