銀歯を除去してのセラミック治療[ メタルフリー ]

治療概要

  • 患者様:30代女性
  • 治療期間:1ヶ月
  • 治療回数:2~5回
  • 概算治療費:15.4万円(セラミックインレー×2)※費用は治療当時の料金となります
  • 担当医:Dr.大元

来院主訴

笑った時に見える銀歯を白くしたい、と希望され来院されました。

治療計画

銀歯を除去し、審美性を改善、虫歯の再発リスクも低いセラミックインレーを用いた治療計画を進めていきます。

治療を終えて

セラミックインレーは審美性に優れるだけでなく、表面の物性が劣化しにくいこと、適合に優れることで虫歯の再発リスクが銀歯よりも優位に低くなります。

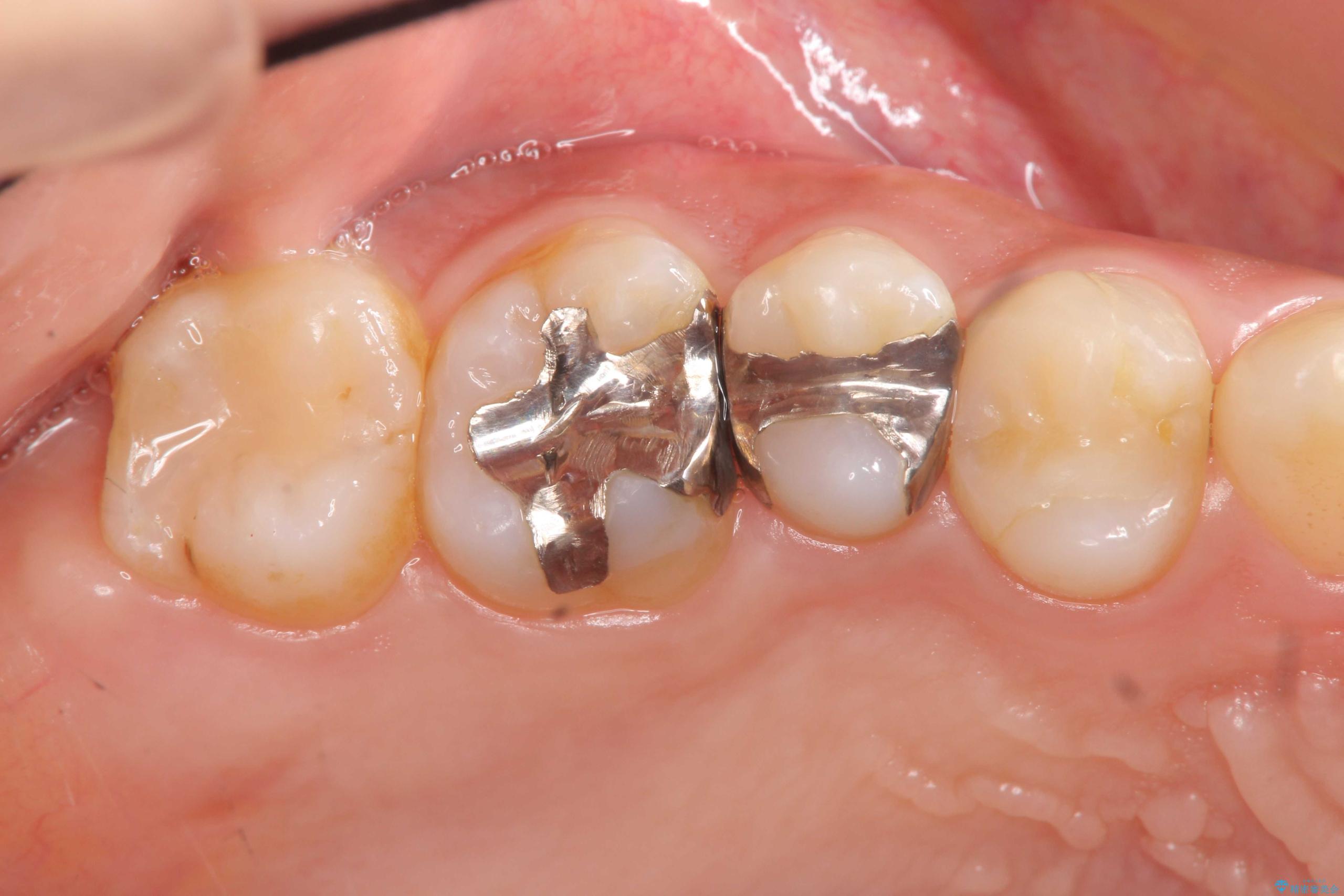
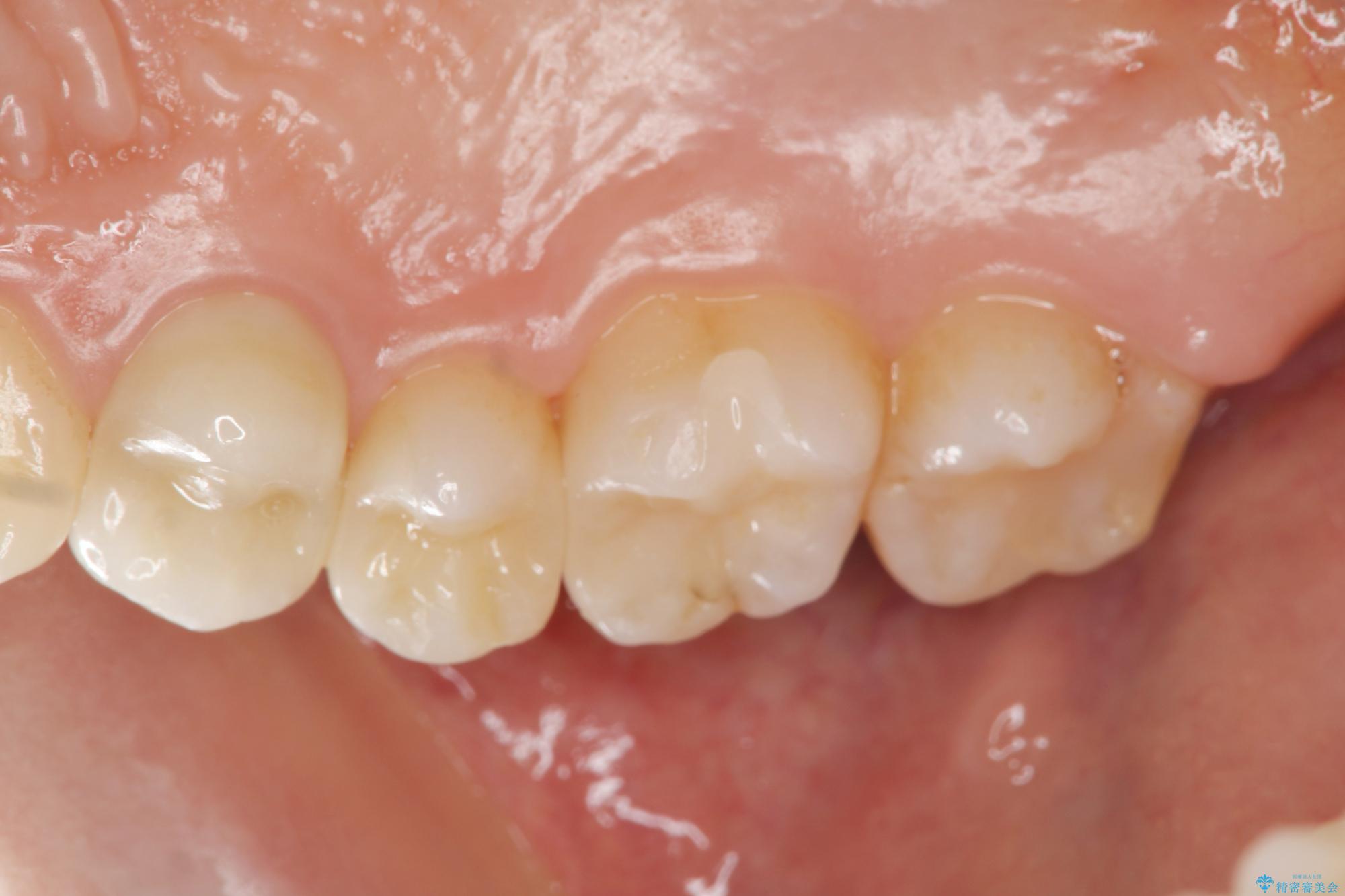
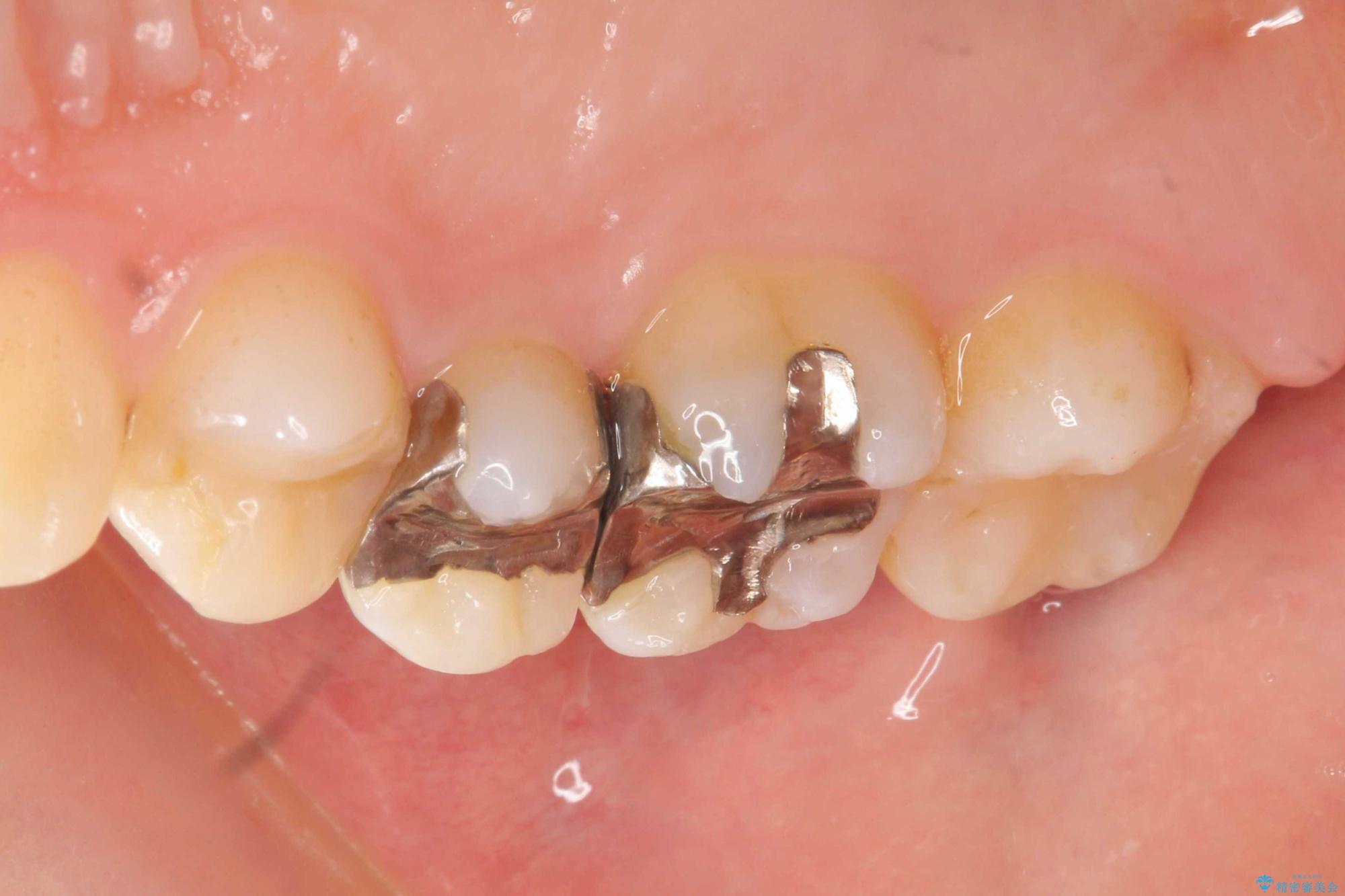
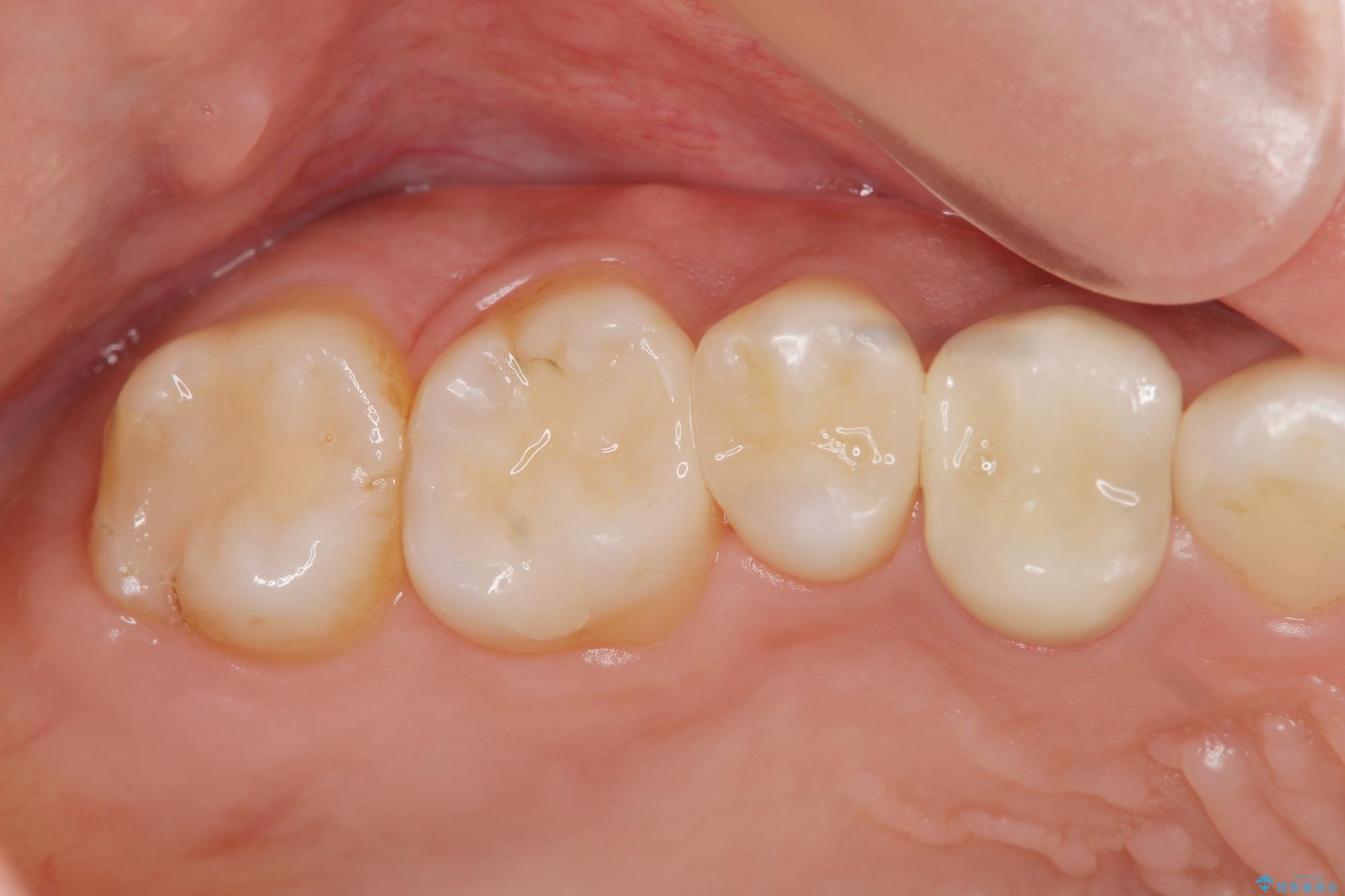
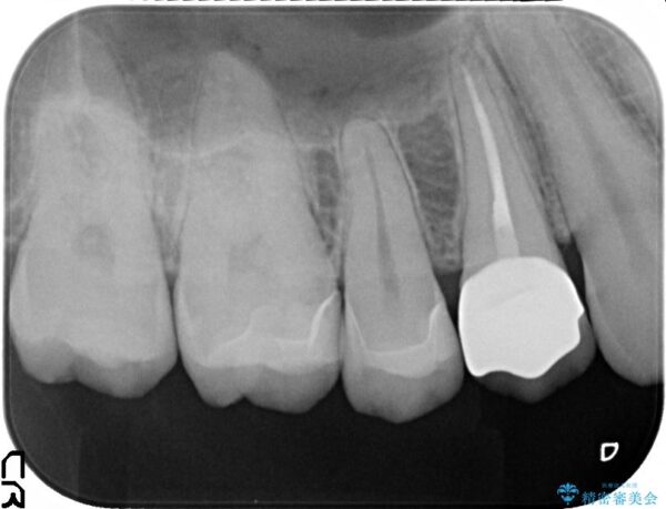
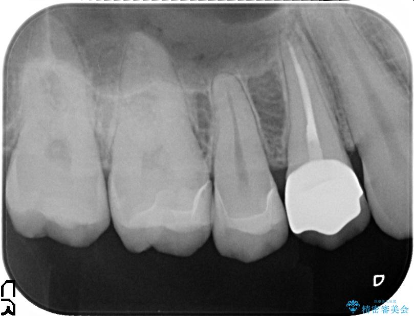
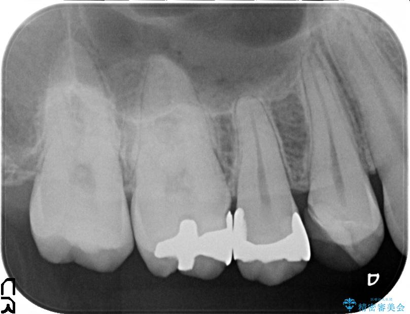
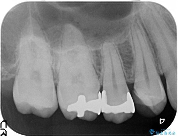
症例画像(クリックで拡大します)

治療前
銀歯を除去してのセラミック治療[ メタルフリー ] 治療前画像 銀歯を除去してのセラミック治療[ メタルフリー ] 治療前画像 銀歯を除去してのセラミック治療[ メタルフリー ] 治療前画像
治療中
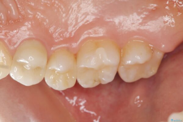
治療後
銀歯を除去してのセラミック治療[ メタルフリー ] 治療後画像 銀歯を除去してのセラミック治療[ メタルフリー ] 治療後画像 銀歯を除去してのセラミック治療[ メタルフリー ] 治療後画像

セラミック治療の注意事項(リスク・副作用など)

・天然歯を削ります
・硬い素材は天然歯を傷つけてしまう場合があります
・かみ合わせや歯ぎしりが強すぎる方はセラミックが割れてしまう可能性があります
・自費診療(保険適用外治療)となります