劣化の進んだブリッジの再治療[ 不適合な補綴物による虫歯の再発 ]

治療概要

  • 患者様:40代女性
  • 治療期間:7ヶ月
  • 治療回数:10~30回
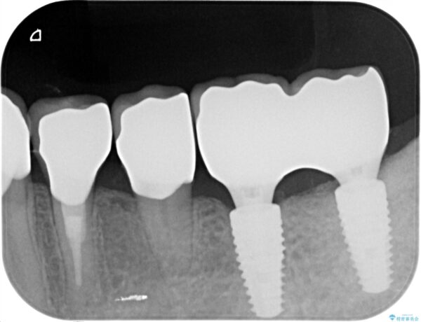
  • 概算治療費:125.4万円(インプラント×2・チタンカスタムアバットメント×2・ジルコニアクラウン×4・インプラント用仮歯×2・仮歯×2)※費用は治療当時の料金となります
  • 担当医:Dr.大元

来院主訴

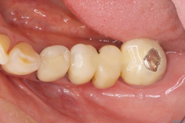
他院で約10年前に入れたブリッジのすり減り、虫歯の再発、審美性の改善を求めて来院されました。

治療計画

ブリッジ、虫歯を丁寧に除去したのち精密なジルコニアクラウンの作製を行い咬合機能をしっかりと回復します。
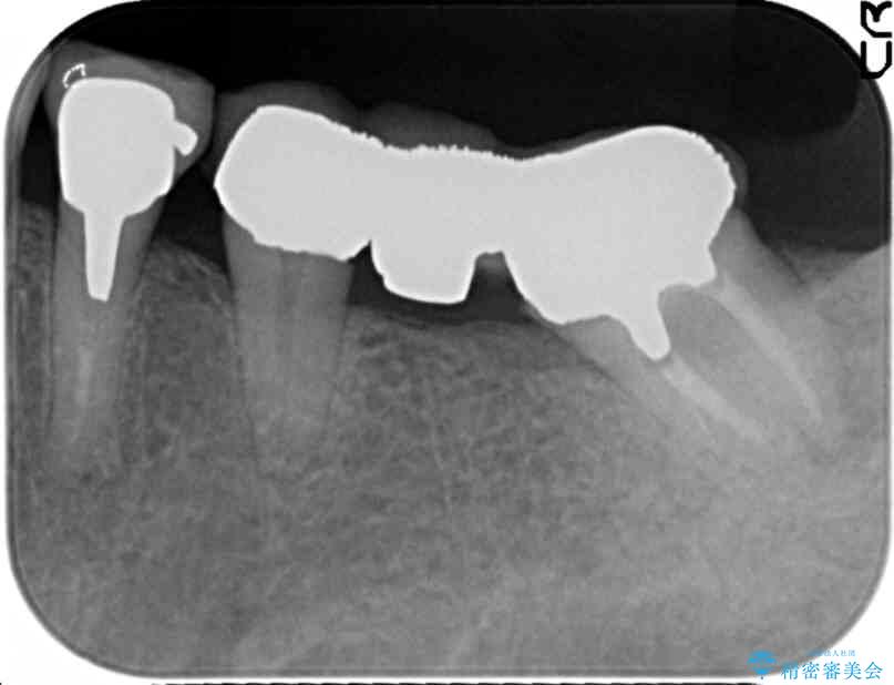
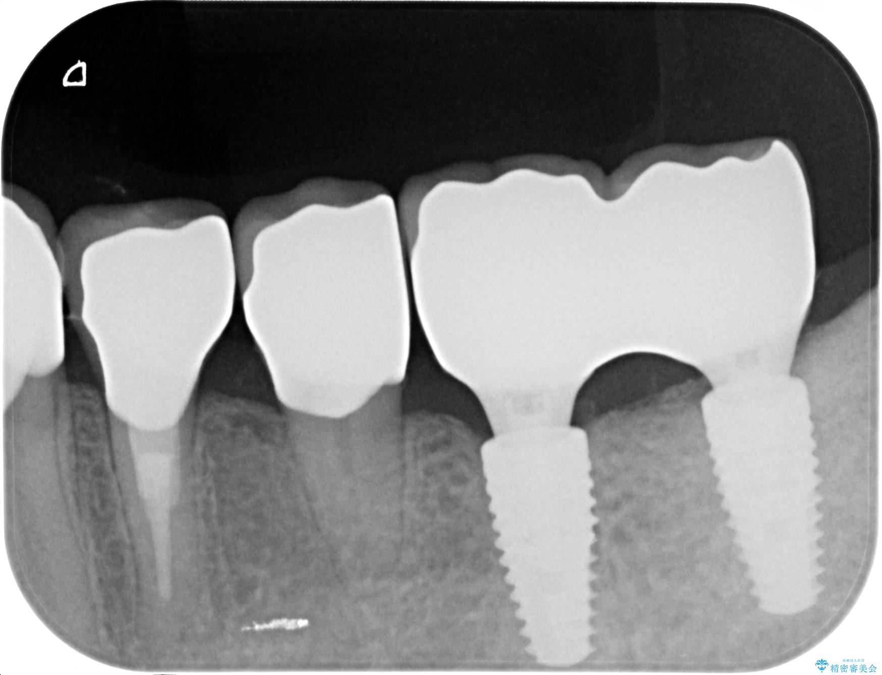
ブリッジの支台となる後方臼歯は清掃性が悪く虫歯が大きくなっていたため、抜去を行いインプラントを用いた治療としました。

治療を終えて

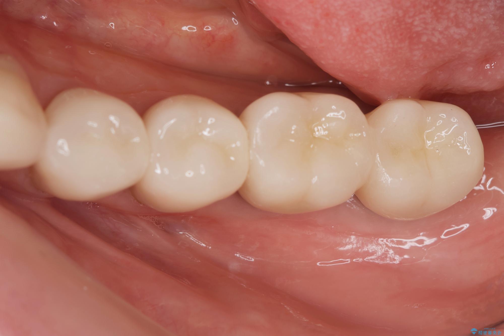
見た目が大きく改善したとともに、虫歯、咬合機能に不安がなくなり大変喜んでいただくことができました。

症例画像(クリックで拡大します)

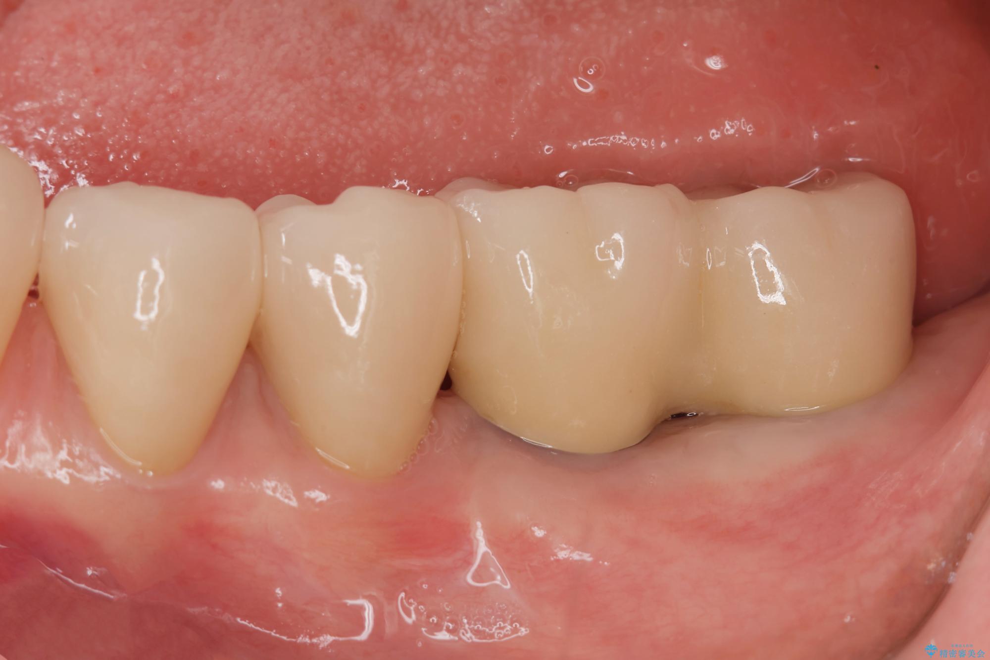
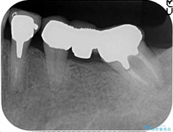
治療前
劣化の進んだブリッジの再治療[ 不適合な補綴物による虫歯の再発 ] 治療前画像 劣化の進んだブリッジの再治療[ 不適合な補綴物による虫歯の再発 ] 治療前画像 劣化の進んだブリッジの再治療[ 不適合な補綴物による虫歯の再発 ] 治療前画像
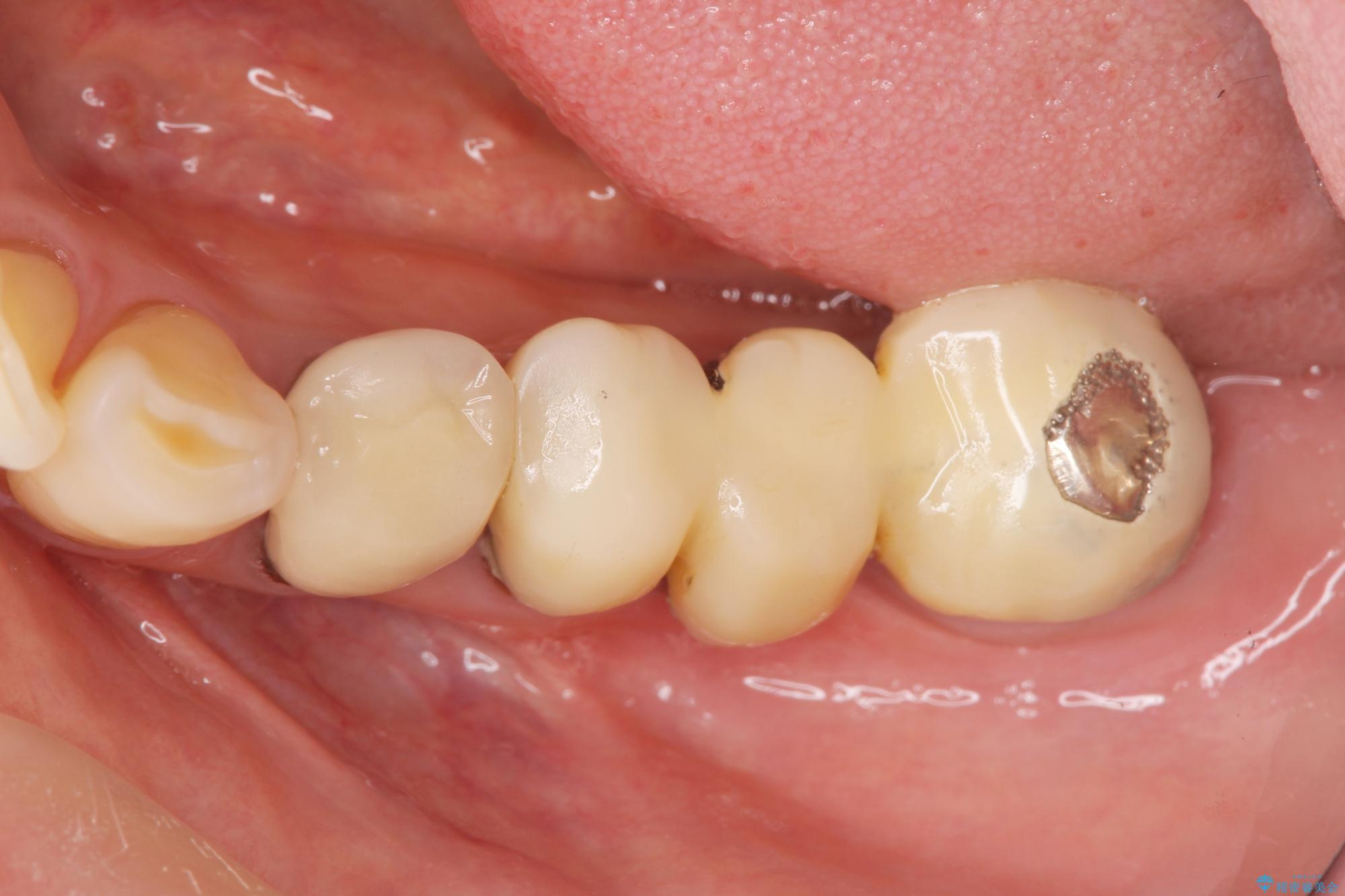
治療中
劣化の進んだブリッジの再治療[ 不適合な補綴物による虫歯の再発 ] 治療中画像 劣化の進んだブリッジの再治療[ 不適合な補綴物による虫歯の再発 ] 治療中画像 劣化の進んだブリッジの再治療[ 不適合な補綴物による虫歯の再発 ] 治療中画像
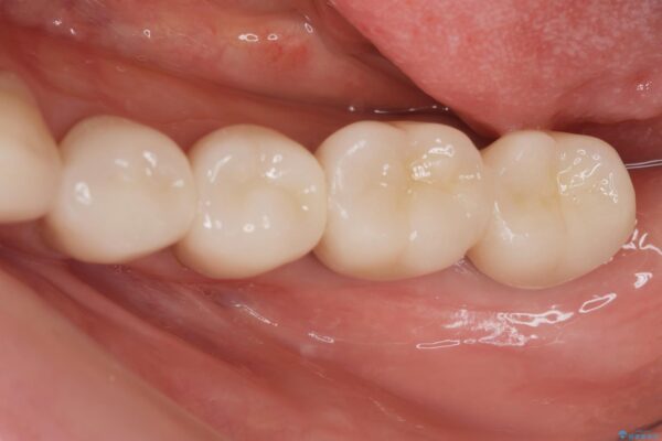
治療後
劣化の進んだブリッジの再治療[ 不適合な補綴物による虫歯の再発 ] 治療後画像 劣化の進んだブリッジの再治療[ 不適合な補綴物による虫歯の再発 ] 治療後画像 劣化の進んだブリッジの再治療[ 不適合な補綴物による虫歯の再発 ] 治療後画像

インプラント治療の注意事項(リスク・副作用など)

・外科手術のため、術後に痛みや腫れ、違和感を伴います
・メンテナンスを怠ったり喫煙により、お口の中に大きな悪影響を及ぼすインプラント周囲炎等にかかる可能性があります
・糖尿病、肝硬変、心臓病等の場合、インプラント治療ができない可能性があります
・高血圧、貧血・不整脈等の場合、インプラント治療後に治癒不全を招く可能性があります
・自費診療(保険適用外治療)となります