気になる犬歯のガタつきをマウスピース矯正で改善

治療概要

  • 患者様:30代女性
  • 治療期間:5ヶ月
  • 治療回数:5~10回
  • 矯正装置:インビザラインモデレート
  • 概算治療費:605,000円(税込)※費用は治療当時の料金となります
  • 担当医:Dr.岡田

来院主訴

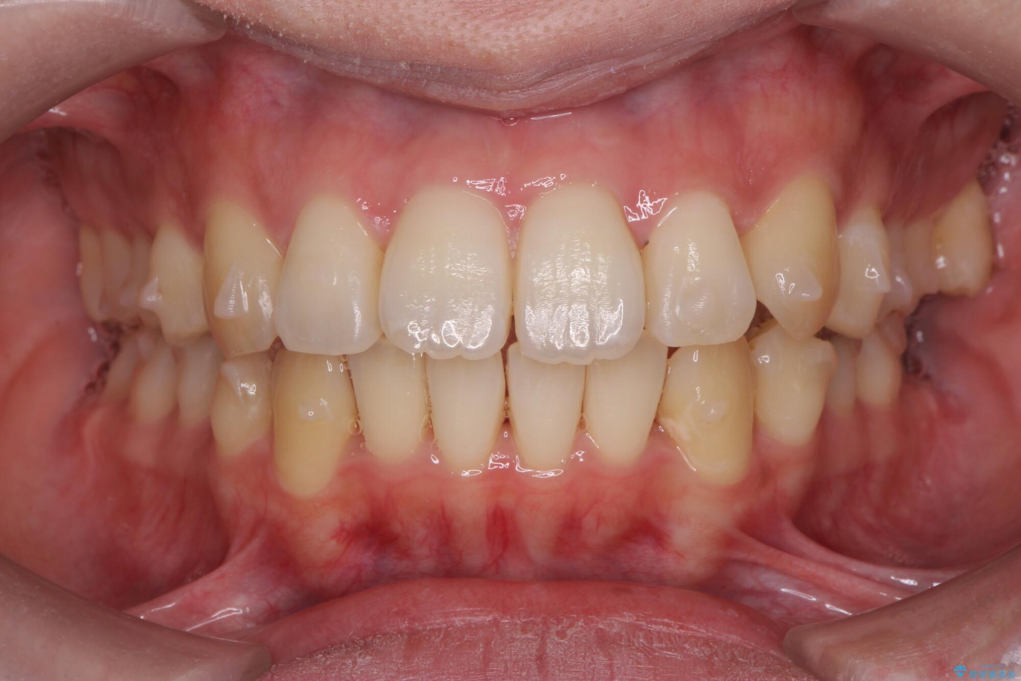
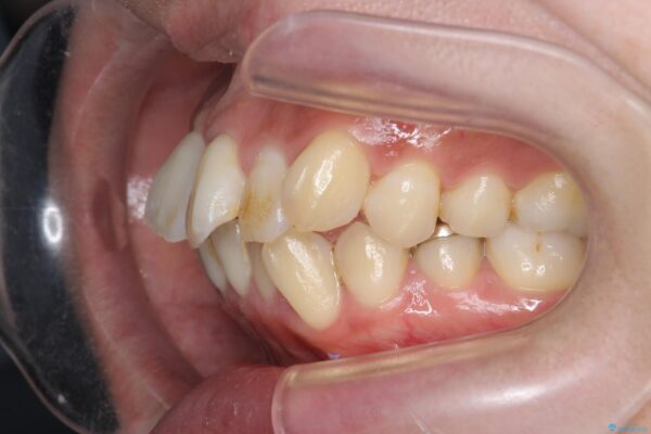
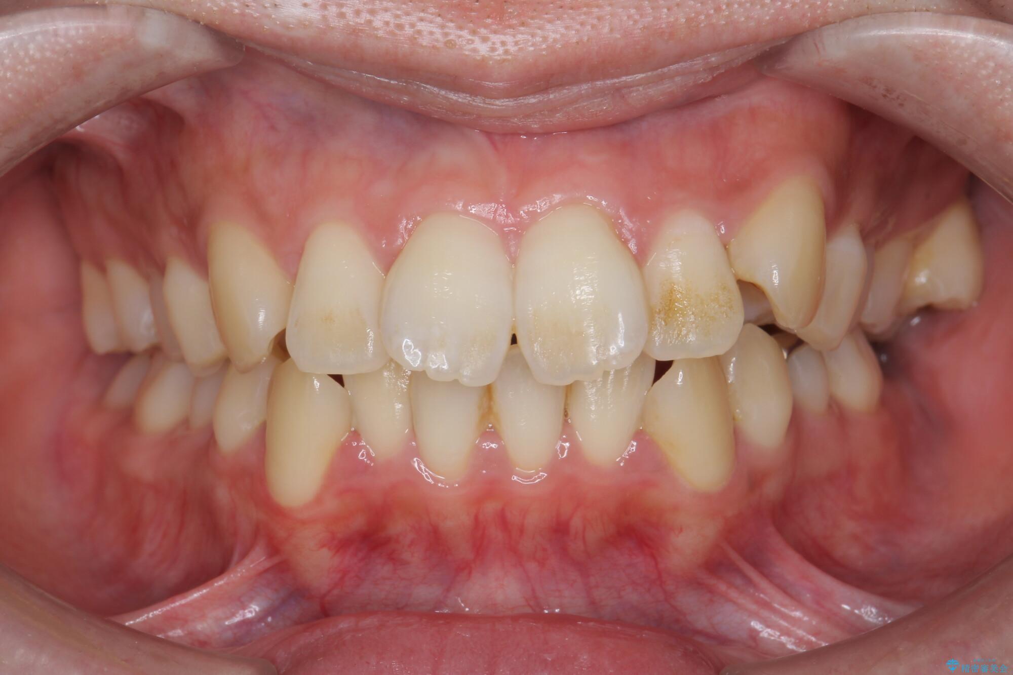
前歯のガタつきの改善を主訴にご来院されました。 特に犬歯の傾きが気になるとのことでした。

治療計画

犬歯がかなり手前に傾いていましたが、ガタつきはそれほど強くないため非抜歯でマウスピース矯正が可能と判断しました。

治療を終えて

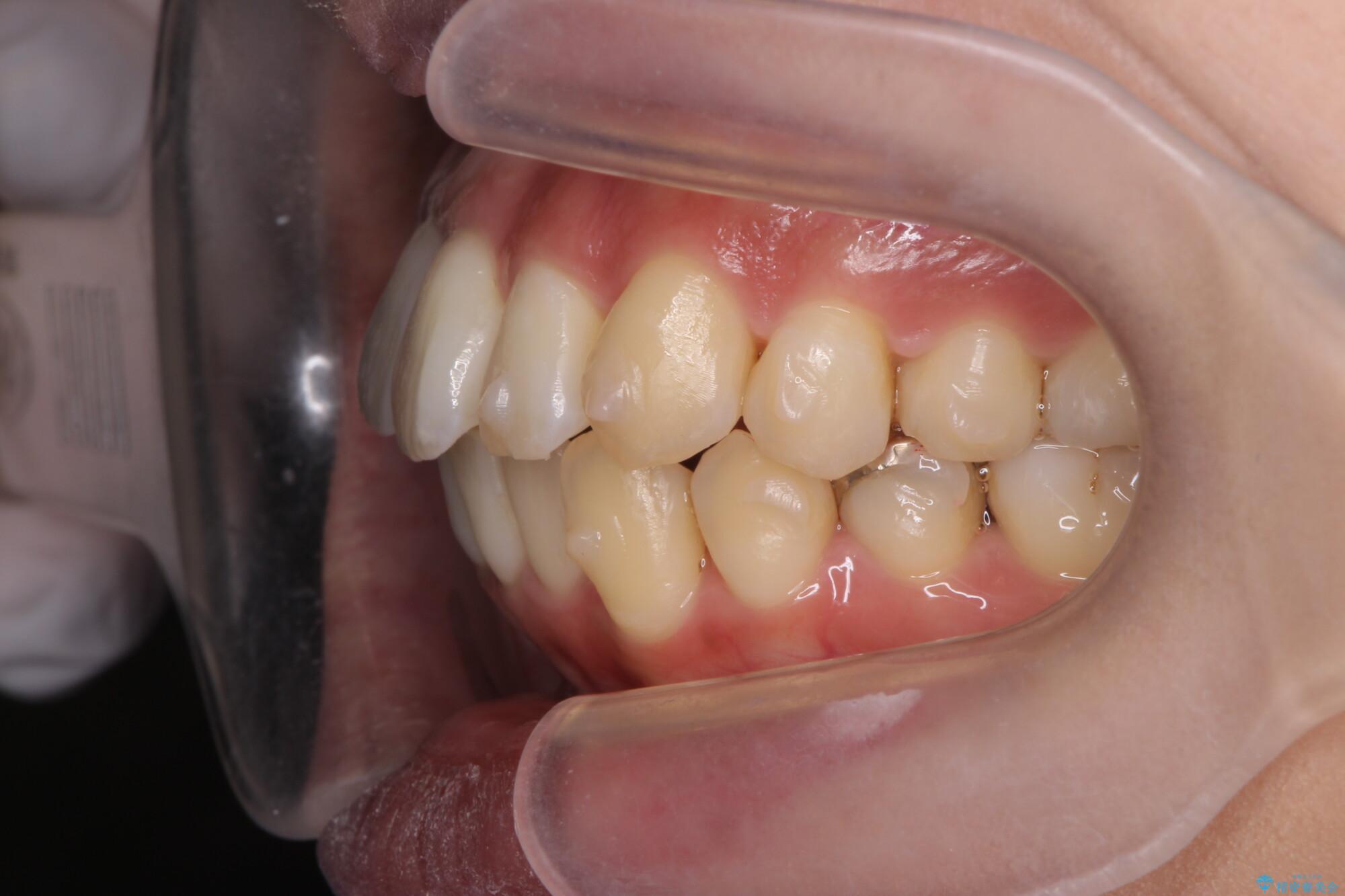
患者様の協力度も高く、リファインメントなしで治療を終えることができました。
抜歯をしない場合、多くは歯と歯の間を少し削ることでスペースを作ります。
動的治療期間は約4か月となり、短い治療期間で前歯のガタつきが改善され大変喜んでいただけました。

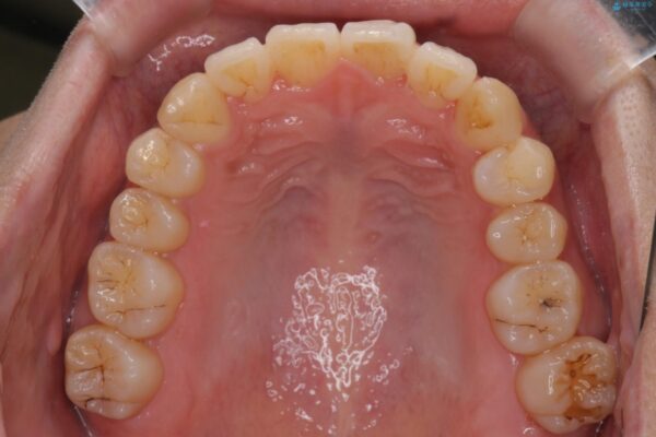
症例画像(クリックで拡大します)

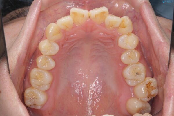
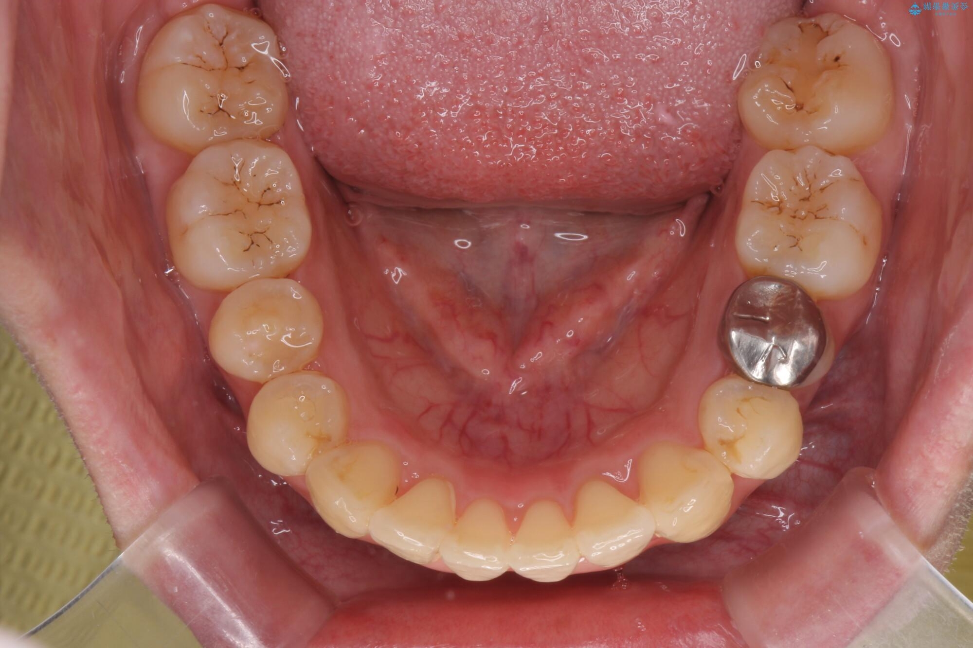
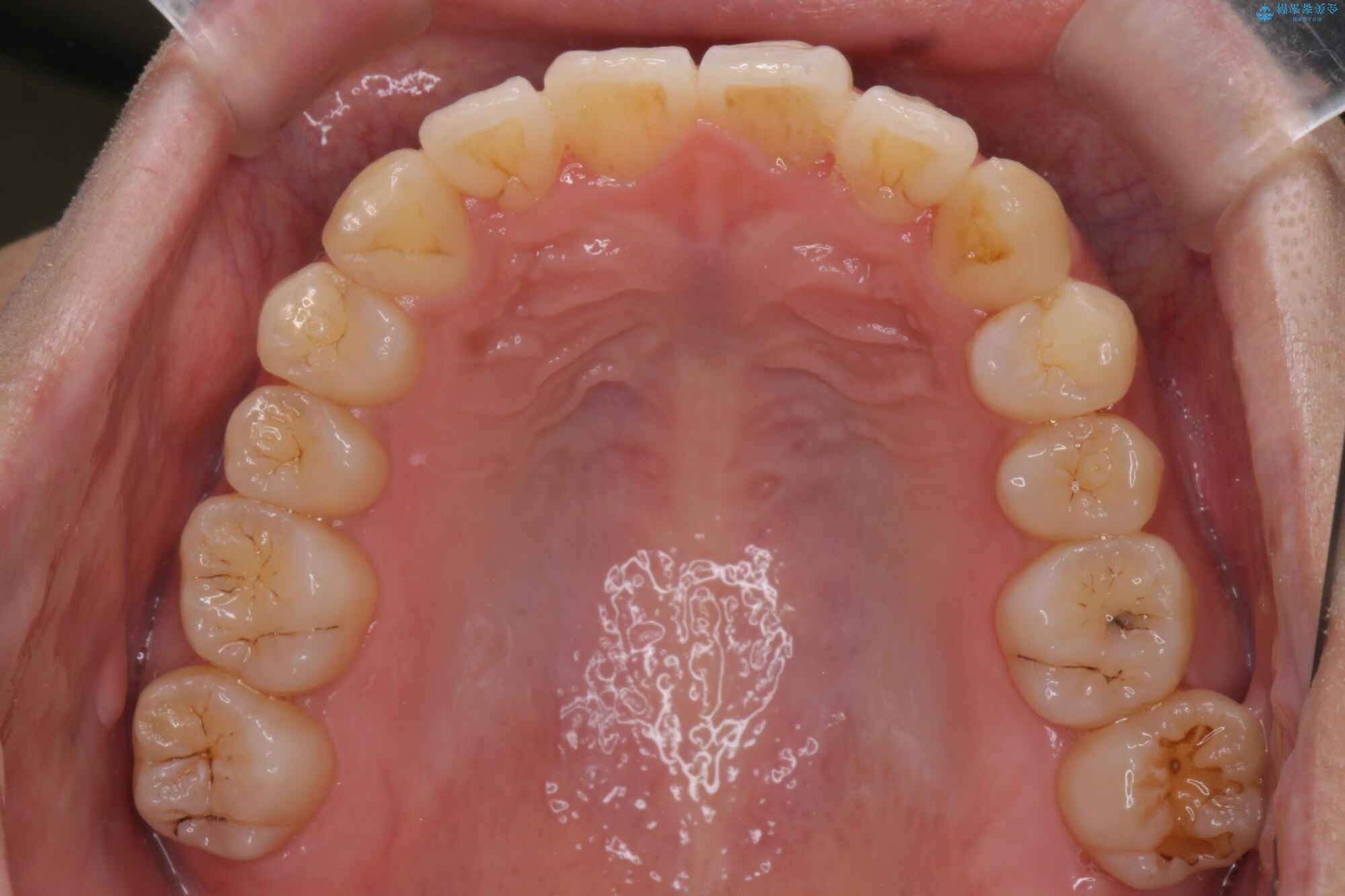
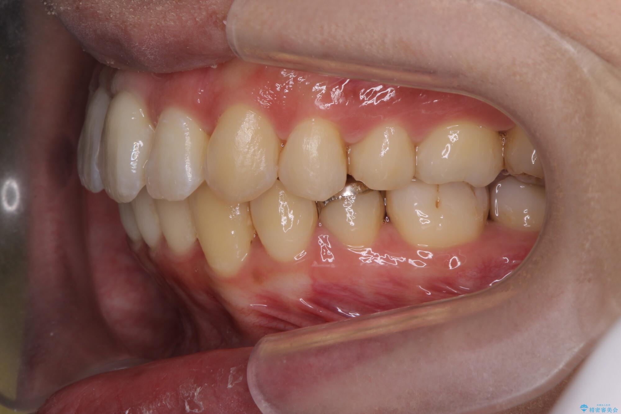
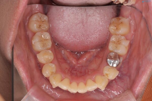
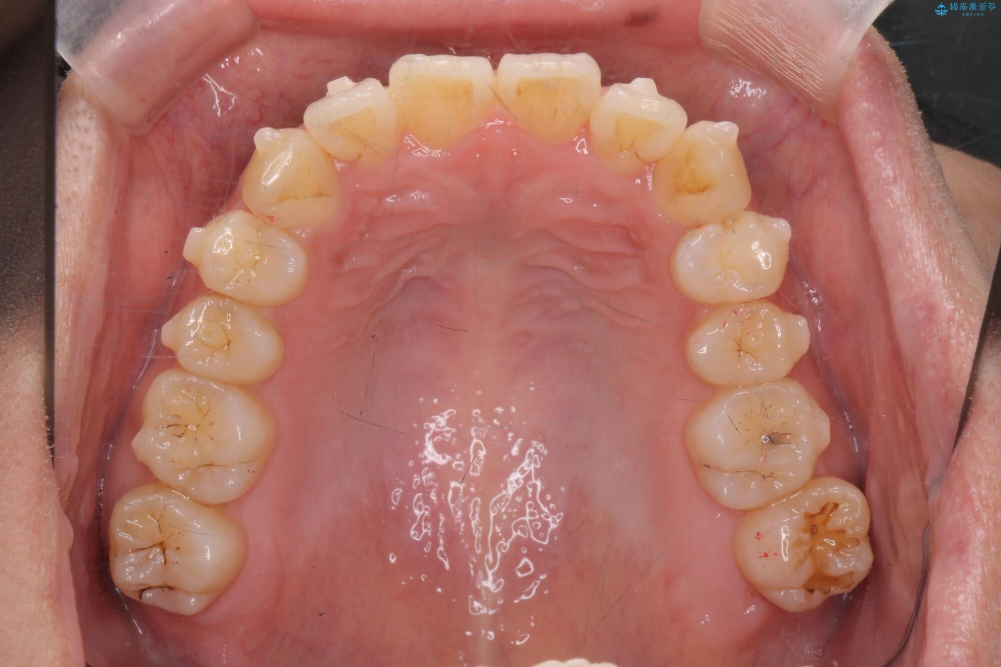
治療前
気になる犬歯のガタつきをマウスピース矯正で改善 治療前画像 気になる犬歯のガタつきをマウスピース矯正で改善 治療前画像 気になる犬歯のガタつきをマウスピース矯正で改善 治療前画像 気になる犬歯のガタつきをマウスピース矯正で改善 治療前画像
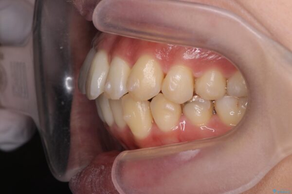
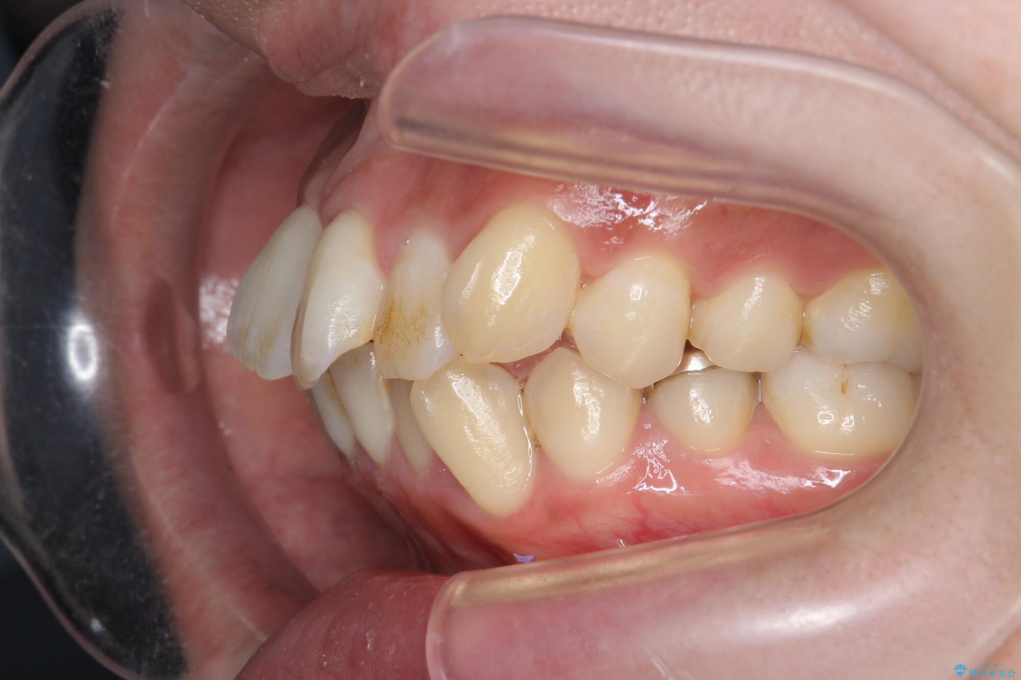
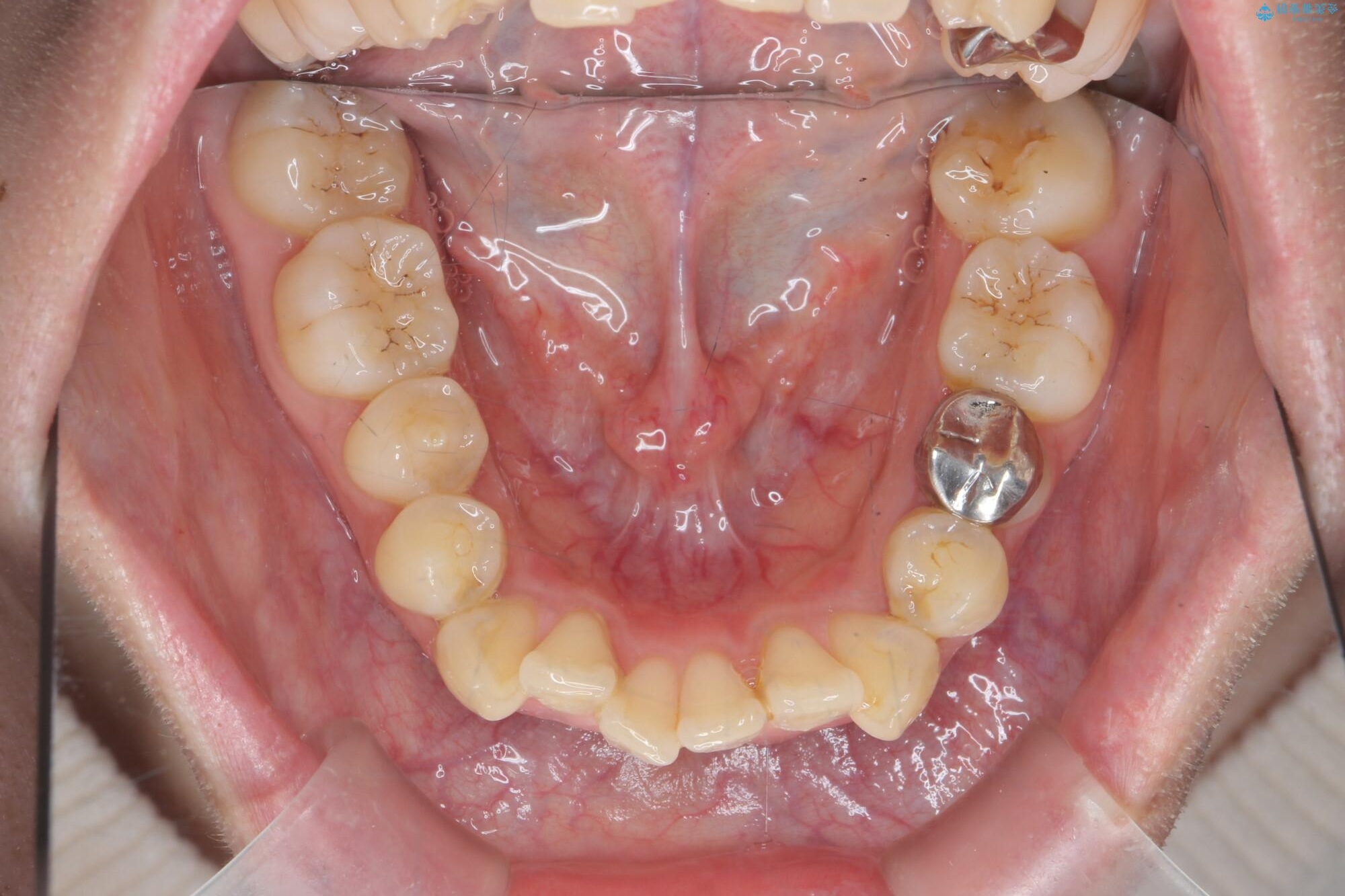
治療中
気になる犬歯のガタつきをマウスピース矯正で改善 治療中画像 気になる犬歯のガタつきをマウスピース矯正で改善 治療中画像 気になる犬歯のガタつきをマウスピース矯正で改善 治療中画像 気になる犬歯のガタつきをマウスピース矯正で改善 治療中画像
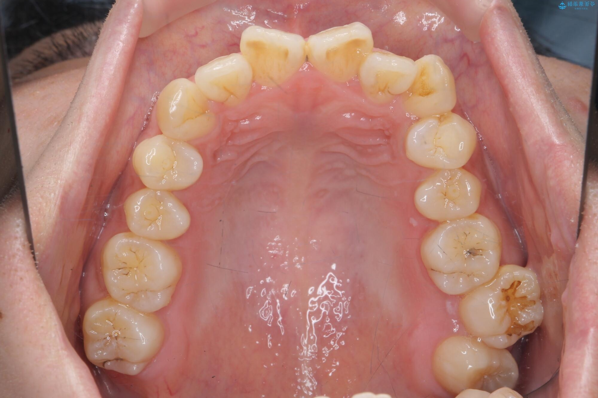
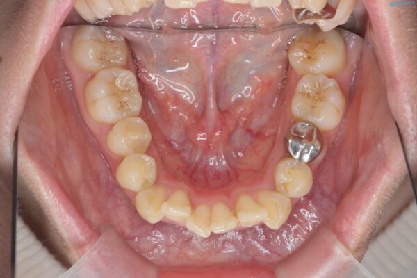
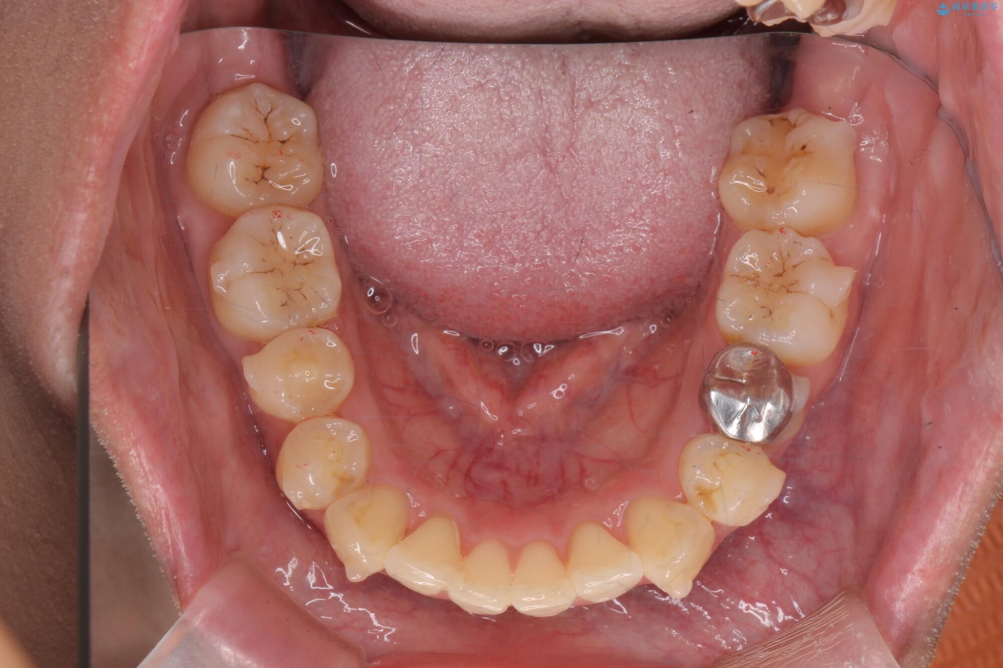
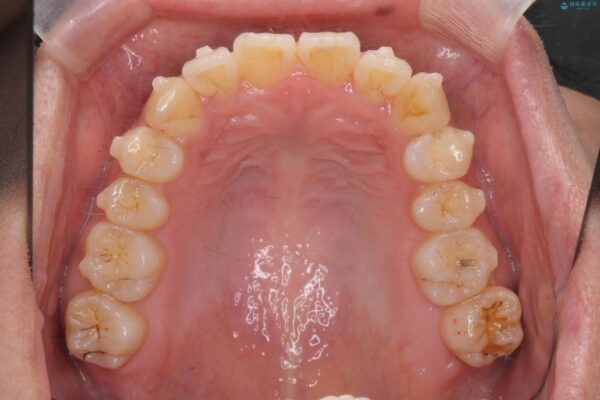
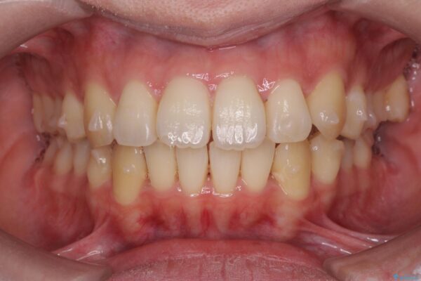
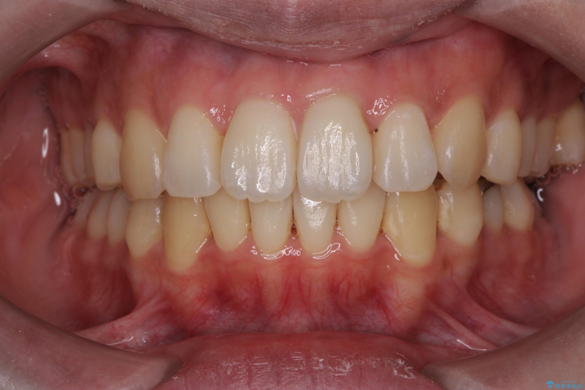
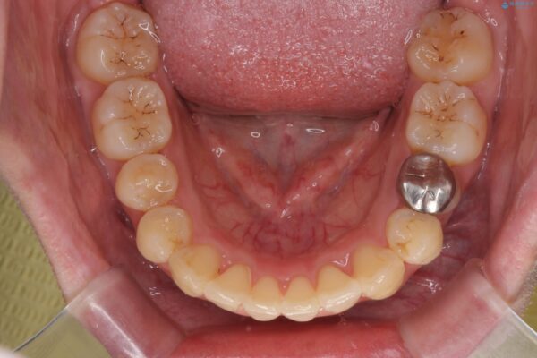
治療後
気になる犬歯のガタつきをマウスピース矯正で改善 治療後画像 気になる犬歯のガタつきをマウスピース矯正で改善 治療後画像 気になる犬歯のガタつきをマウスピース矯正で改善 治療後画像 気になる犬歯のガタつきをマウスピース矯正で改善 治療後画像

マウスピース矯正の注意事項(リスク・副作用など)

・口腔内・歯並びの状態によっては対応できない場合があります
・マウスピース型矯正装置の長時間装着(1日20時間以上)が必須です
・治療計画通りに進めるためには、患者様の意志が重要になります
・矯正治療後の保定が不十分だと後戻り(元の位置に戻ろうとする動き)をします
・薬機法対象外の矯正歯科装置のため医薬品副作用被害救済制度の対象外となる場合があります
・自費診療(保険適用外)となります