前歯のねじれをきれいに 部分ワイヤー+マウスピース矯正

治療概要

  • 患者様:20代女性
  • 治療期間:1年
  • 治療回数:10~30回
  • 矯正装置:インビザライン +部分ワイヤー矯正
  • 概算治療費:88万円※費用は治療当時の料金となります
  • 担当医:Dr.大元

来院主訴

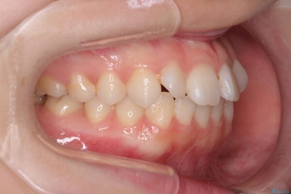
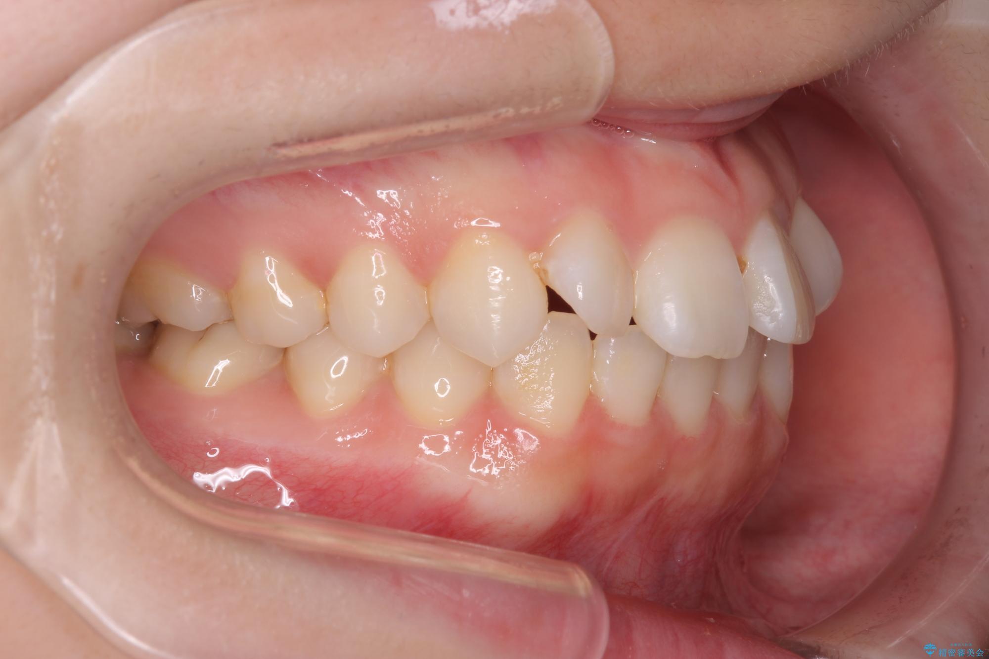
前歯のねじれを改善したい!と矯正治療を希望され来院されました。

治療計画

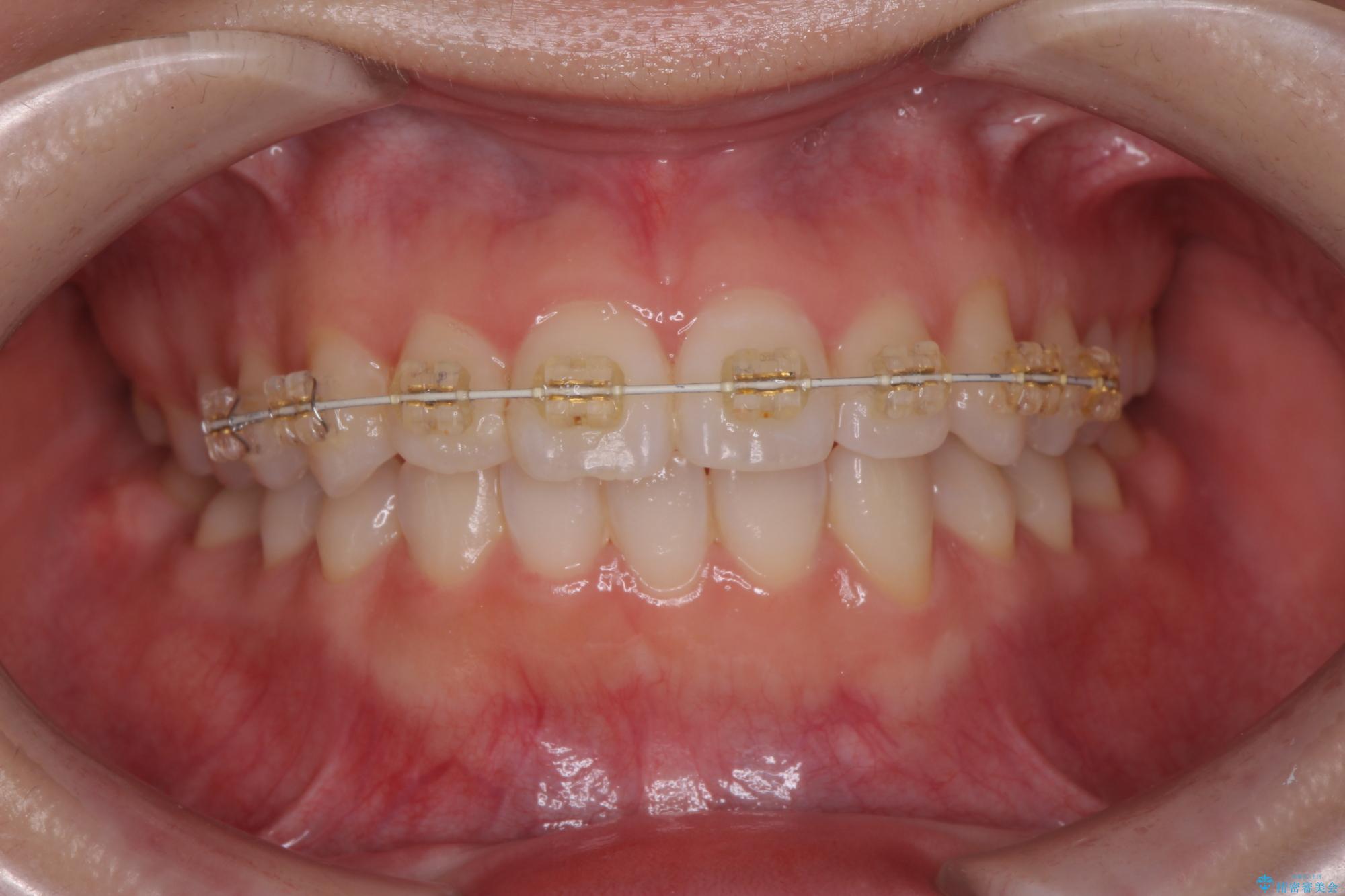
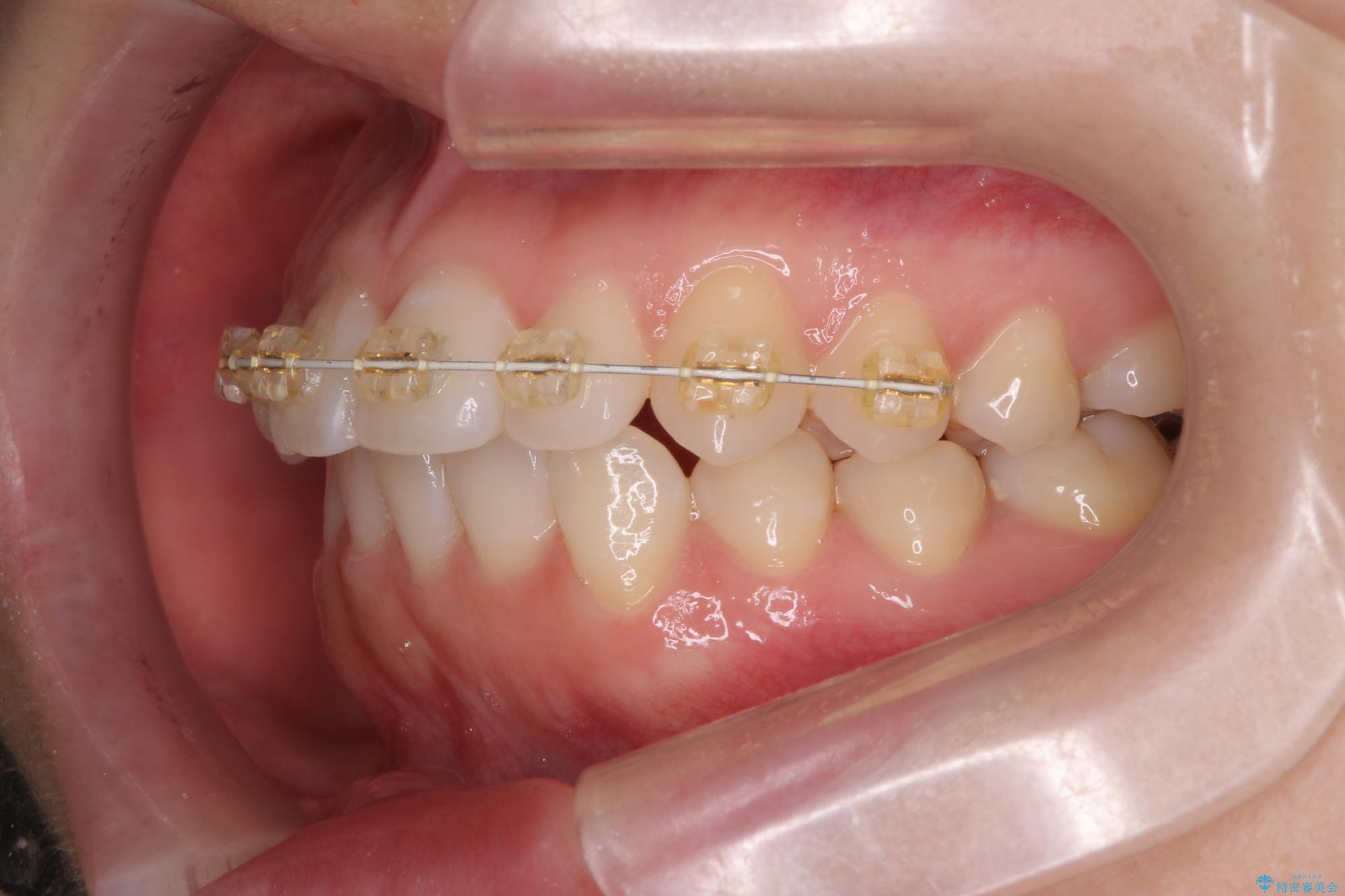
ねじれの改善が得意なワイヤー矯正を上顎前歯のみ行いきっちりと並べたのち、マウスピース矯正で仕上げていきます。

治療を終えて

ワイヤーの装着期間は約半年弱で、マウスピースの苦手な動きであるねじれの改善をしっかりと行うことができました。

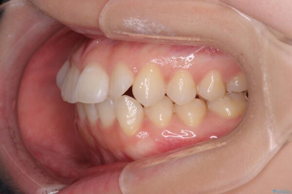
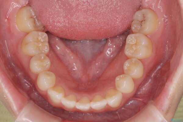
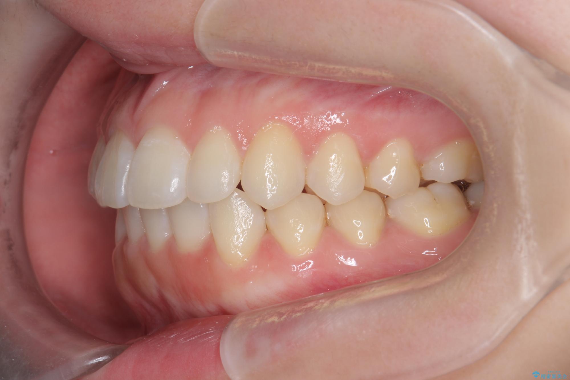
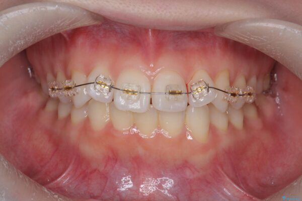
症例画像(クリックで拡大します)

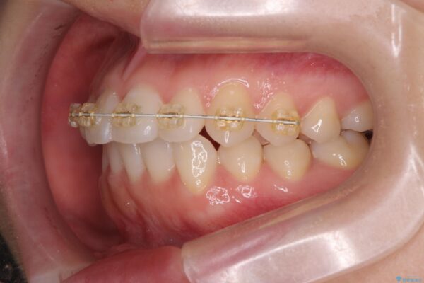
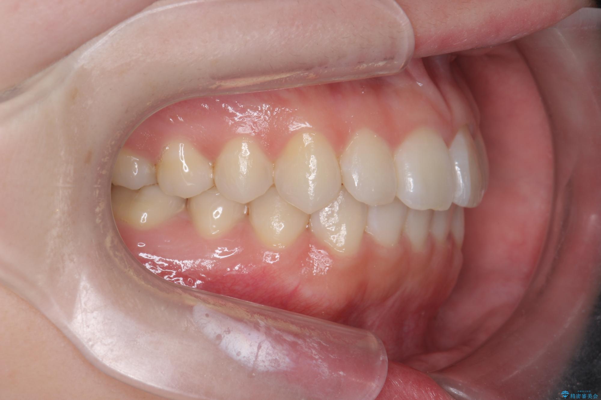
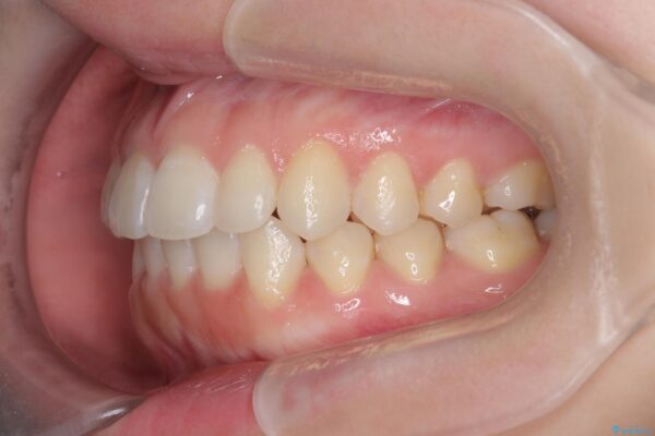
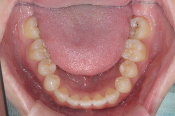
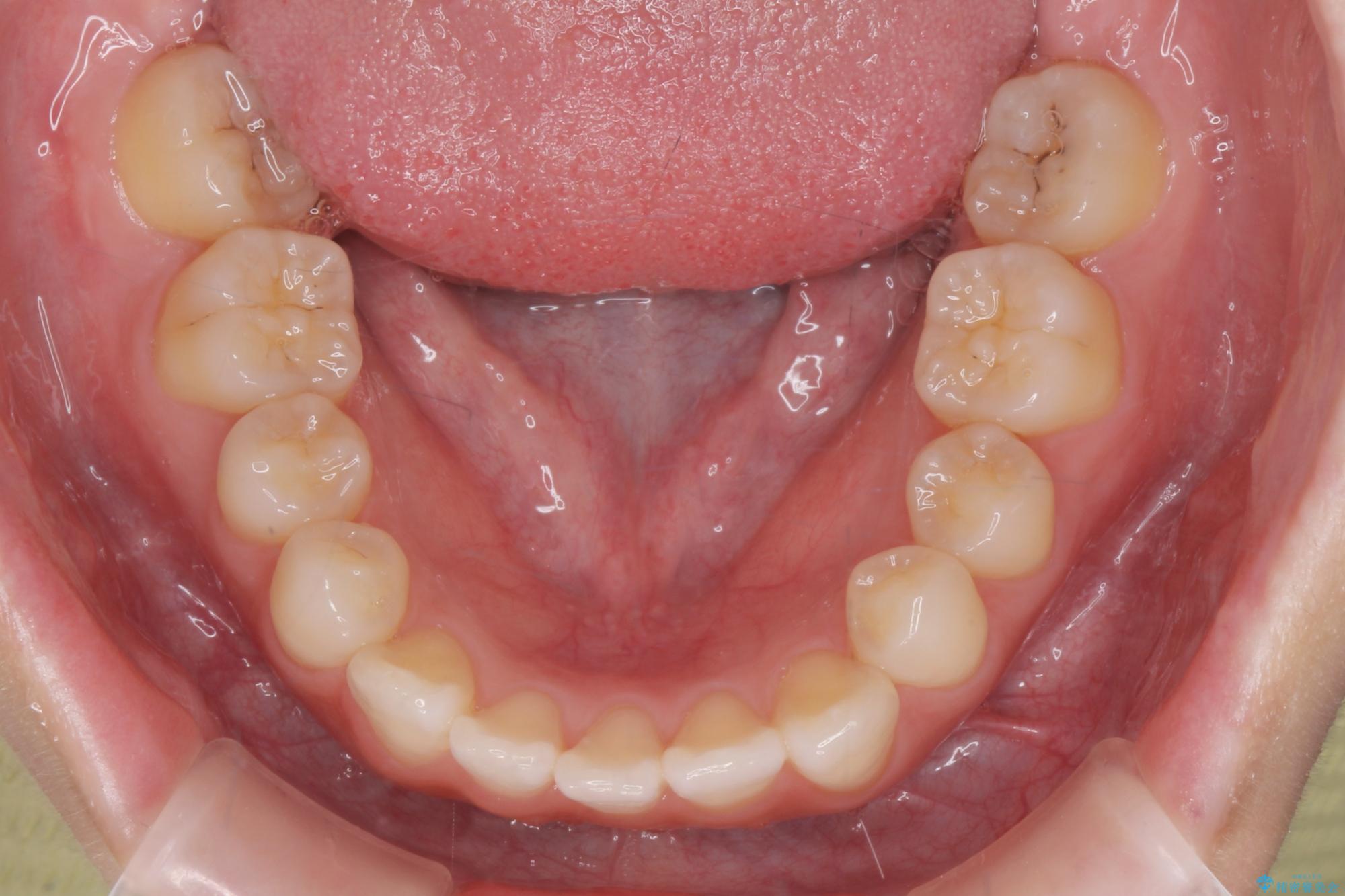
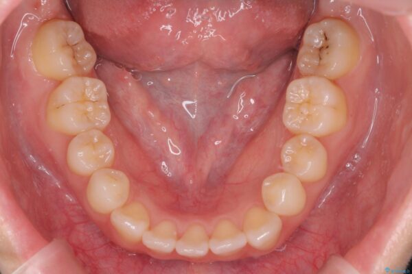
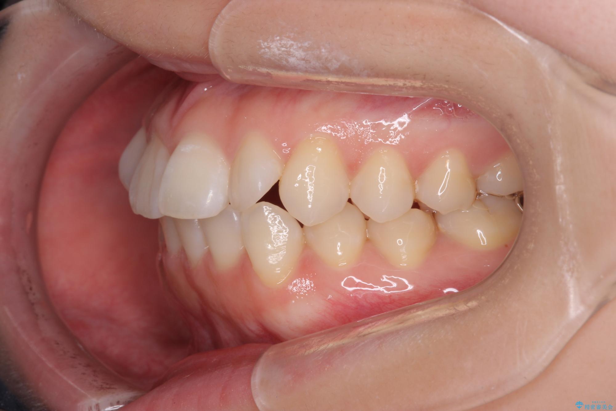
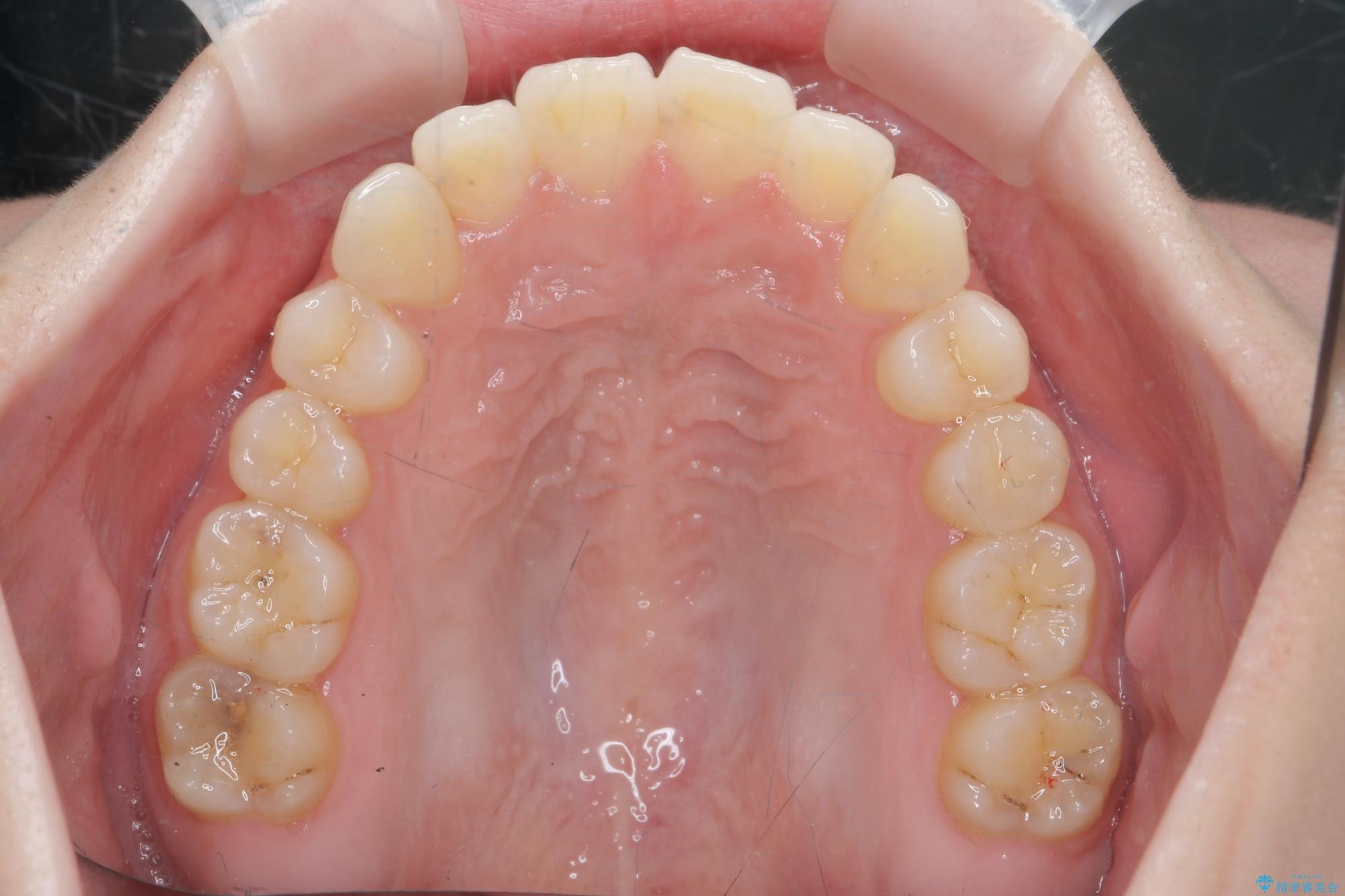
治療前
前歯のねじれをきれいに 部分ワイヤー+マウスピース矯正 治療前画像 前歯のねじれをきれいに 部分ワイヤー+マウスピース矯正 治療前画像 前歯のねじれをきれいに 部分ワイヤー+マウスピース矯正 治療前画像 前歯のねじれをきれいに 部分ワイヤー+マウスピース矯正 治療前画像 前歯のねじれをきれいに 部分ワイヤー+マウスピース矯正 治療前画像 前歯のねじれをきれいに 部分ワイヤー+マウスピース矯正 治療前画像 前歯のねじれをきれいに 部分ワイヤー+マウスピース矯正 治療前画像 前歯のねじれをきれいに 部分ワイヤー+マウスピース矯正 治療前画像 前歯のねじれをきれいに 部分ワイヤー+マウスピース矯正 治療前画像
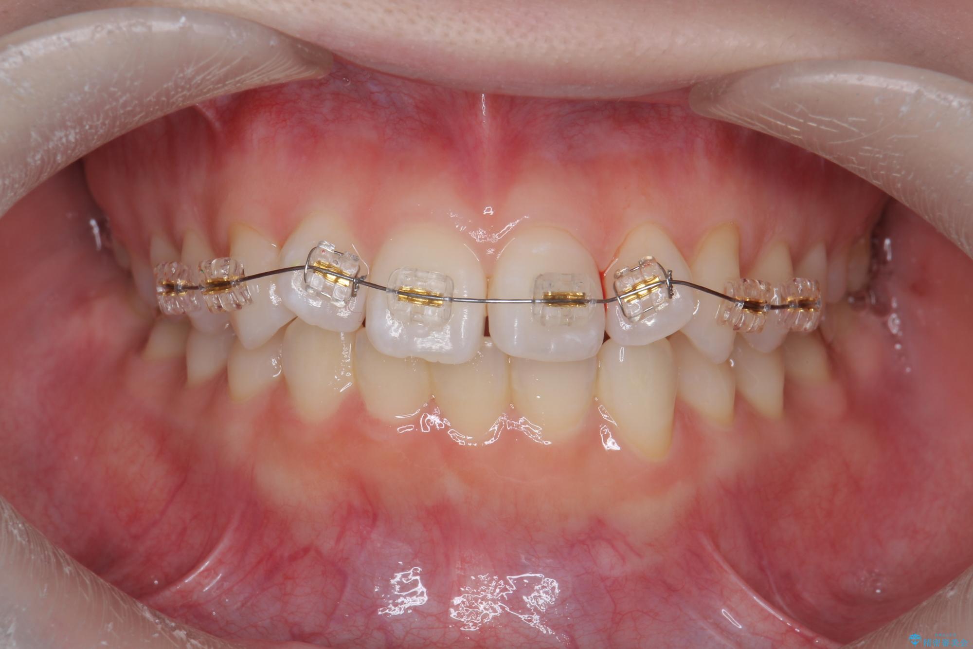
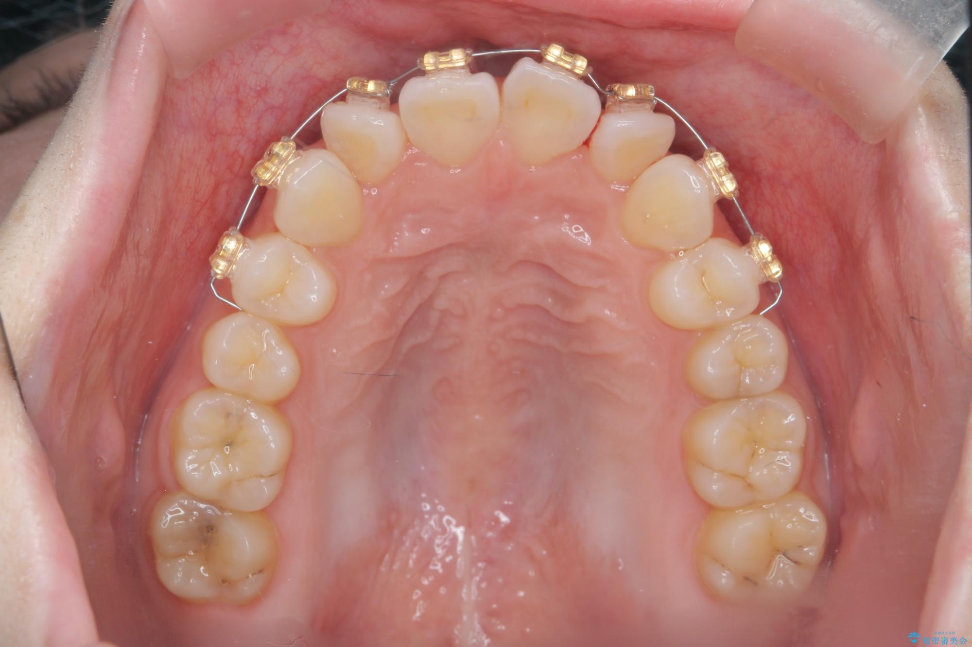
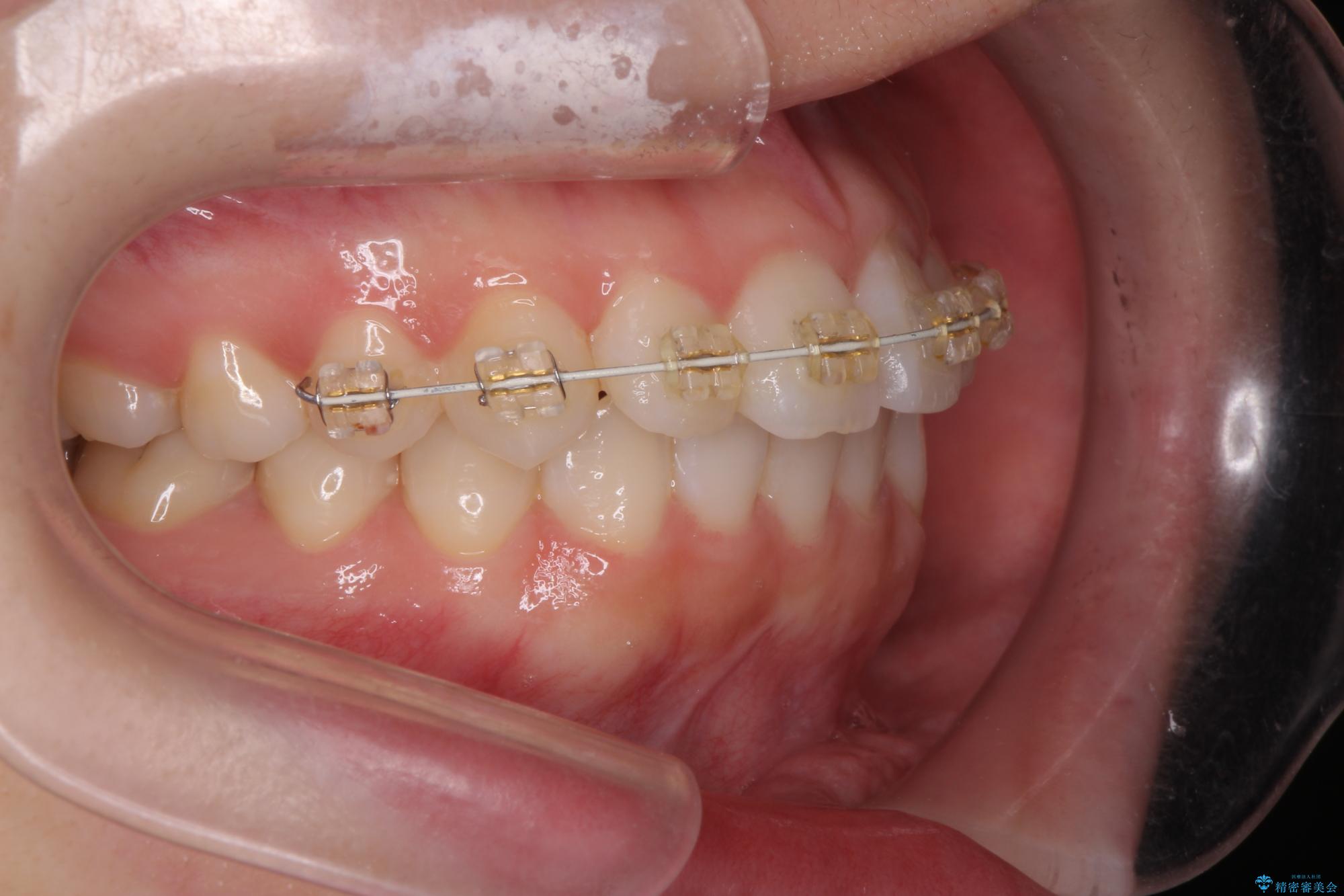
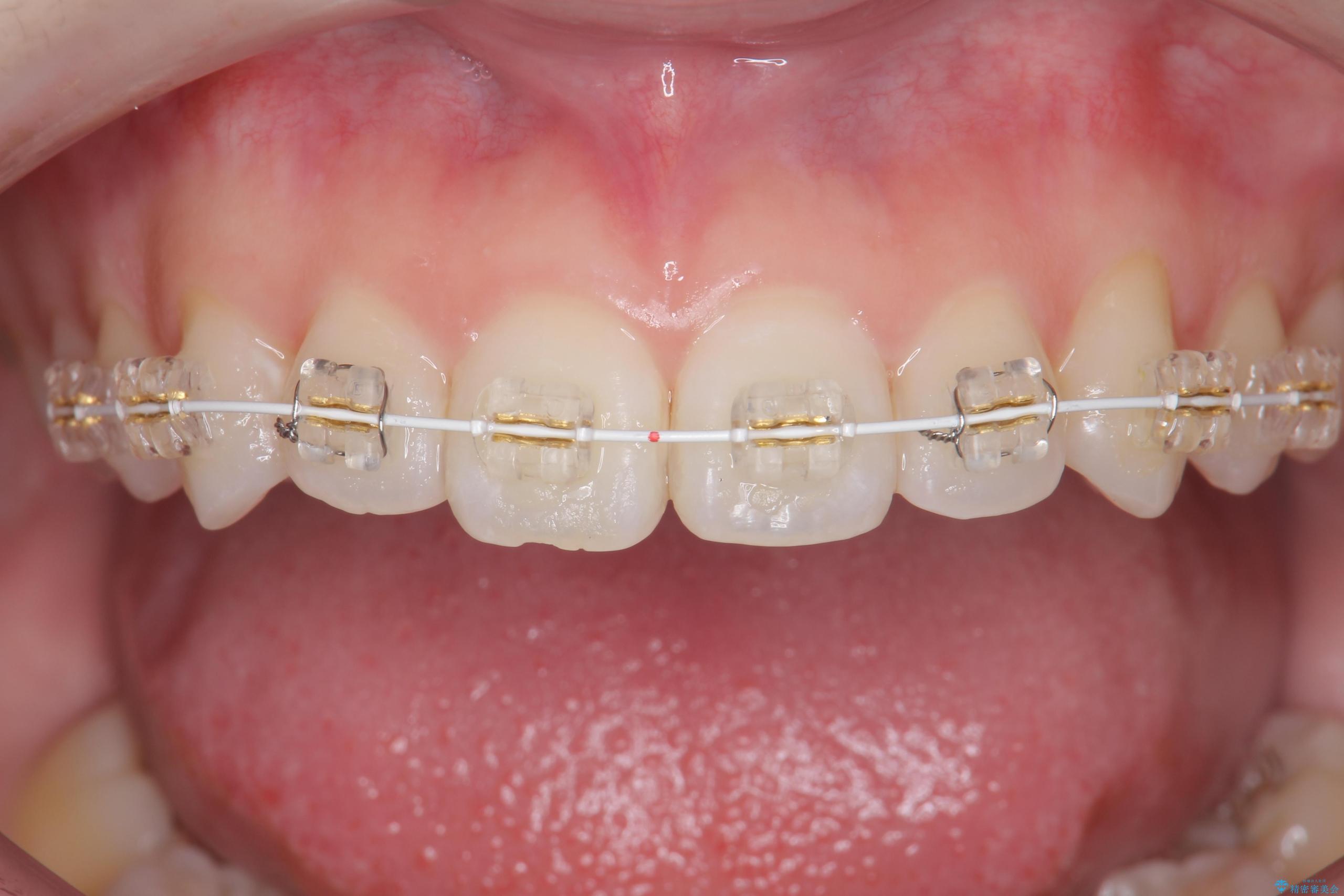
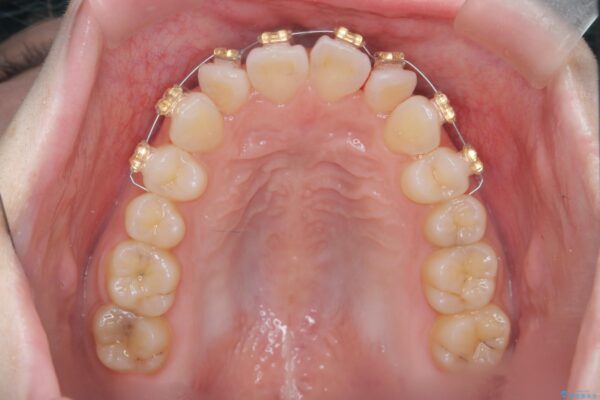
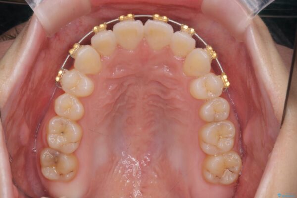
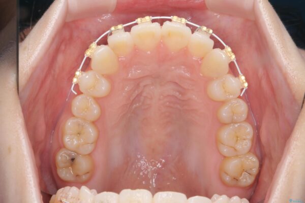
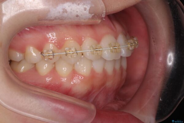
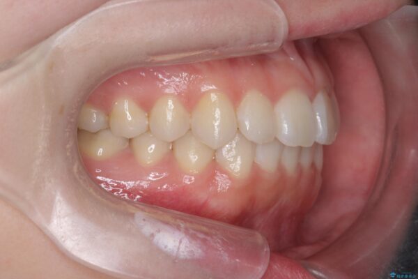
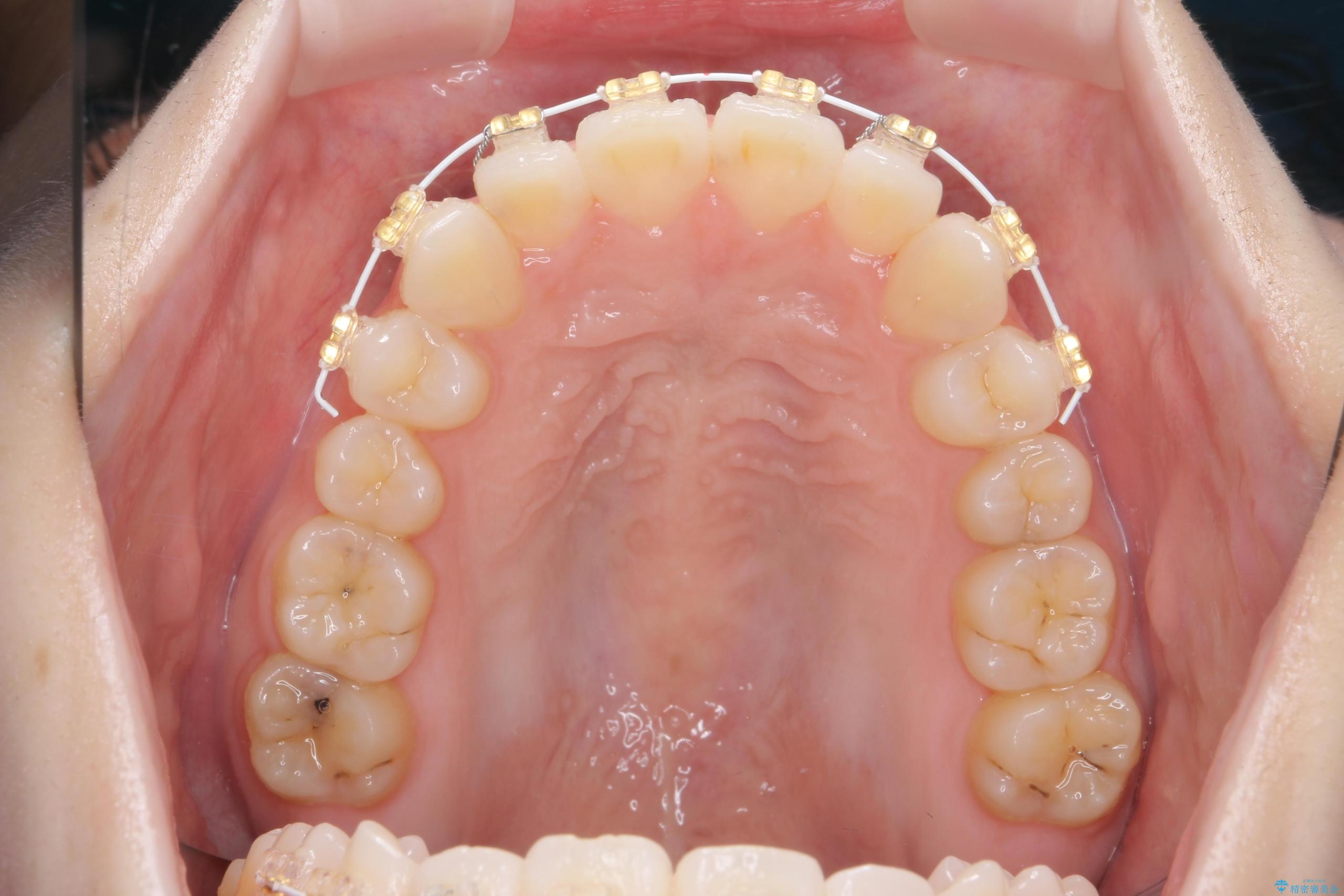
治療中
前歯のねじれをきれいに 部分ワイヤー+マウスピース矯正 治療中画像 前歯のねじれをきれいに 部分ワイヤー+マウスピース矯正 治療中画像 前歯のねじれをきれいに 部分ワイヤー+マウスピース矯正 治療中画像 前歯のねじれをきれいに 部分ワイヤー+マウスピース矯正 治療中画像 前歯のねじれをきれいに 部分ワイヤー+マウスピース矯正 治療中画像
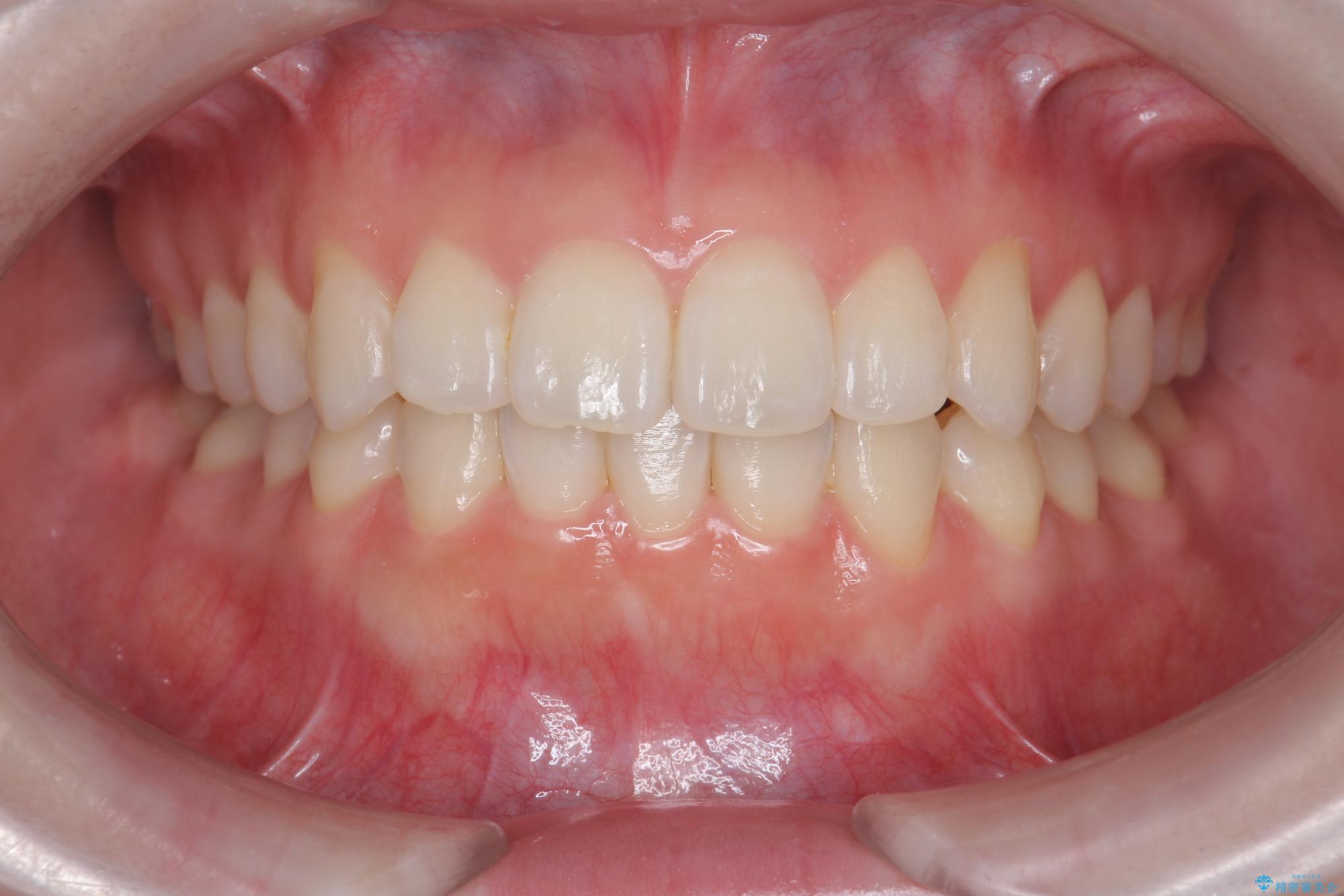
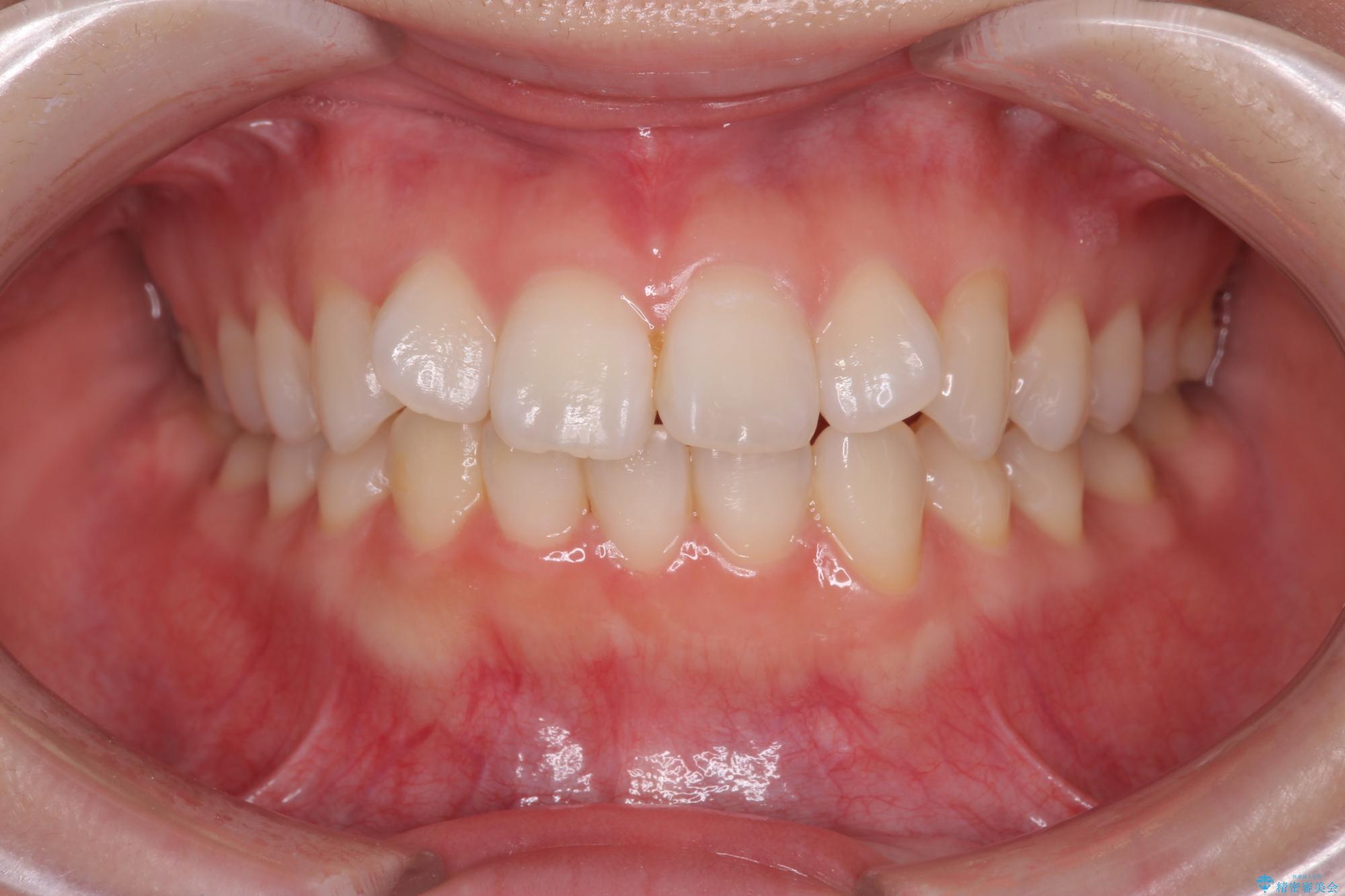
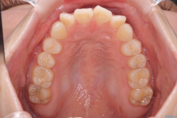
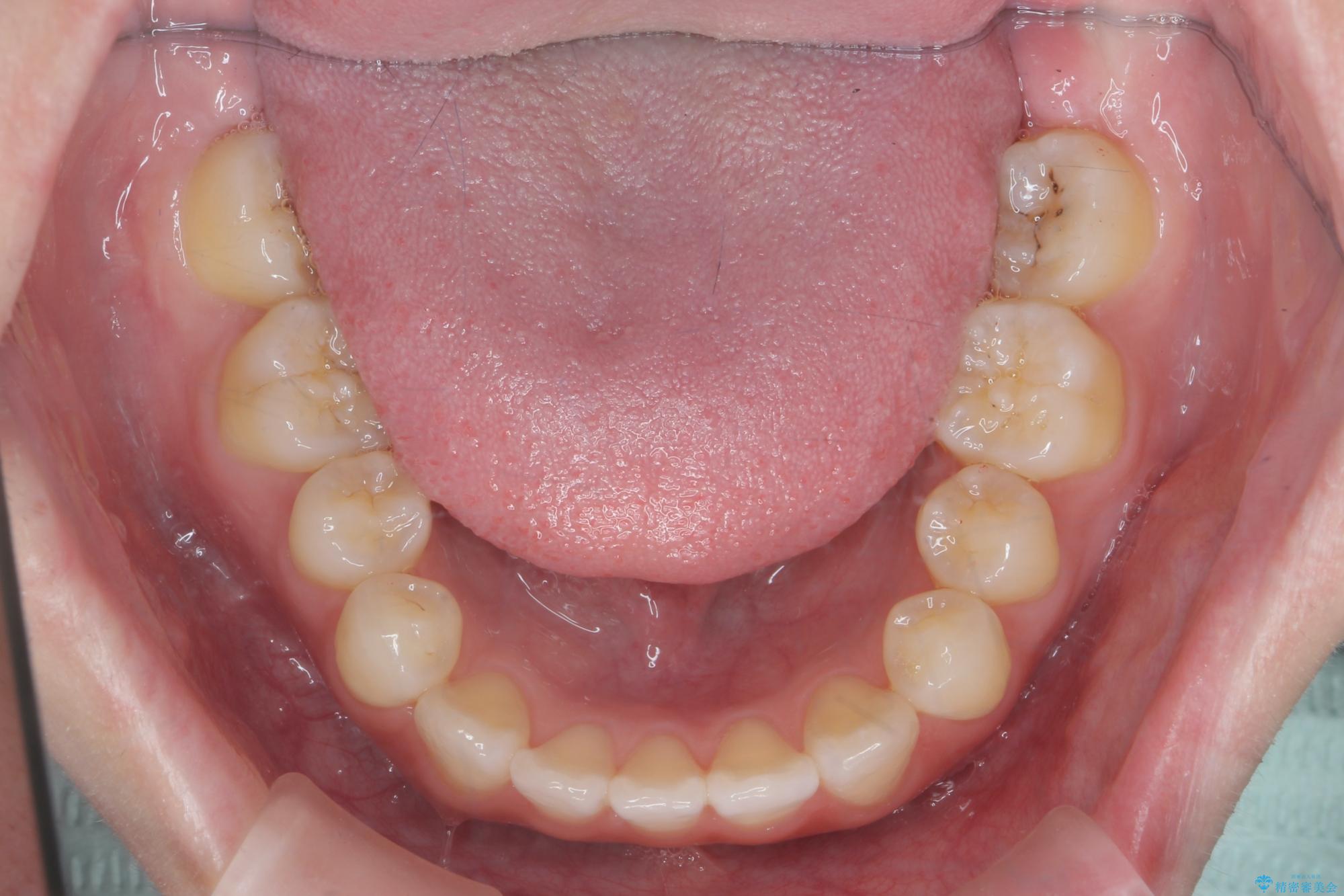
治療後
前歯のねじれをきれいに 部分ワイヤー+マウスピース矯正 治療後画像 前歯のねじれをきれいに 部分ワイヤー+マウスピース矯正 治療後画像 前歯のねじれをきれいに 部分ワイヤー+マウスピース矯正 治療後画像 前歯のねじれをきれいに 部分ワイヤー+マウスピース矯正 治療後画像 前歯のねじれをきれいに 部分ワイヤー+マウスピース矯正 治療後画像

マウスピース矯正の注意事項(リスク・副作用など)

・口腔内・歯並びの状態によっては対応できない場合があります
・マウスピース型矯正装置の長時間装着(1日20時間以上)が必須です
・治療計画通りに進めるためには、患者様の意志が重要になります
・矯正治療後の保定が不十分だと後戻り(元の位置に戻ろうとする動き)をします
・薬機法対象外の矯正歯科装置のため医薬品副作用被害救済制度の対象外となる場合があります
・自費診療(保険適用外)となります