舌小帯を切除し滑舌を治したい

治療概要

  • 患者様:30代男性
  • 治療期間:1ヶ月
  • 治療回数:2~5回
  • 概算治療費:舌小帯切除:33,000円(税込)※費用は治療当時の料金となります
  • 担当医:Dr.岡田

来院主訴

滑舌を改善したいとご相談にいらっしゃった患者様です。

治療計画

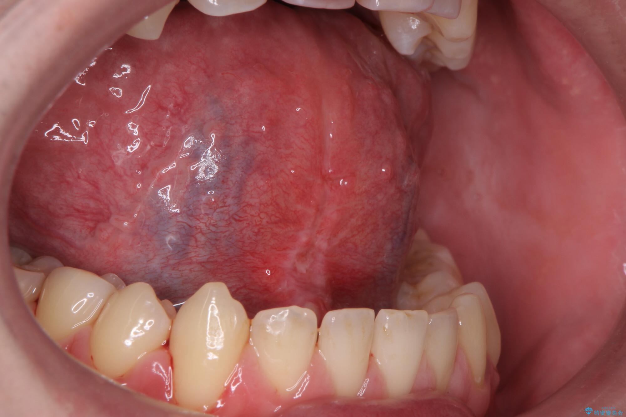
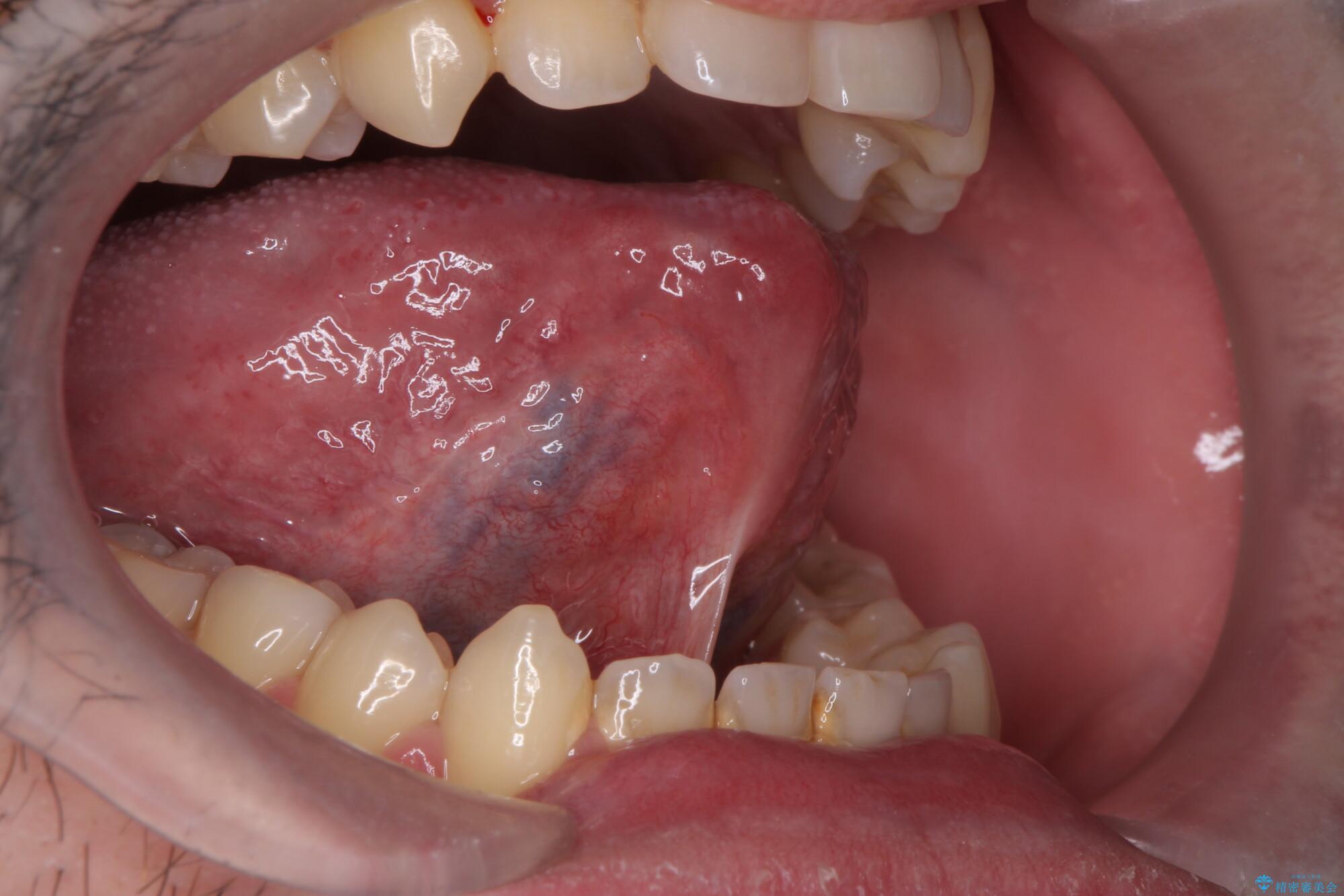
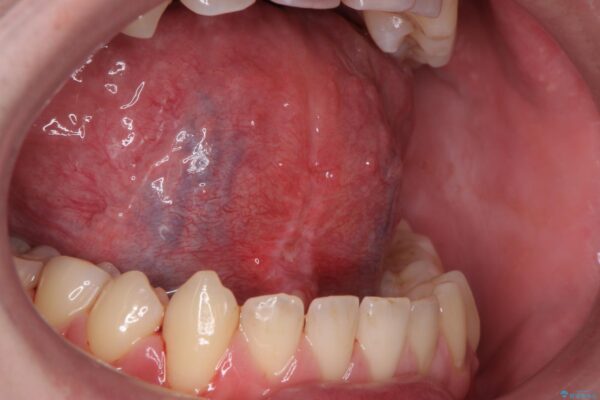
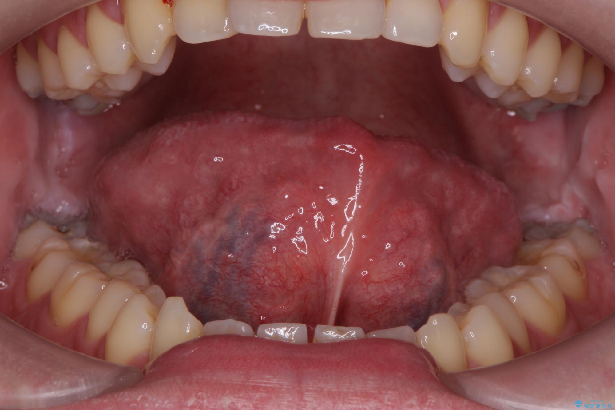
舌の裏にあるヒダ(舌小帯)が短いため、舌の動きが制限され、話しにくさにつながっています。
このヒダを少し切り取ることで、舌を自由に動かせるようにし、滑舌の改善を図ります。
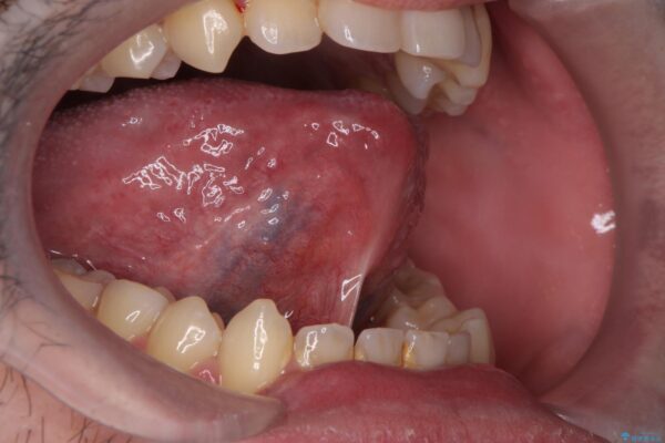
治療は部分麻酔を行い、15分ほどで終わる負担の少ない処置です。

治療を終えて

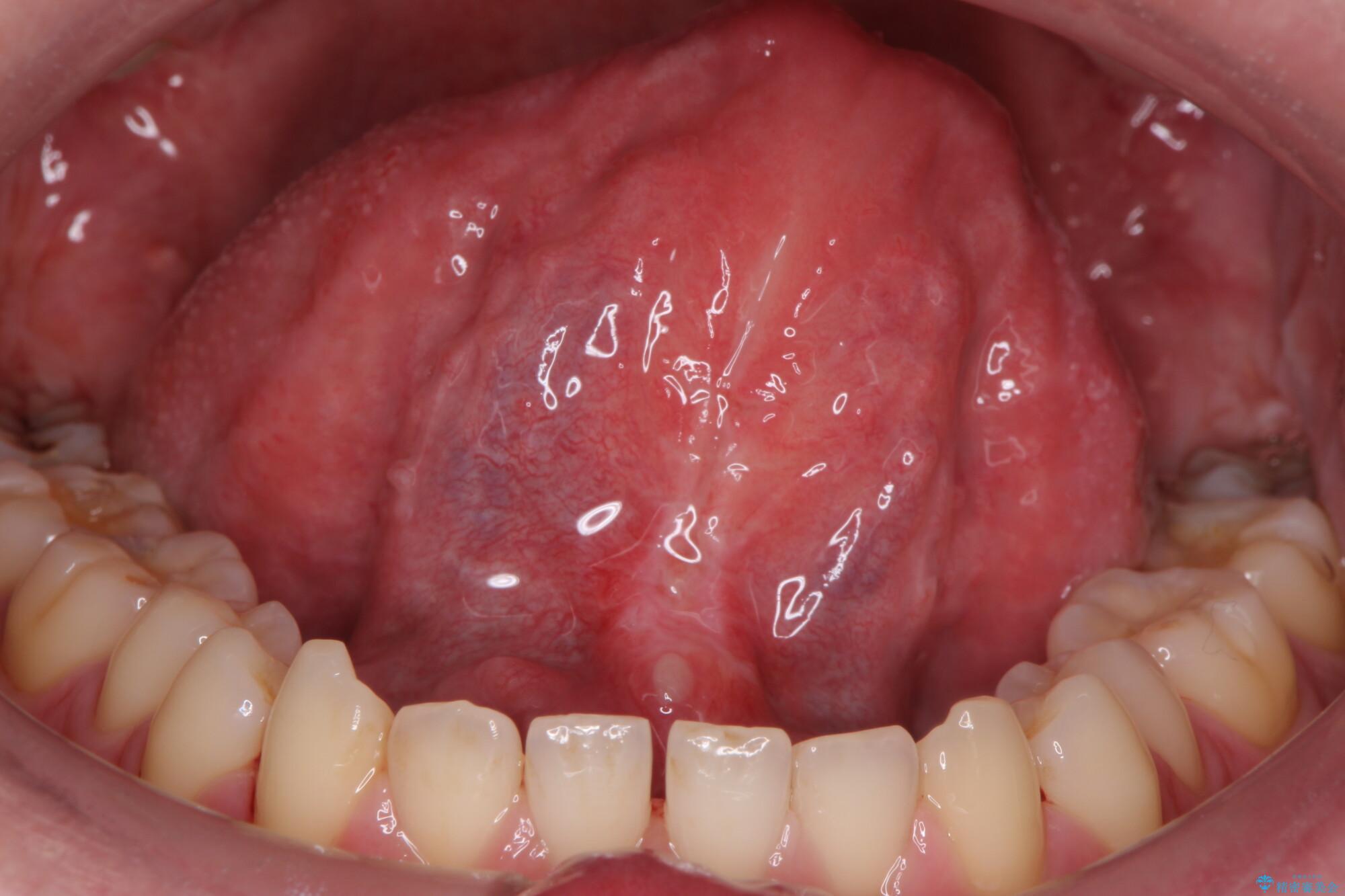
出血も少なく、舌の動きが大幅に改善しました。手術の効果を最大限に引き出し、滑舌をしっかり定着させるために、今後は舌のトレーニングも並行して行いましょう。

症例画像(クリックで拡大します)

治療前
舌小帯を切除し滑舌を治したい 治療前画像 舌小帯を切除し滑舌を治したい 治療前画像
治療中
舌小帯を切除し滑舌を治したい 治療中画像 舌小帯を切除し滑舌を治したい 治療中画像
治療後
舌小帯を切除し滑舌を治したい 治療後画像 舌小帯を切除し滑舌を治したい 治療後画像

外科処置の注意事項(リスク・副作用など)

・外科手術のため、術後に出血、痛みや腫れ、違和感を伴います
・口腔内の状態によっては適応できないことがあります