気になる出っ歯、インビザラインで改善

治療概要

  • 患者様:20代男性
  • 治療期間:1年
  • 治療回数:10~30回
  • 矯正装置:インビザラインコンプリヘンシブパッケージ
  • 概算治療費:825,000円(税込)※費用は治療当時の料金となります
  • 担当医:Dr.岡田

来院主訴

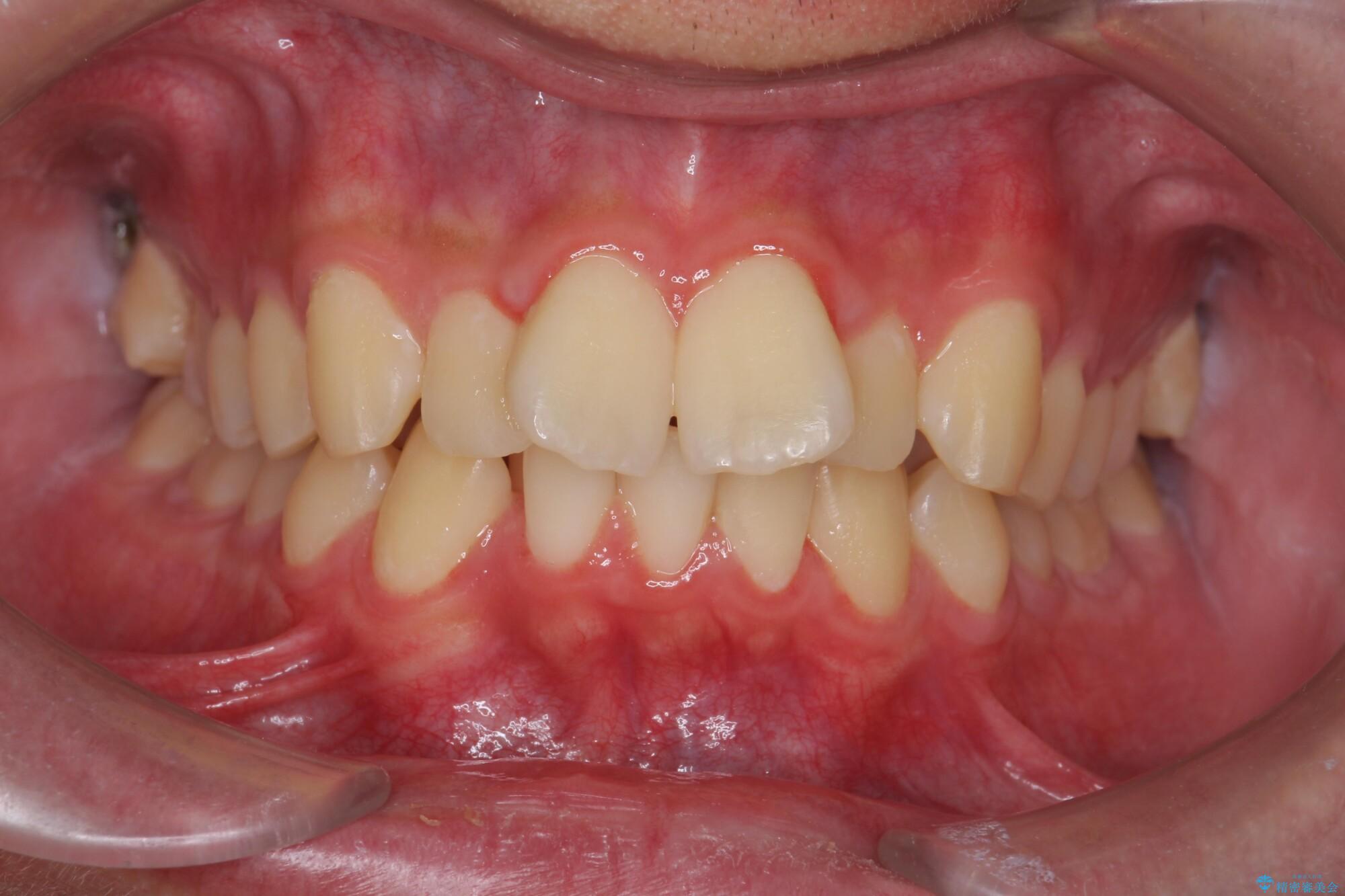
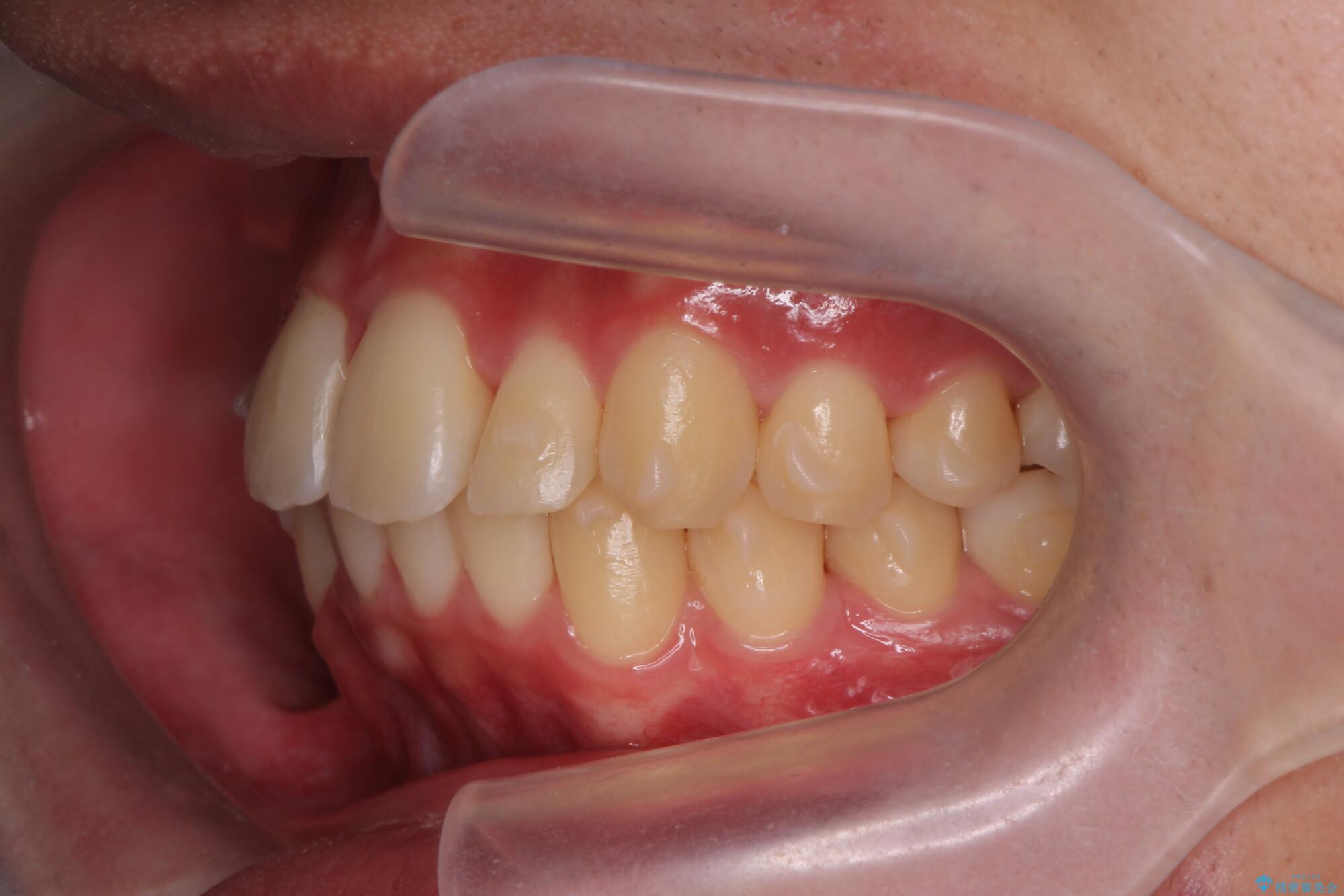
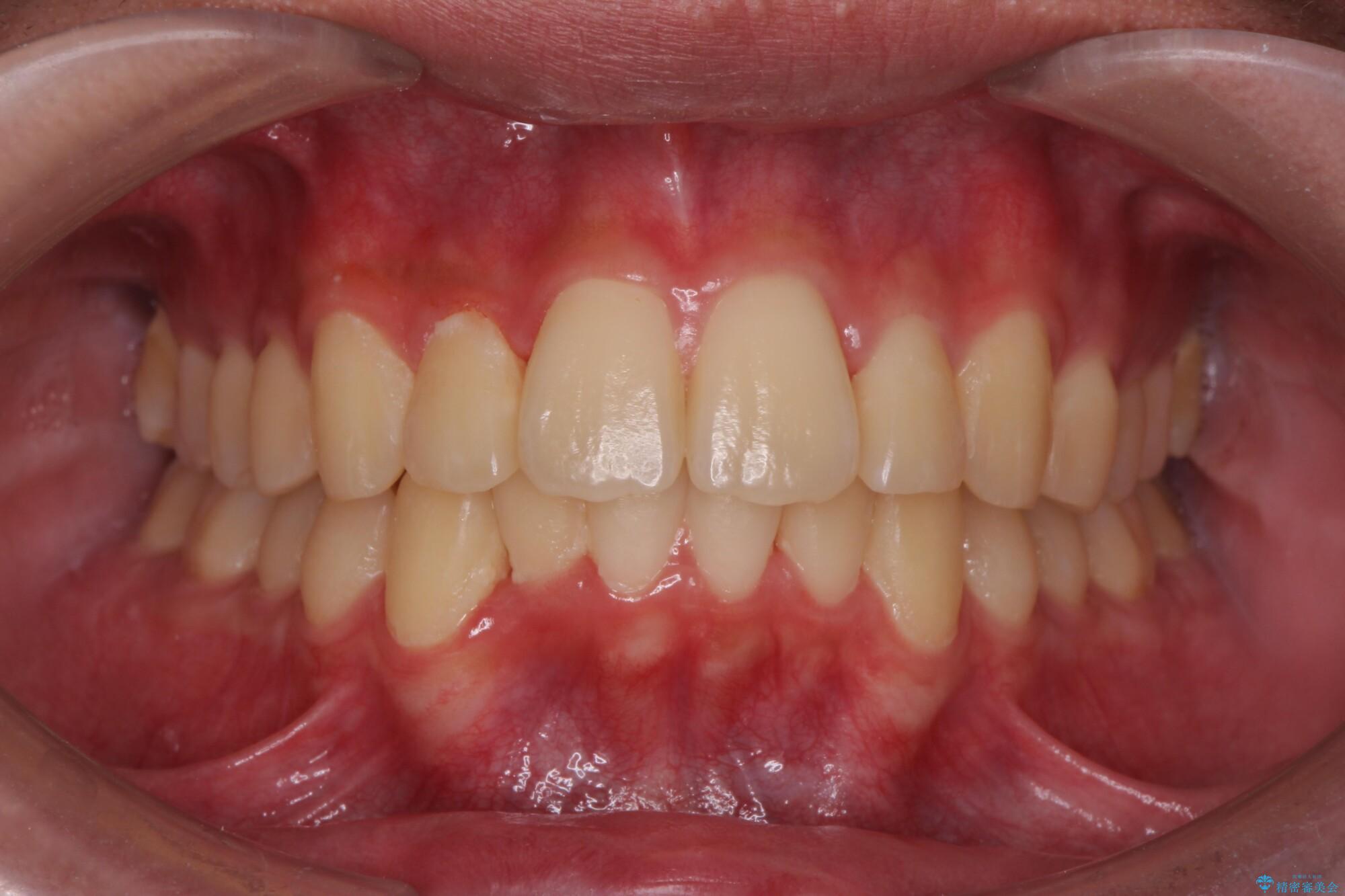
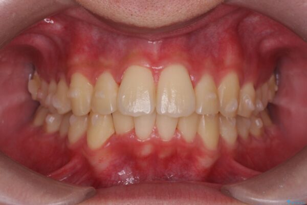
前歯の突出感、ガタつきを気にされご来院されました。

治療計画

抜歯矯正を検討してもよいくらいのガタつきでした。咬耗(歯のすり減り)が強く非抜歯のメリットが強いと考えたため、歯を抜かずに矯正を行うこととしました。

治療を終えて

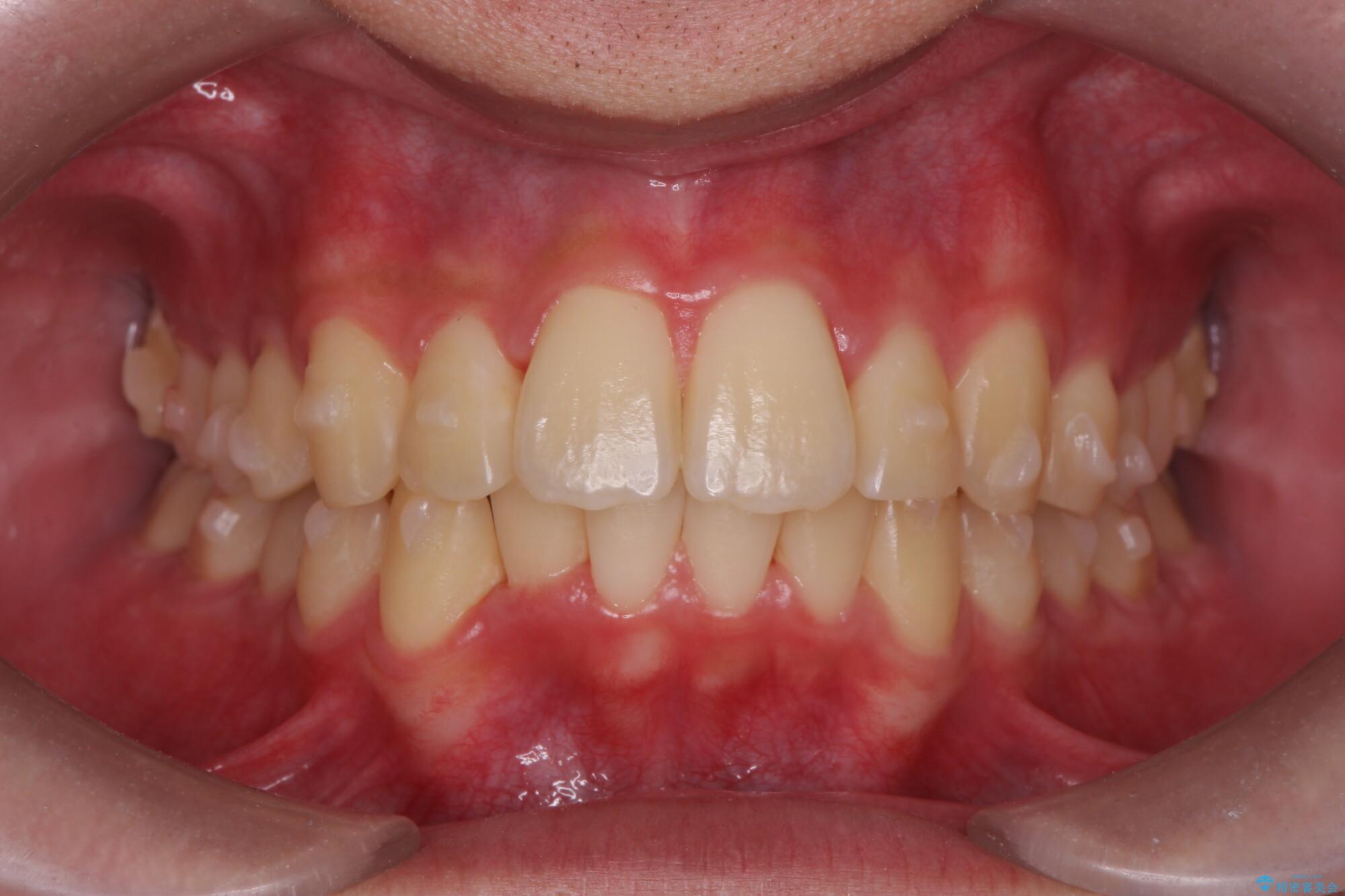
食いしばりが強い傾向がある場合、歯の本数を減らさないことが将来的な口腔内の健康維持に繋がることもあります。
今回は患者様の協力度も高く、約1年という治療期間で歯を抜かずマウスピース矯正にて終えることができました。

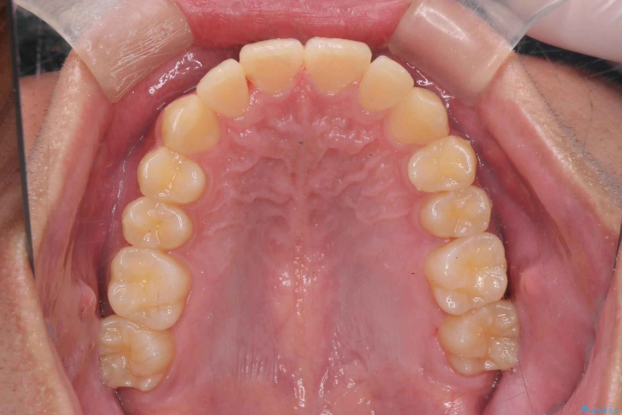
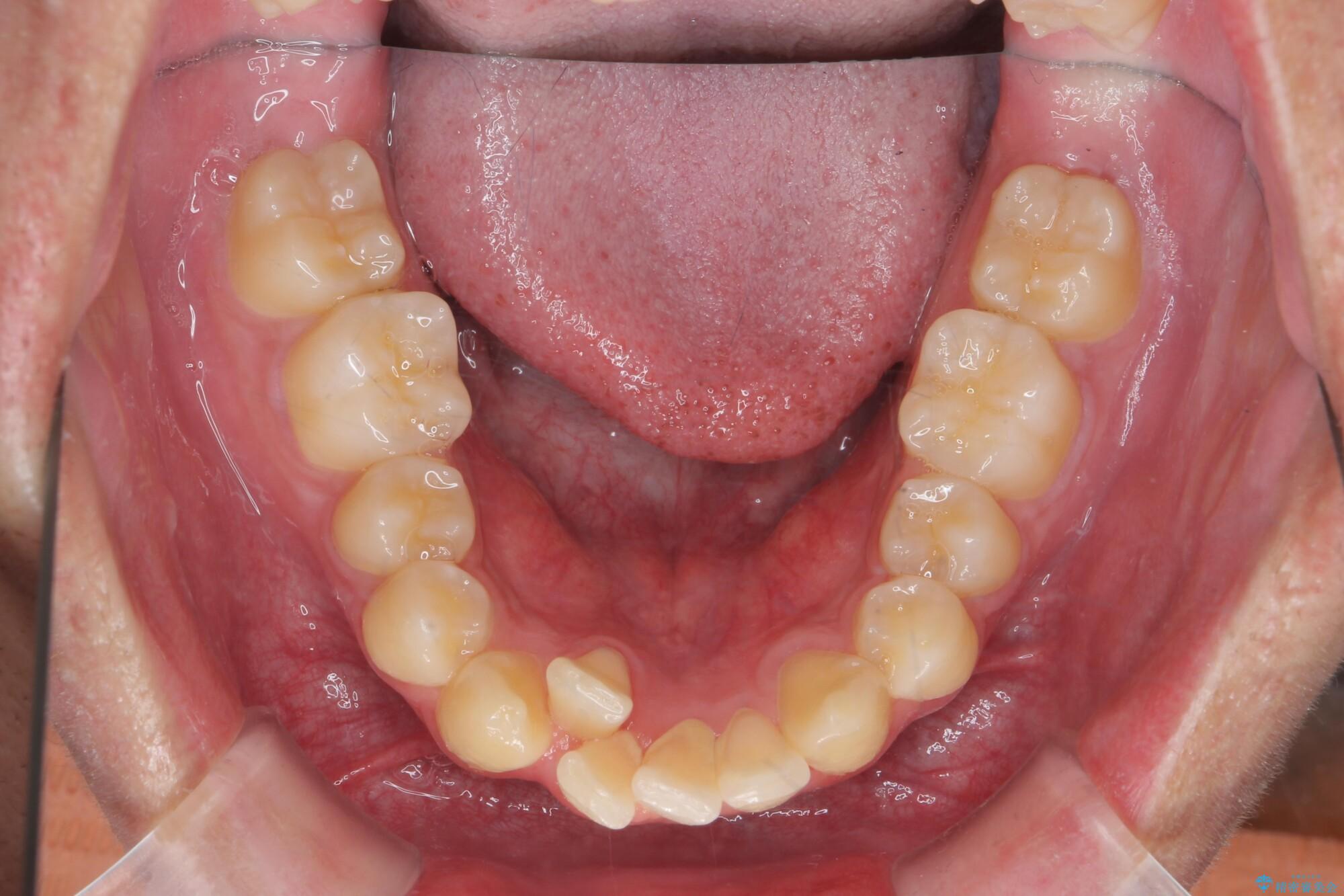
症例画像(クリックで拡大します)

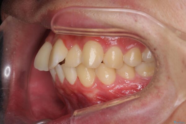
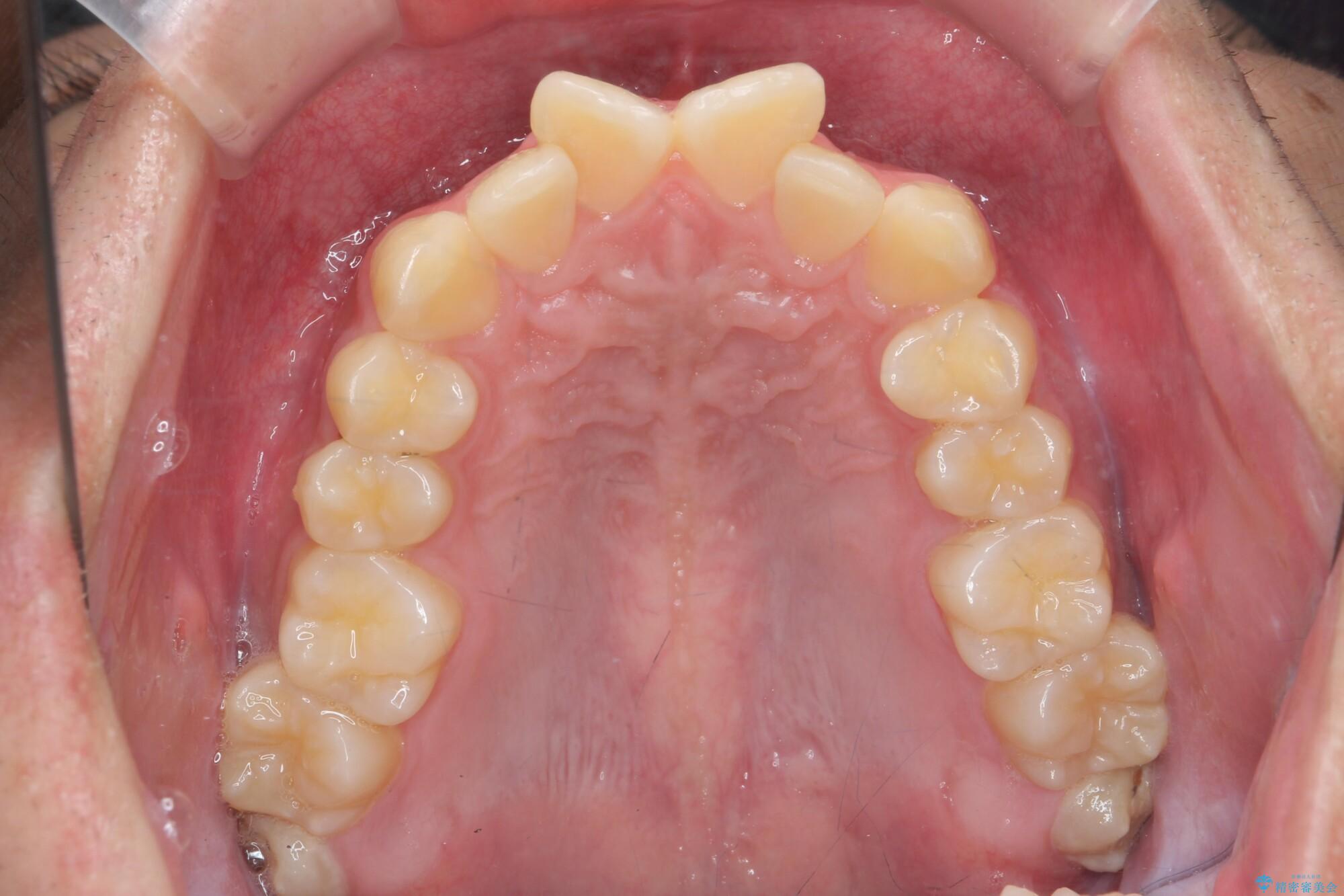
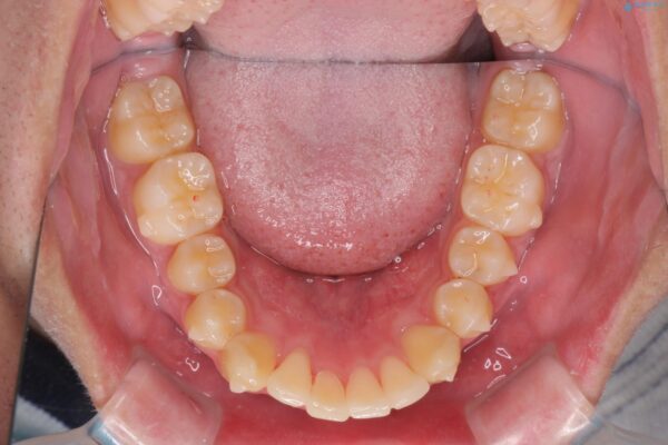
治療前
気になる出っ歯、インビザラインで改善 治療前画像 気になる出っ歯、インビザラインで改善 治療前画像 気になる出っ歯、インビザラインで改善 治療前画像 気になる出っ歯、インビザラインで改善 治療前画像
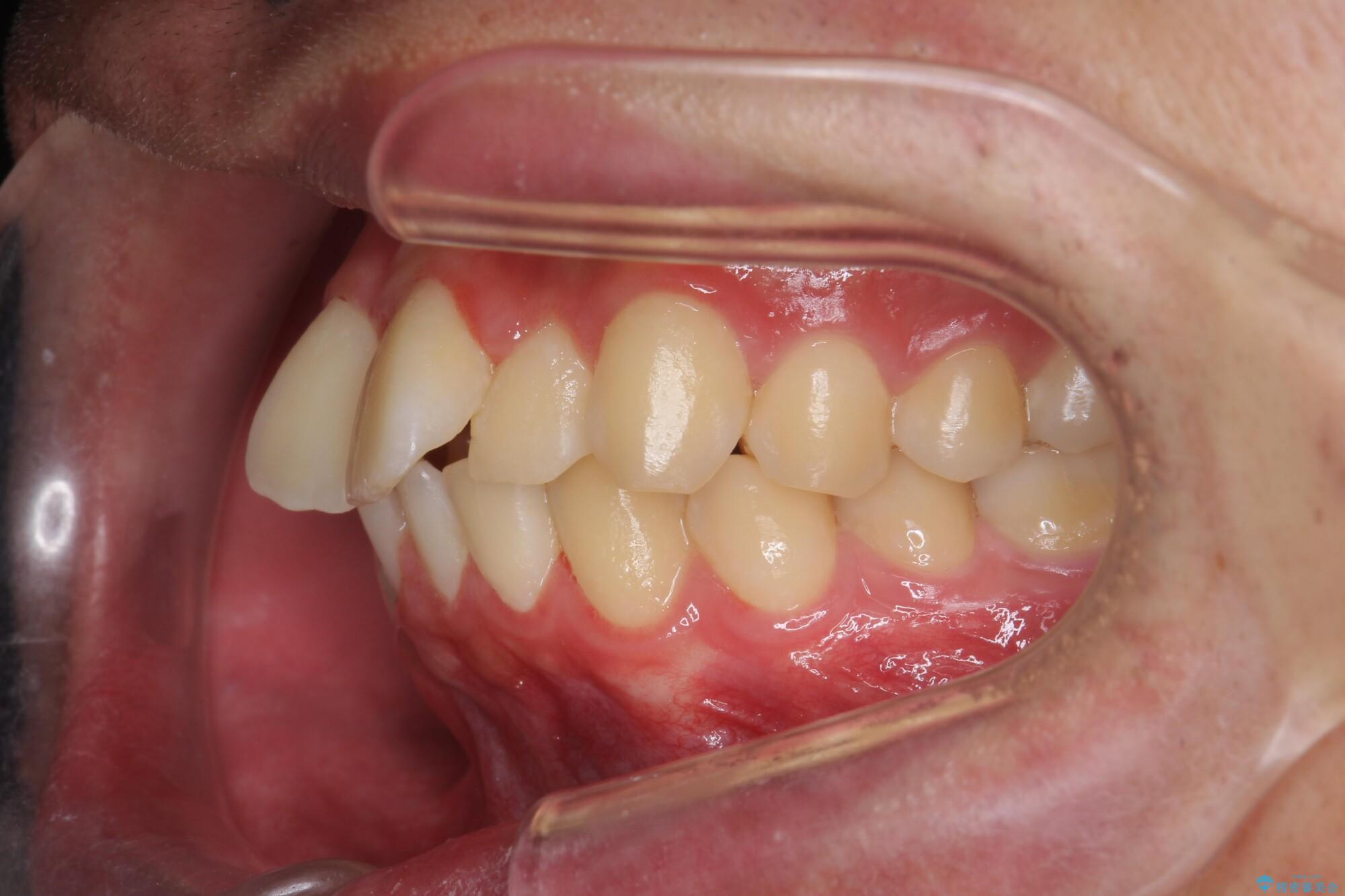
治療中
気になる出っ歯、インビザラインで改善 治療中画像 気になる出っ歯、インビザラインで改善 治療中画像 気になる出っ歯、インビザラインで改善 治療中画像 気になる出っ歯、インビザラインで改善 治療中画像
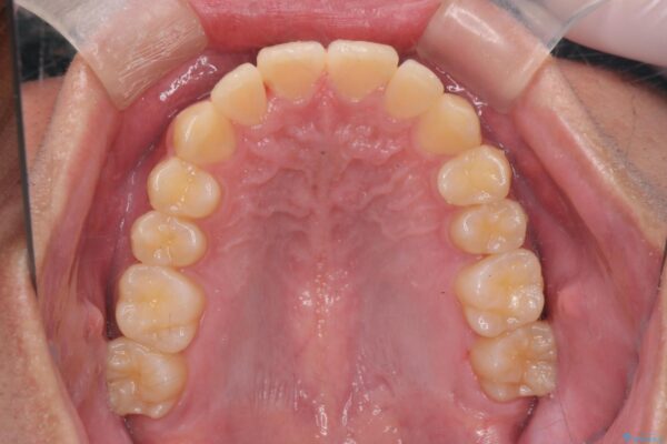
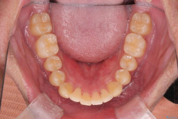
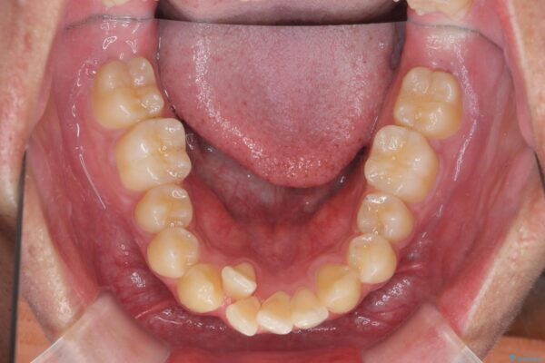
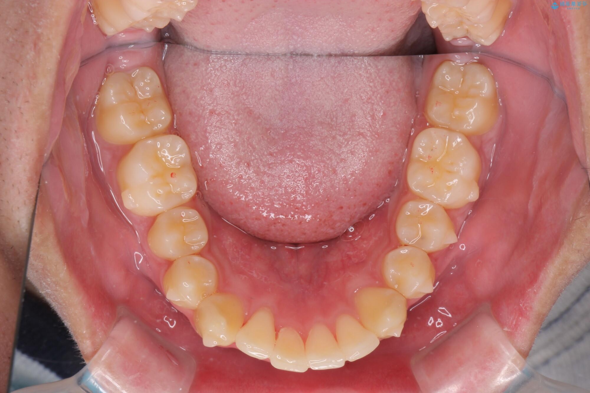
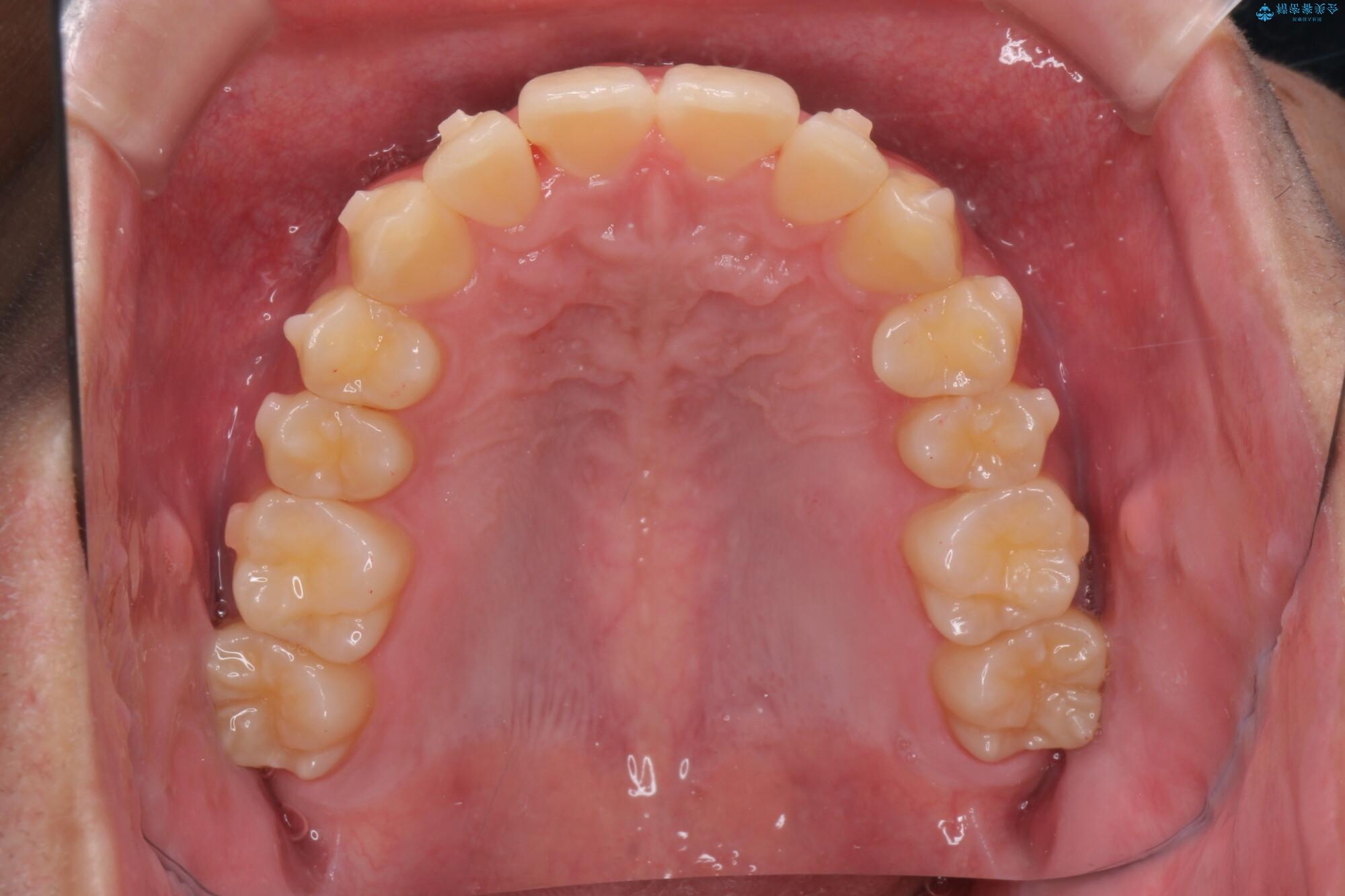
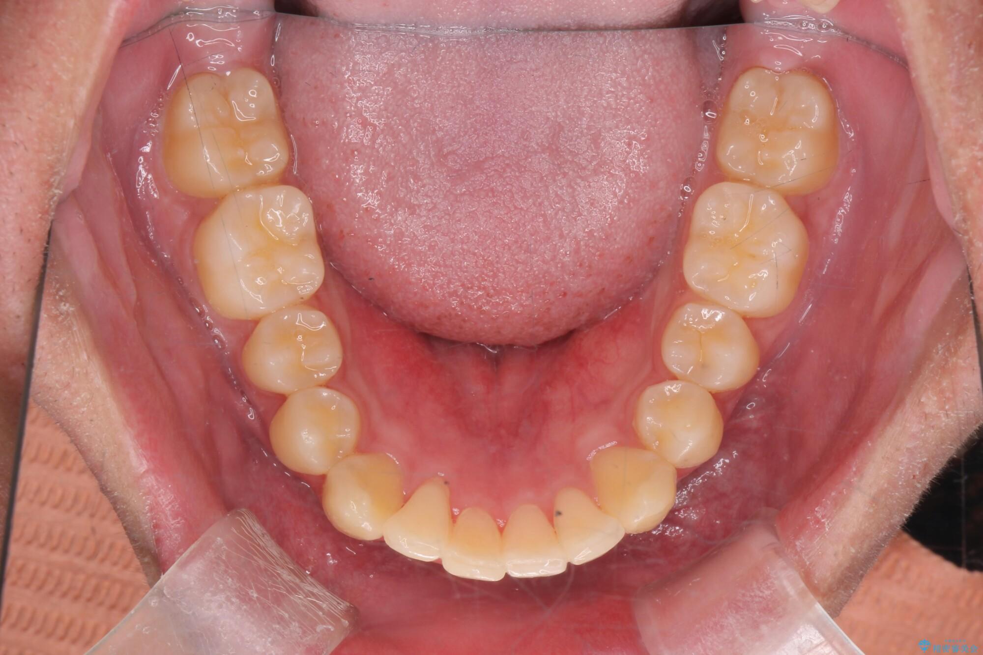
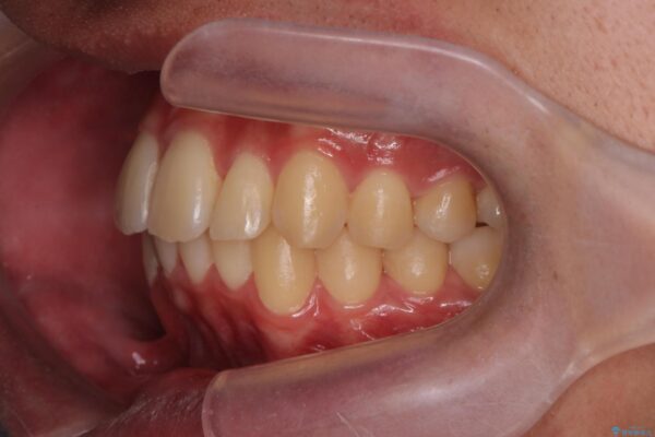
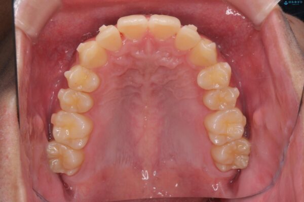
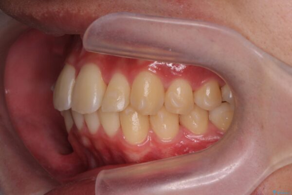
治療後
気になる出っ歯、インビザラインで改善 治療後画像 気になる出っ歯、インビザラインで改善 治療後画像 気になる出っ歯、インビザラインで改善 治療後画像 気になる出っ歯、インビザラインで改善 治療後画像

マウスピース矯正の注意事項(リスク・副作用など)

・口腔内・歯並びの状態によっては対応できない場合があります
・マウスピース型矯正装置の長時間装着(1日20時間以上)が必須です
・治療計画通りに進めるためには、患者様の意志が重要になります
・矯正治療後の保定が不十分だと後戻り(元の位置に戻ろうとする動き)をします
・薬機法対象外の矯正歯科装置のため医薬品副作用被害救済制度の対象外となる場合があります
・自費診療(保険適用外)となります