傾いた前歯、インビザラインで改善

治療概要

  • 患者様:30代女性
  • 治療期間:6ヶ月
  • 治療回数:5~10回
  • 矯正装置:インビザラインモデレート
  • 概算治療費:605,000円(税込)※費用は治療当時の料金となります
  • 担当医:Dr.岡田

来院主訴

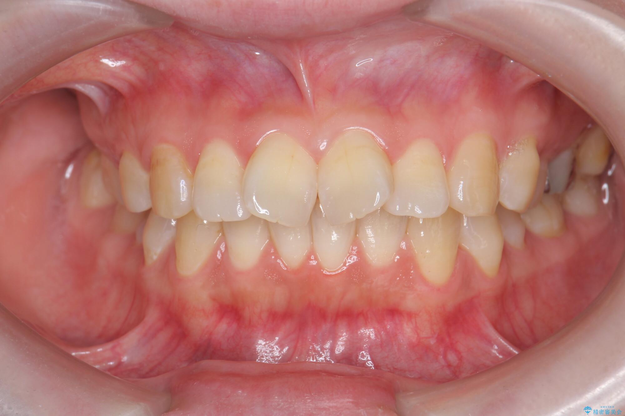
傾いた前歯が気になるとご来院された患者様です。

治療計画

歯の移動量はさほど多くならないと判断し、マウスピース矯正にて治療を行うこととしました。
期間は約半年ほどです。

治療を終えて

非抜歯のため、歯と歯の間を少し削ることでスペースを確保し、がたつきを改善しました。
見た目の印象も変化し、大変ご満足いただけました。

症例画像(クリックで拡大します)

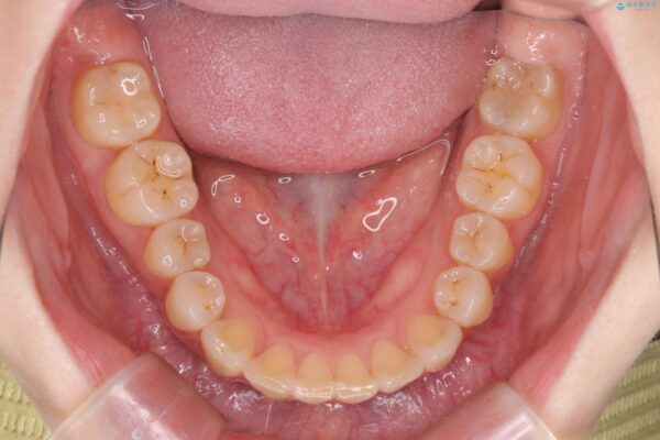
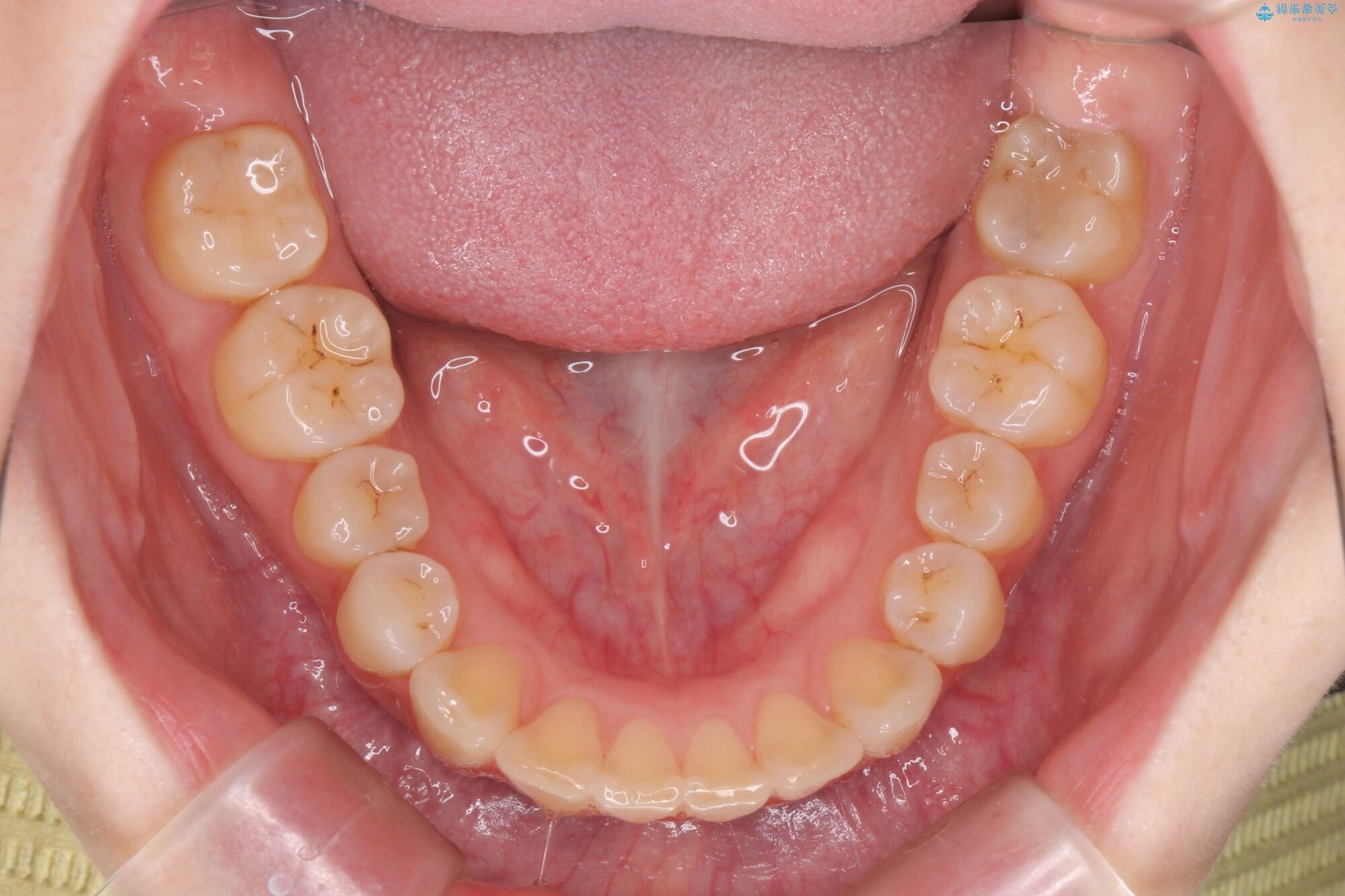
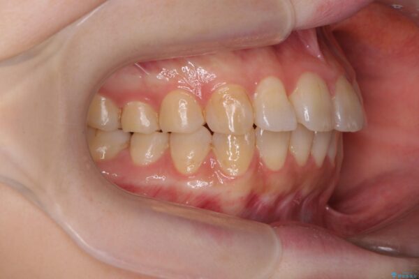
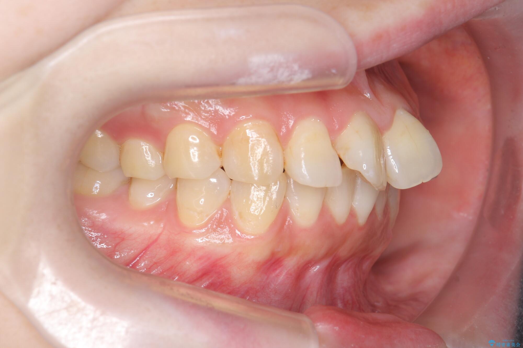
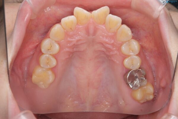
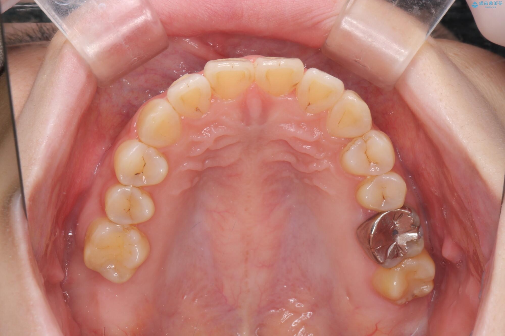
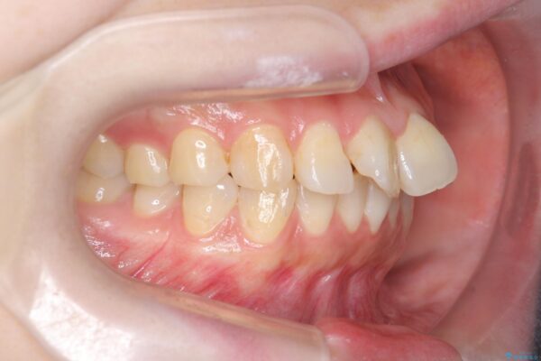
治療前
傾いた前歯、インビザラインで改善 治療前画像 傾いた前歯、インビザラインで改善 治療前画像 傾いた前歯、インビザラインで改善 治療前画像 傾いた前歯、インビザラインで改善 治療前画像
治療中
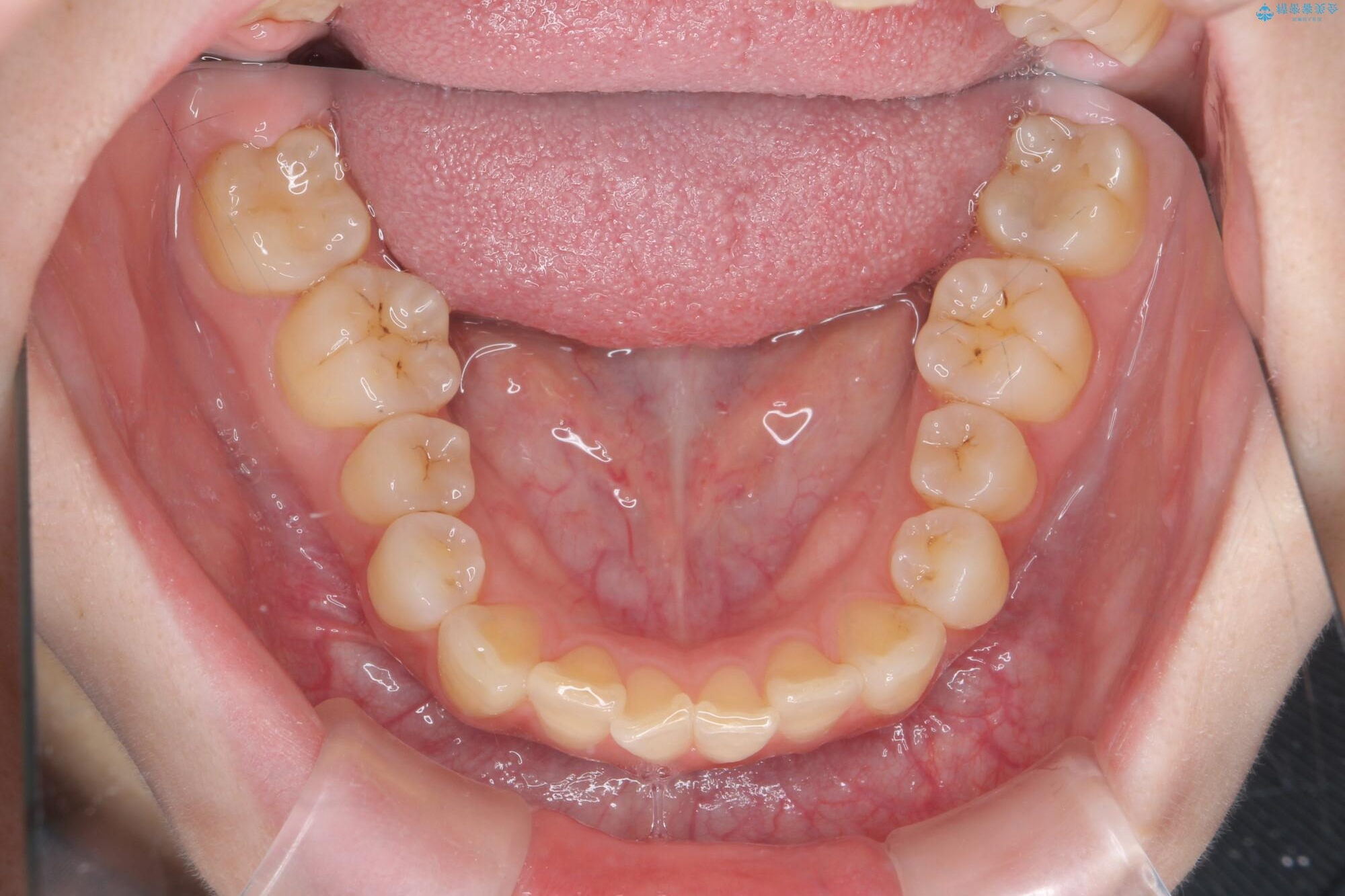
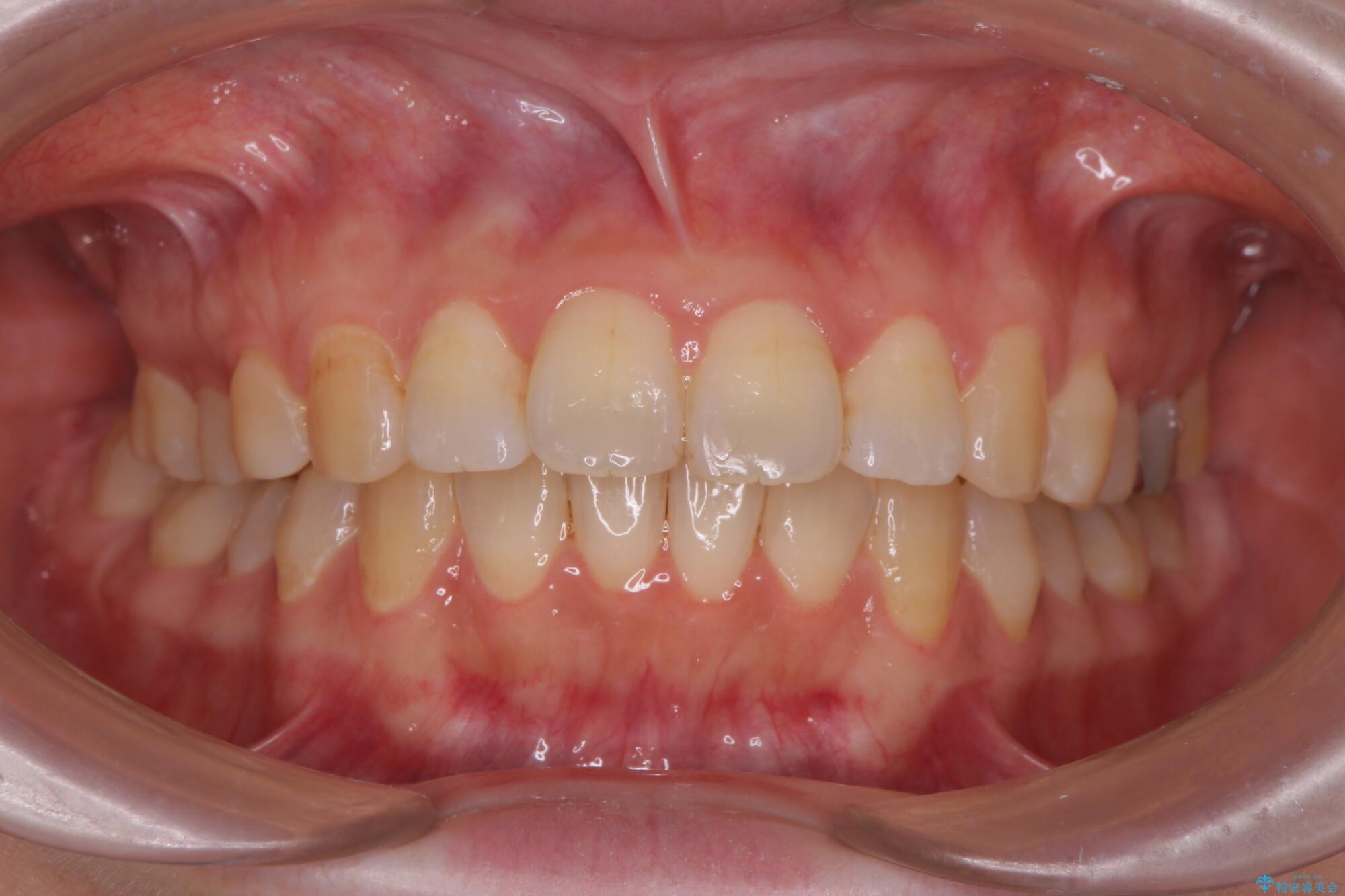
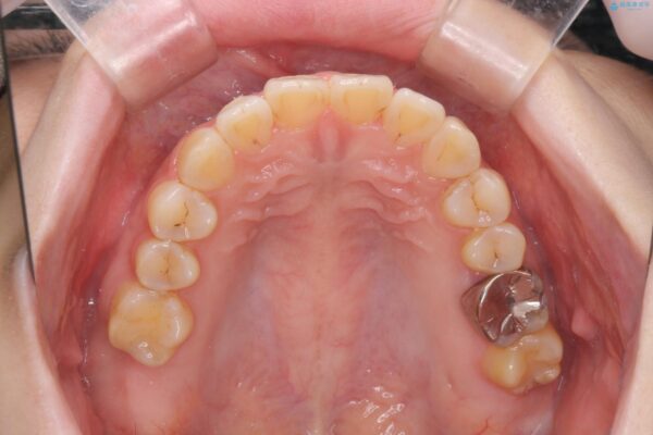
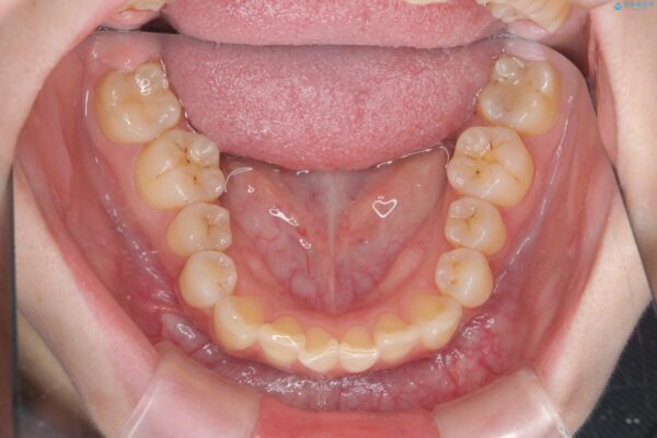
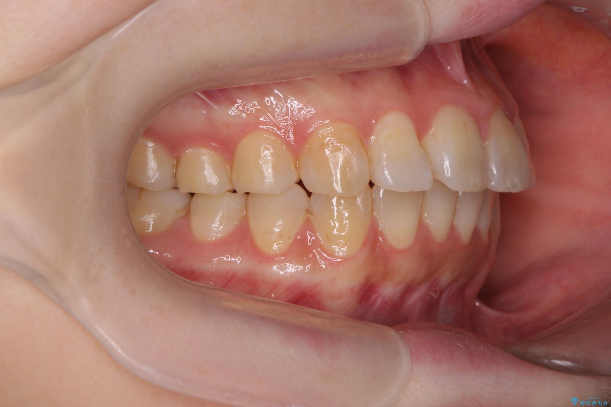
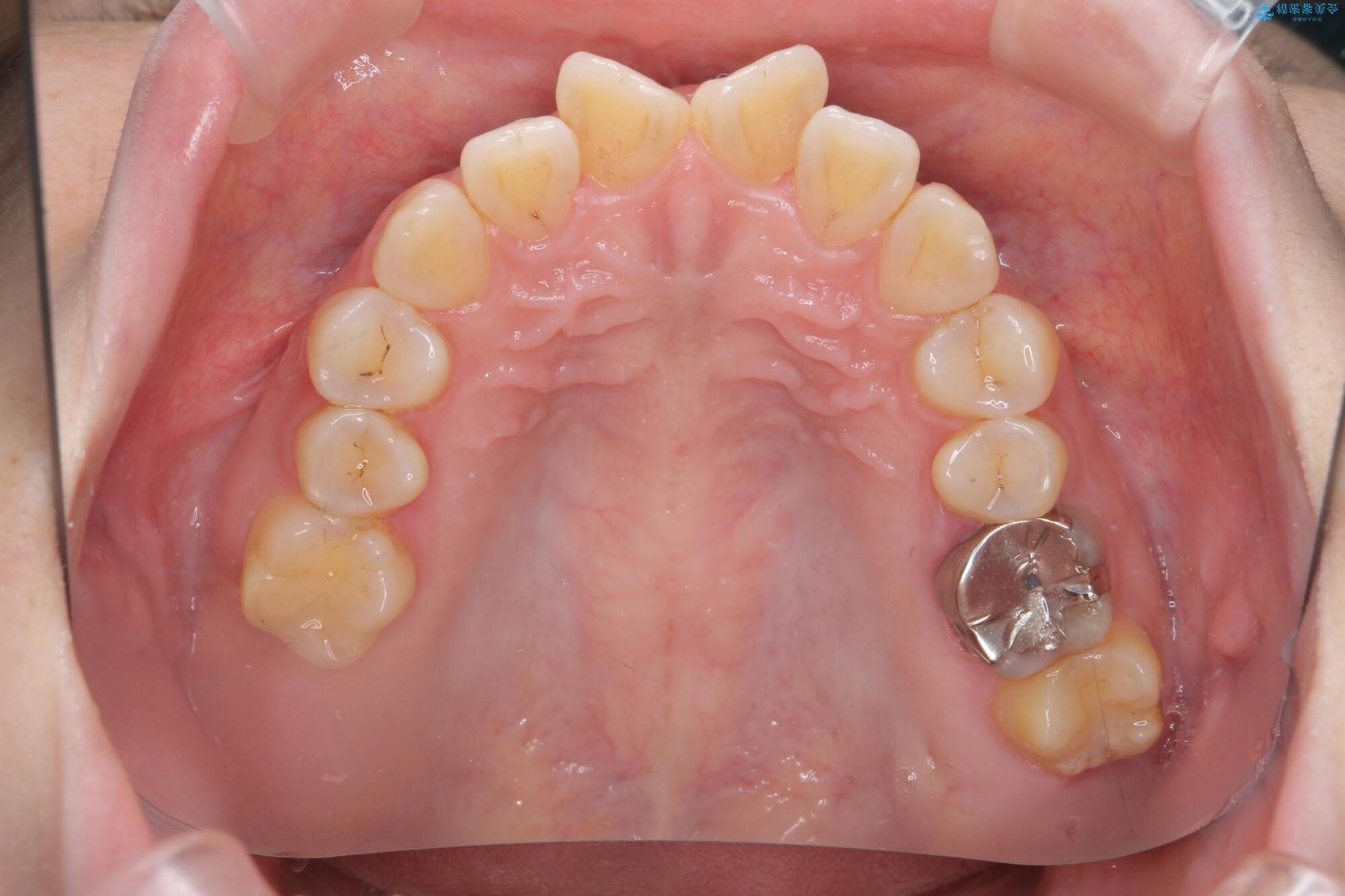
治療後
傾いた前歯、インビザラインで改善 治療後画像 傾いた前歯、インビザラインで改善 治療後画像 傾いた前歯、インビザラインで改善 治療後画像 傾いた前歯、インビザラインで改善 治療後画像

マウスピース矯正の注意事項(リスク・副作用など)

・口腔内・歯並びの状態によっては対応できない場合があります
・マウスピース型矯正装置の長時間装着(1日20時間以上)が必須です
・治療計画通りに進めるためには、患者様の意志が重要になります
・矯正治療後の保定が不十分だと後戻り(元の位置に戻ろうとする動き)をします
・薬機法対象外の矯正歯科装置のため医薬品副作用被害救済制度の対象外となる場合があります
・自費診療(保険適用外)となります