歯の総合的なマネージメントを行う包括的歯科治療の実践[ 歯周病・矯正・セラミック補綴 ]

治療概要

  • 患者様:40代女性
  • 治療期間:1年6ヶ月
  • 治療回数:10~30回
  • 矯正装置:ワイヤー矯正
  • 概算治療費:63.8万円(ジルコニアクラウンスペシャル×4・仮歯×4・歯周外科)※費用は治療当時の料金となります
  • 担当医:Dr.大元

来院主訴

他院でクリーニングのみの歯周病治療を提案され、積極的に自身の歯を残せるような治療を希望され当院に初診来院されました。

治療計画

歯並び、歯周病の複合的な問題を解決し、長期にわたり安定して維持できるような環境を作り出せるような包括的歯科治療を行っていきます。
まず、保存の難しい歯を抜去したのち矯正治療を行い歯並びの改善、歯周ポケットを除去したことで安定した歯周環境、咬合関係を作り出すことができました。
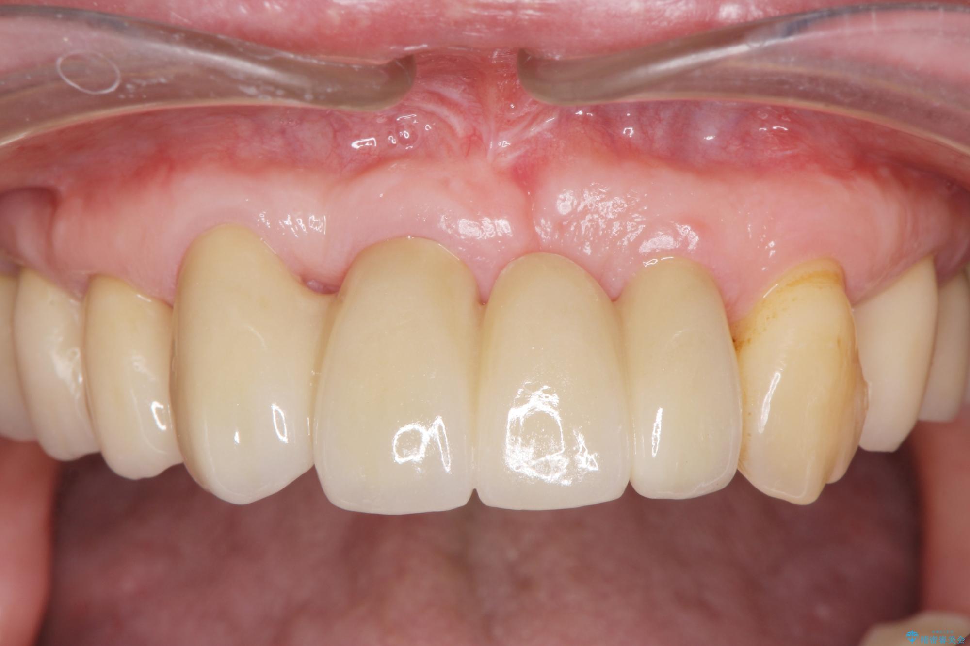
矯正治療を事前に行ったことで全ての歯の神経を温存しセラミックブリッジを装着することができました。

治療を終えて

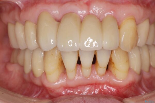
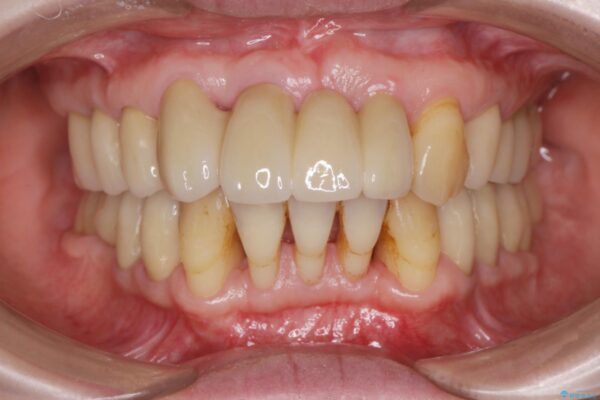
治療期間は長期間になりましたが、歯が非常に磨きやすくなり、見た目も改善したことで審美性を大きく改善することができました。

症例画像(クリックで拡大します)

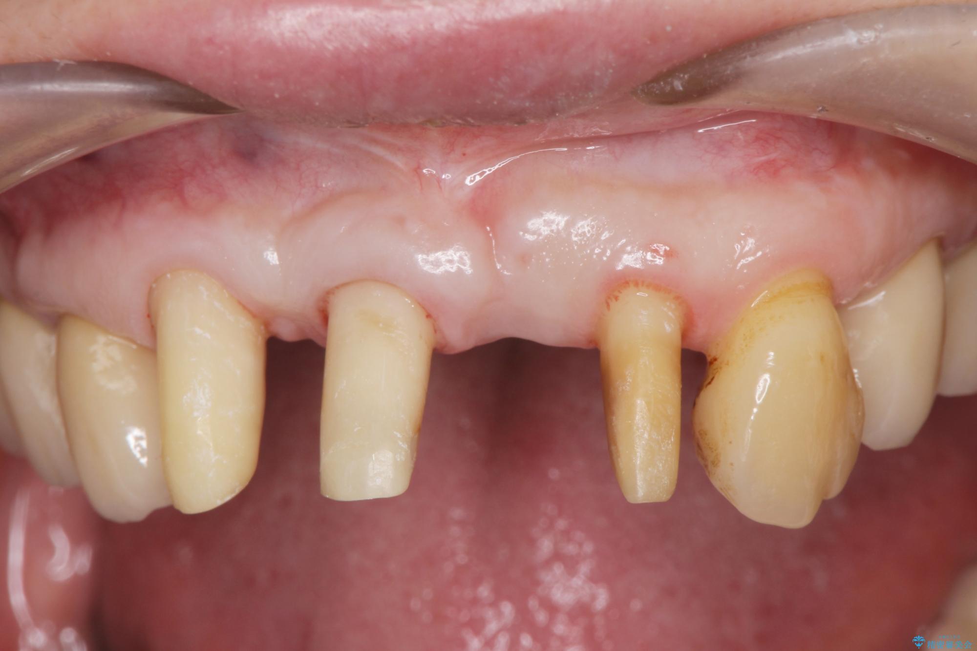
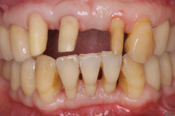
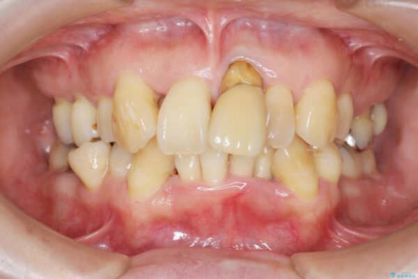
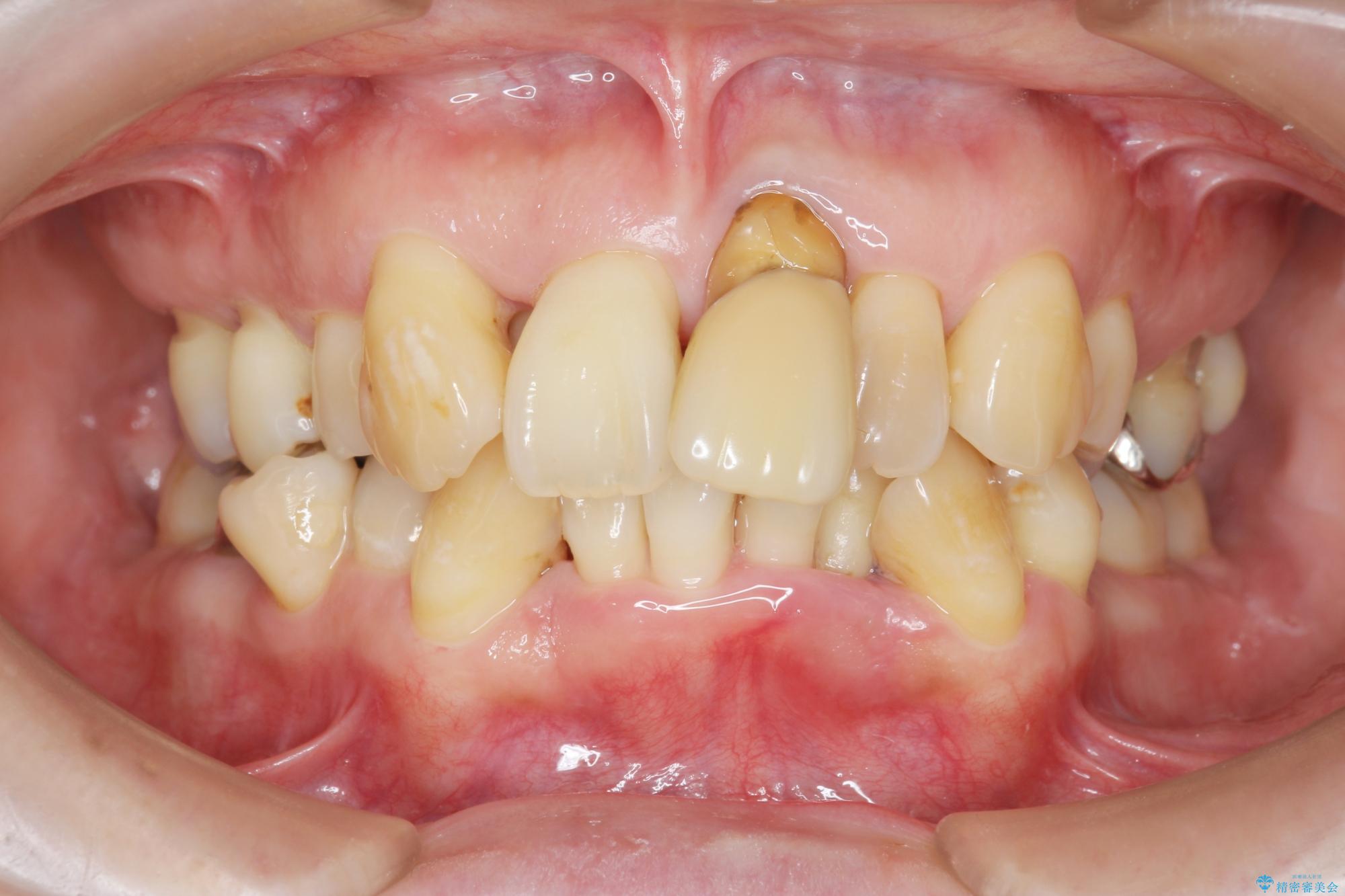
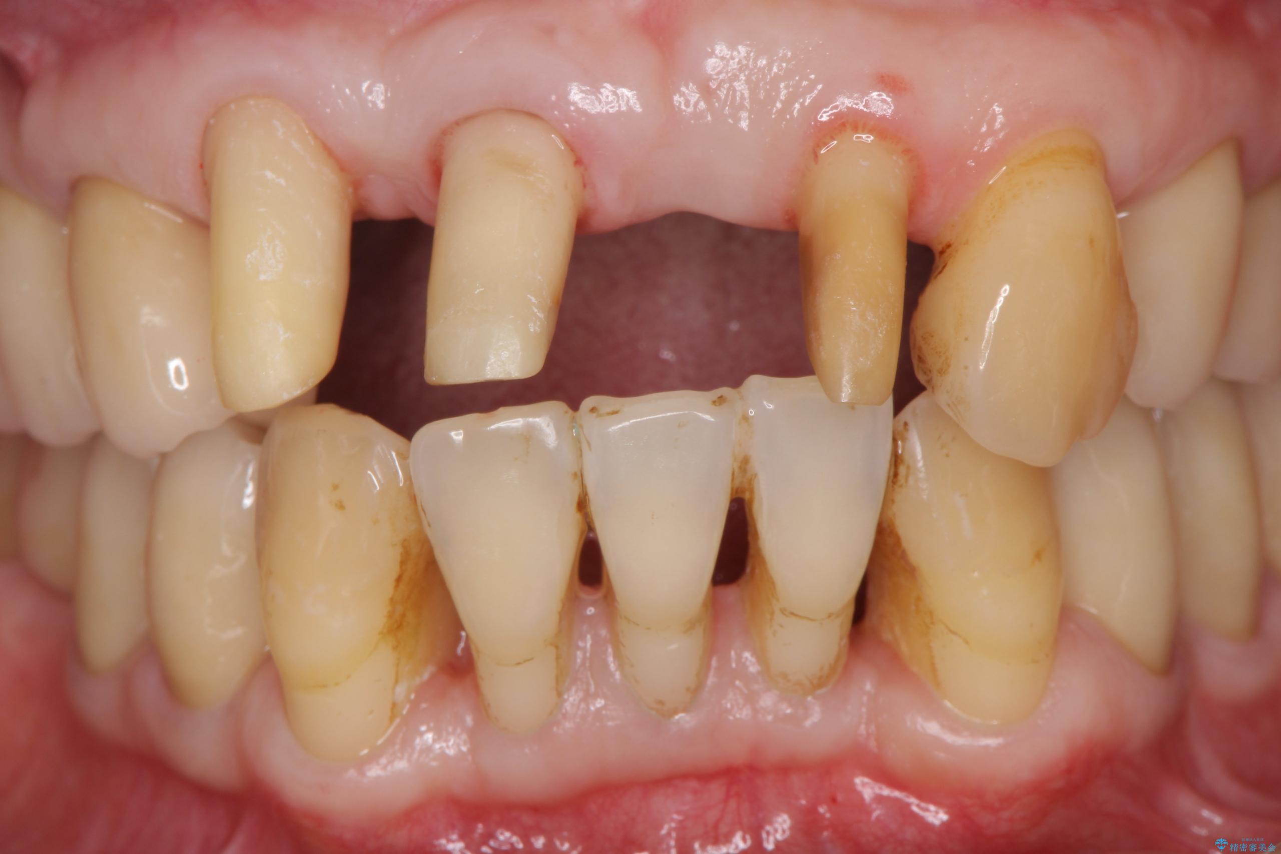
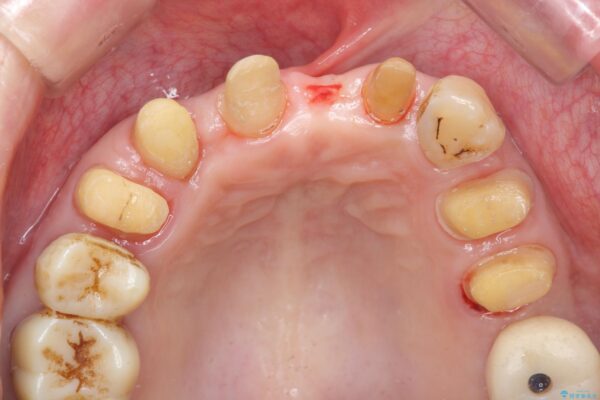
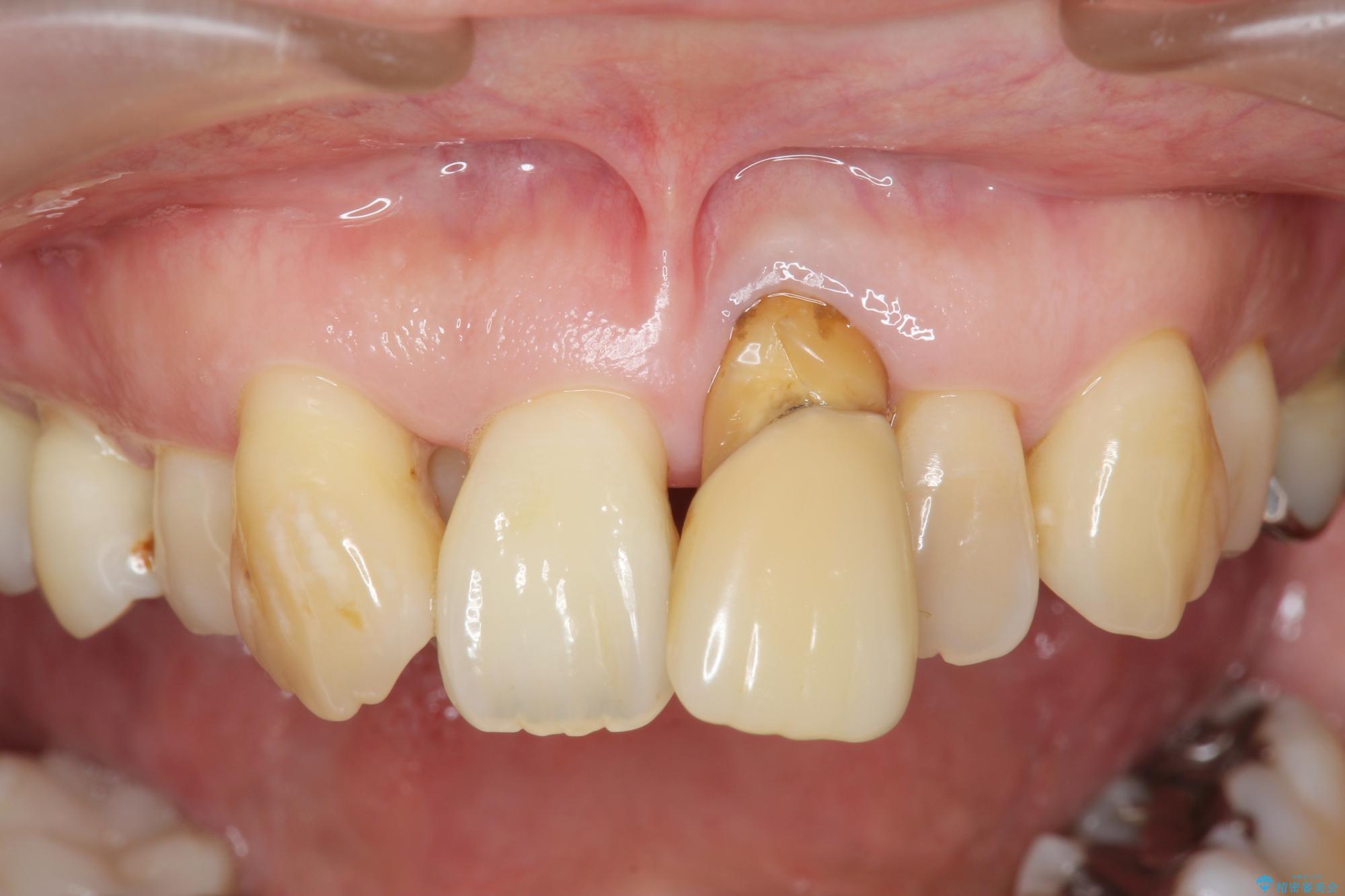
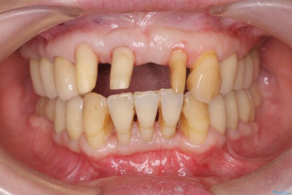
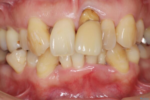
治療前
歯の総合的なマネージメントを行う包括的歯科治療の実践[ 歯周病・矯正・セラミック補綴 ] 治療前画像 歯の総合的なマネージメントを行う包括的歯科治療の実践[ 歯周病・矯正・セラミック補綴 ] 治療前画像 歯の総合的なマネージメントを行う包括的歯科治療の実践[ 歯周病・矯正・セラミック補綴 ] 治療前画像 歯の総合的なマネージメントを行う包括的歯科治療の実践[ 歯周病・矯正・セラミック補綴 ] 治療前画像 歯の総合的なマネージメントを行う包括的歯科治療の実践[ 歯周病・矯正・セラミック補綴 ] 治療前画像 歯の総合的なマネージメントを行う包括的歯科治療の実践[ 歯周病・矯正・セラミック補綴 ] 治療前画像 歯の総合的なマネージメントを行う包括的歯科治療の実践[ 歯周病・矯正・セラミック補綴 ] 治療前画像
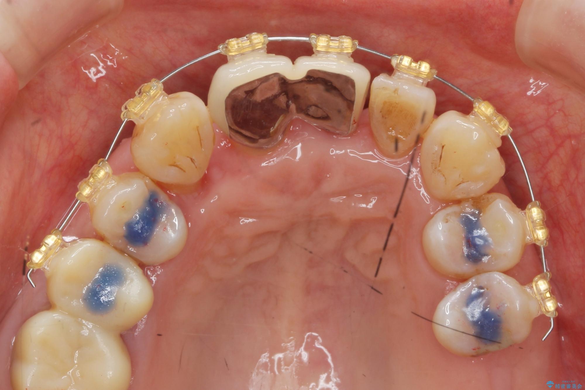
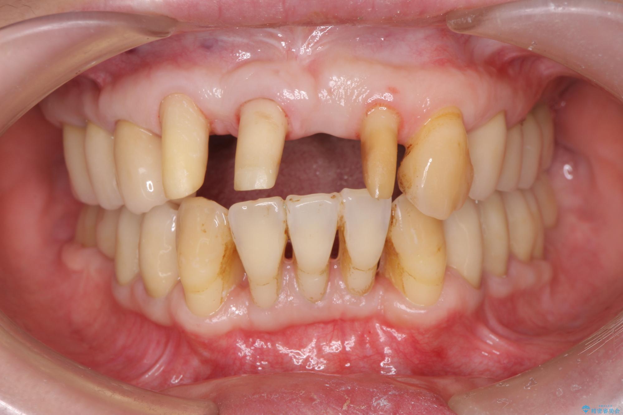
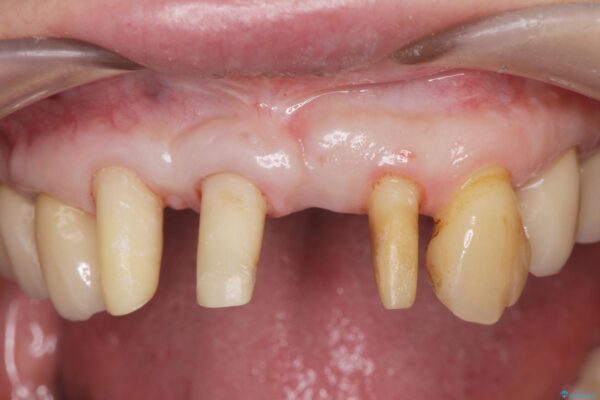
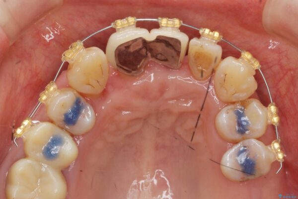
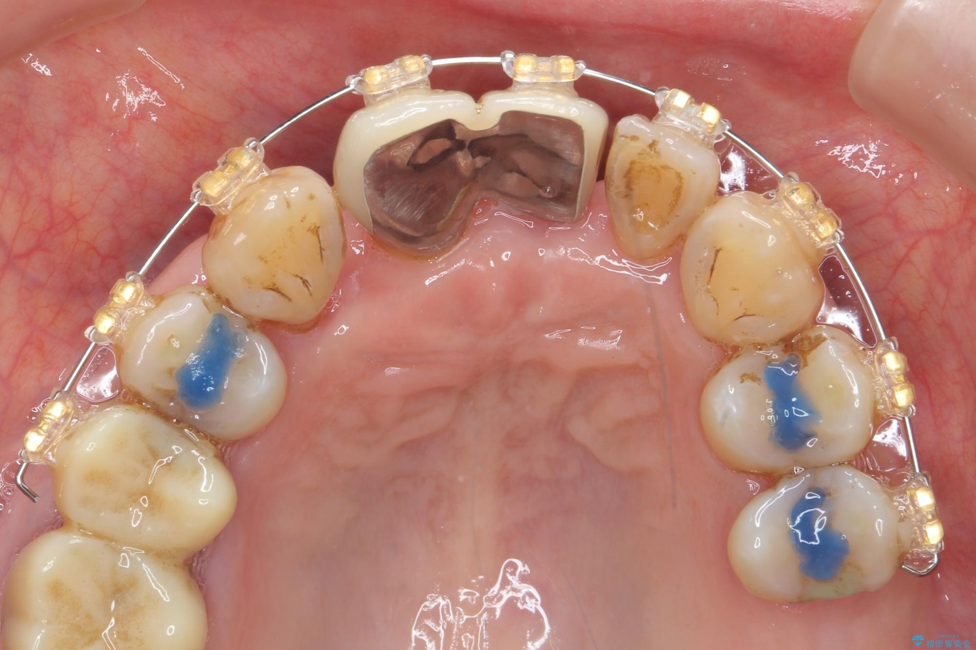
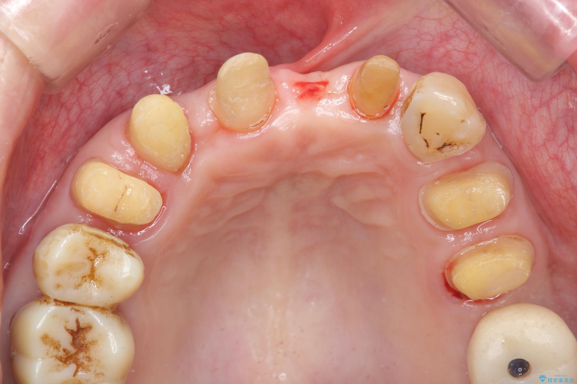
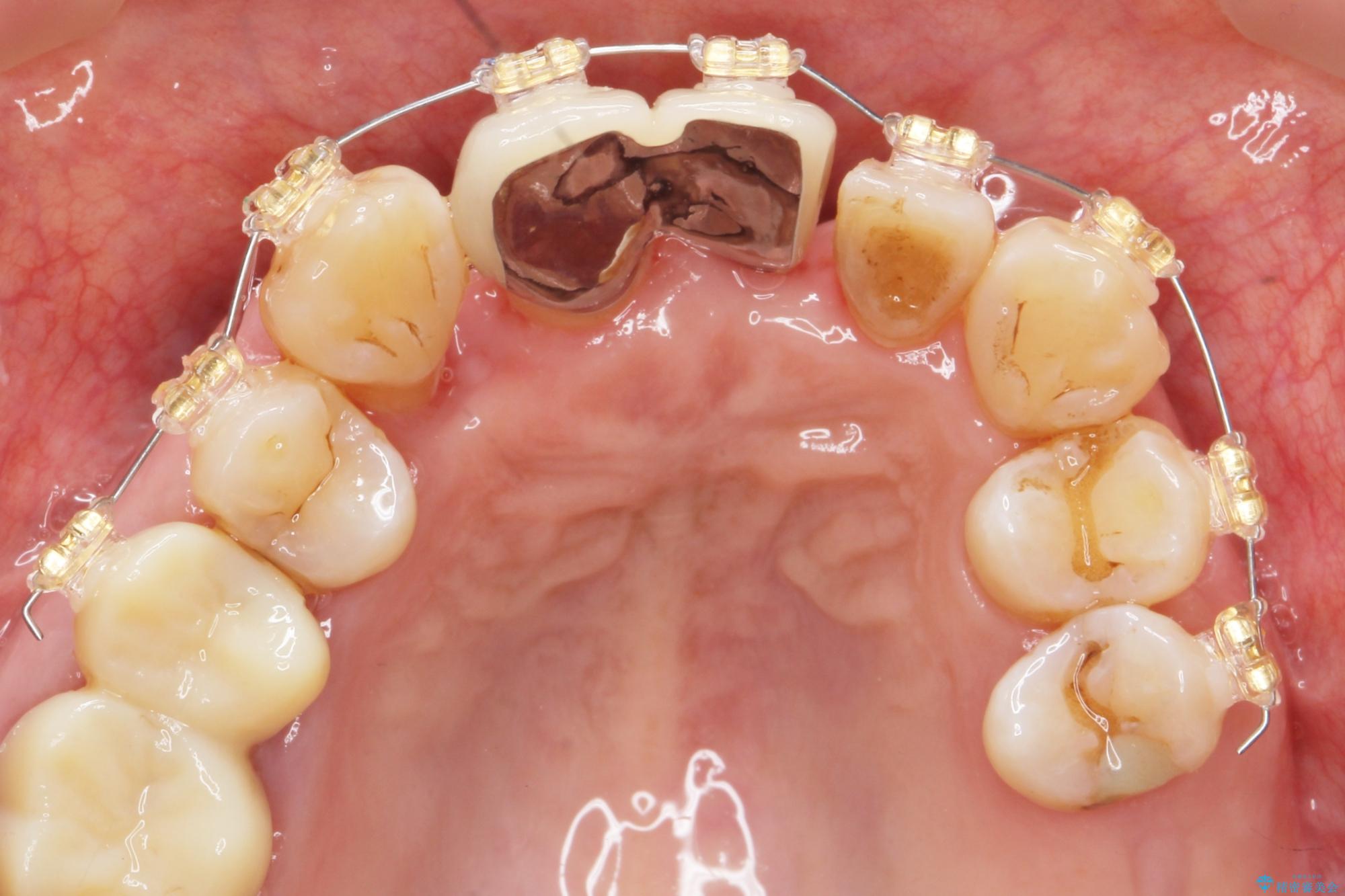
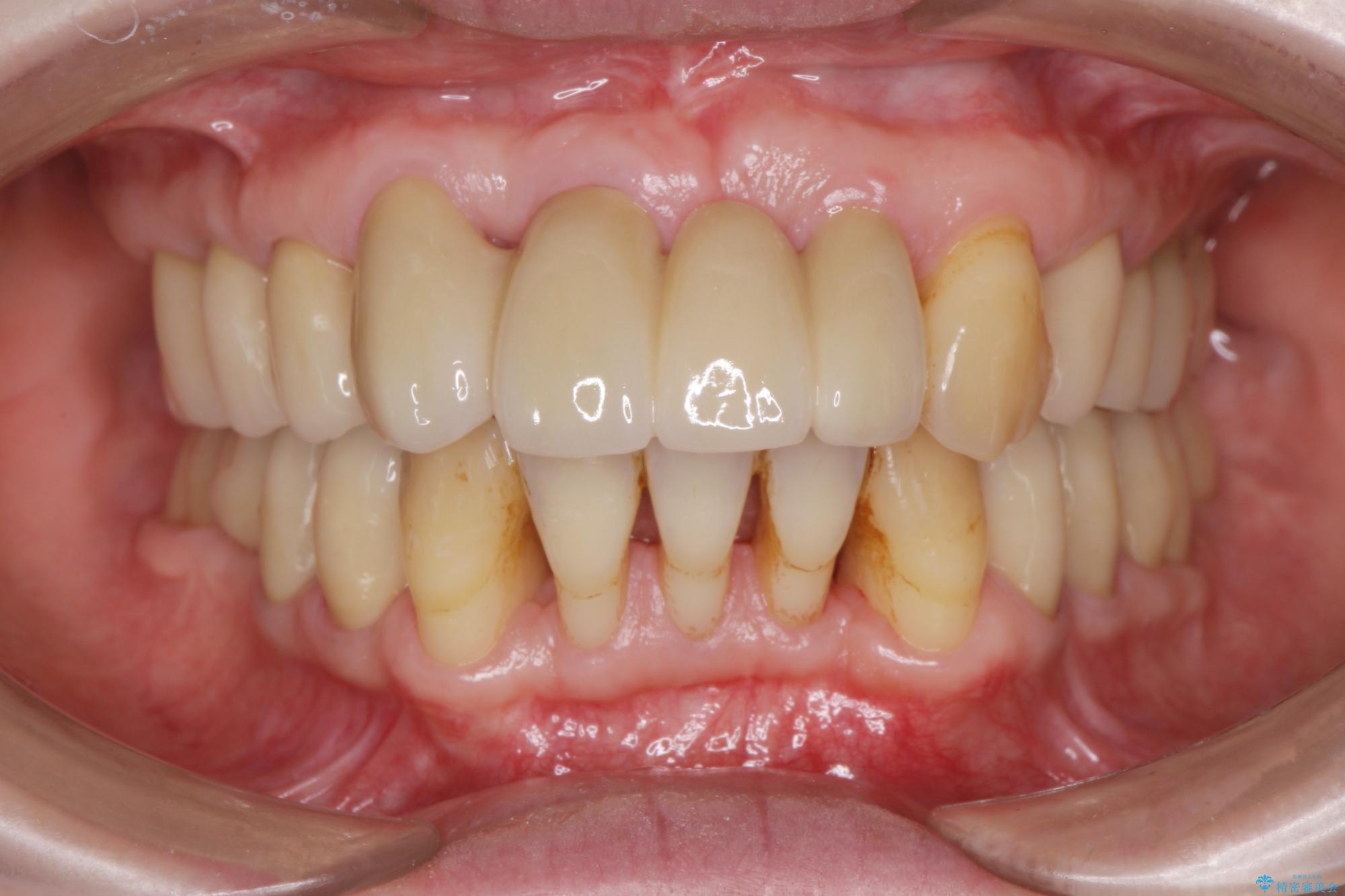
治療中
歯の総合的なマネージメントを行う包括的歯科治療の実践[ 歯周病・矯正・セラミック補綴 ] 治療中画像 歯の総合的なマネージメントを行う包括的歯科治療の実践[ 歯周病・矯正・セラミック補綴 ] 治療中画像 歯の総合的なマネージメントを行う包括的歯科治療の実践[ 歯周病・矯正・セラミック補綴 ] 治療中画像 歯の総合的なマネージメントを行う包括的歯科治療の実践[ 歯周病・矯正・セラミック補綴 ] 治療中画像 歯の総合的なマネージメントを行う包括的歯科治療の実践[ 歯周病・矯正・セラミック補綴 ] 治療中画像 歯の総合的なマネージメントを行う包括的歯科治療の実践[ 歯周病・矯正・セラミック補綴 ] 治療中画像 歯の総合的なマネージメントを行う包括的歯科治療の実践[ 歯周病・矯正・セラミック補綴 ] 治療中画像 歯の総合的なマネージメントを行う包括的歯科治療の実践[ 歯周病・矯正・セラミック補綴 ] 治療中画像 歯の総合的なマネージメントを行う包括的歯科治療の実践[ 歯周病・矯正・セラミック補綴 ] 治療中画像 歯の総合的なマネージメントを行う包括的歯科治療の実践[ 歯周病・矯正・セラミック補綴 ] 治療中画像 歯の総合的なマネージメントを行う包括的歯科治療の実践[ 歯周病・矯正・セラミック補綴 ] 治療中画像
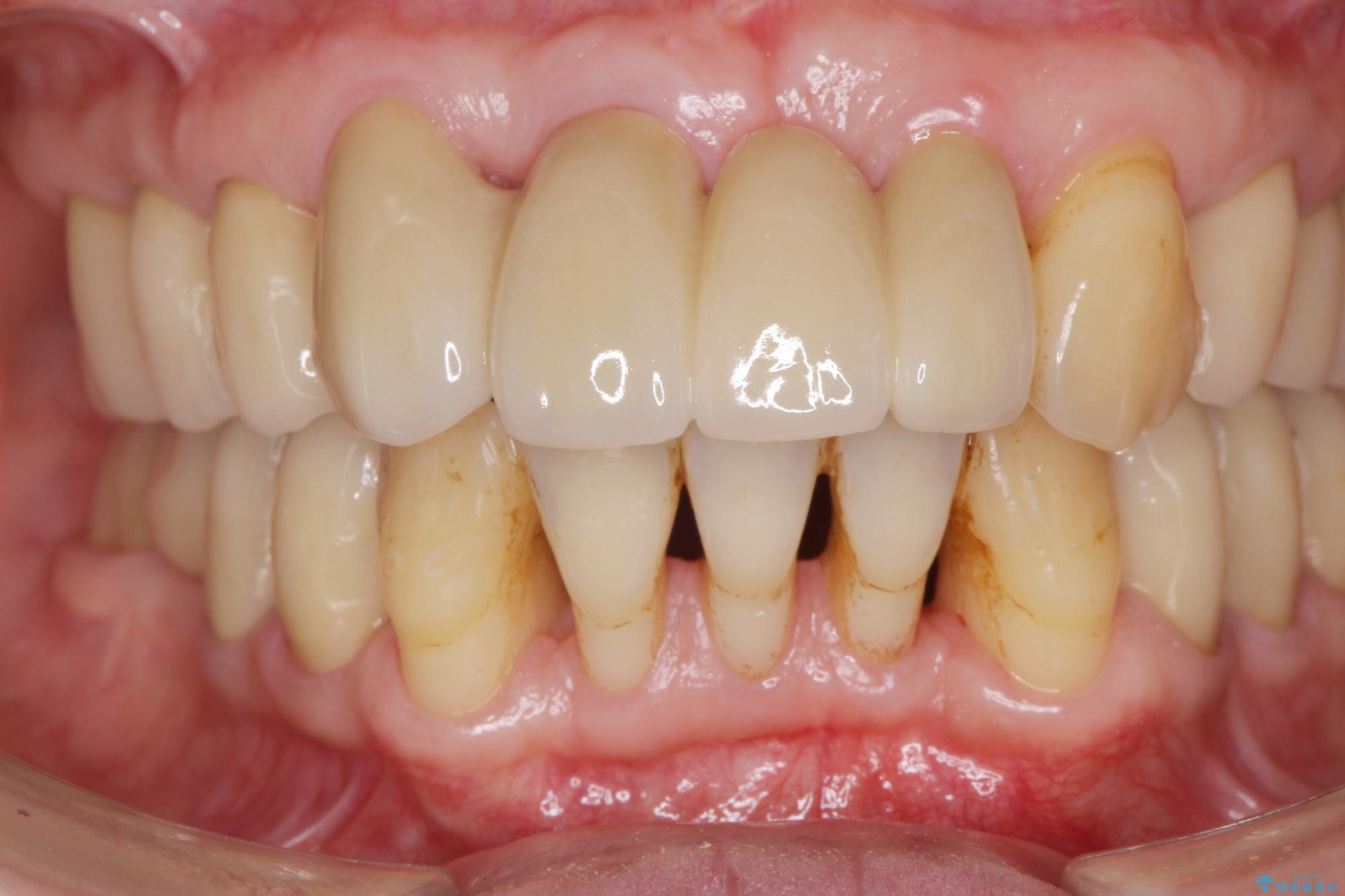
治療後
歯の総合的なマネージメントを行う包括的歯科治療の実践[ 歯周病・矯正・セラミック補綴 ] 治療後画像 歯の総合的なマネージメントを行う包括的歯科治療の実践[ 歯周病・矯正・セラミック補綴 ] 治療後画像 歯の総合的なマネージメントを行う包括的歯科治療の実践[ 歯周病・矯正・セラミック補綴 ] 治療後画像 歯の総合的なマネージメントを行う包括的歯科治療の実践[ 歯周病・矯正・セラミック補綴 ] 治療後画像

外科処置の注意事項(リスク・副作用など)

・外科手術のため、術後に出血、痛みや腫れ、違和感を伴います
・口腔内の状態によっては適応できないことがあります

歯周病治療の注意事項(リスク・副作用など)

・外科手術のため、術後に痛みや腫れ、違和感を伴います
・歯周組織再生治療は患者様の状態によって術後の経過が異なります(見た目が改善しない場合もあります)
・歯周組織再生治療は自費診療(保険適用外)となります

セラミック治療の注意事項(リスク・副作用など)

・天然歯を削ります
・硬い素材は天然歯を傷つけてしまう場合があります
・かみ合わせや歯ぎしりが強すぎる方はセラミックが割れてしまう可能性があります
・自費診療(保険適用外治療)となります