前歯のガタつきをマウスピース矯正で改善

治療概要

  • 患者様:30代男性
  • 治療期間:6ヶ月
  • 治療回数:5~10回
  • 矯正装置:インビザラインモデレート
  • 概算治療費:605,000円(税込)※費用は治療当時の料金となります
  • 担当医:Dr.岡田

来院主訴

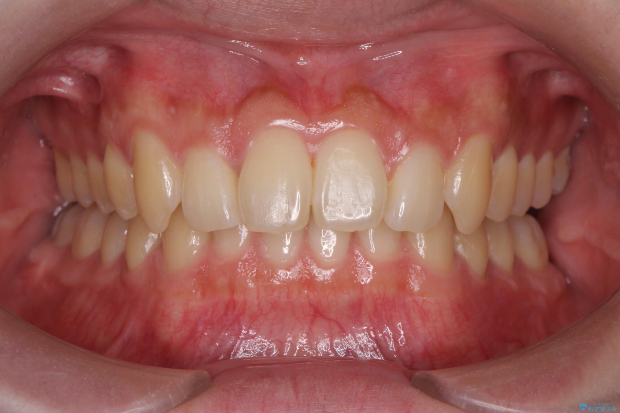
前歯のガタつきを改善したいとご相談にいらっしゃった患者様です。

治療計画

マウスピース矯正インビザラインにて約半年で治療を完了させる計画を立案しました。

治療を終えて

約半年という短期間で歯並びが改善され、大変喜んでいただけました。
口元の印象もガラリと変わりました。

症例画像(クリックで拡大します)

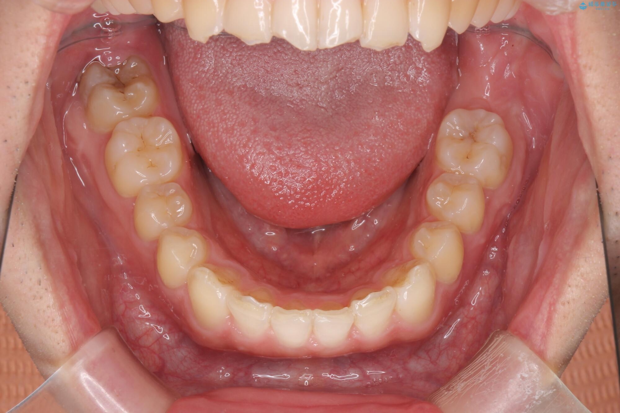
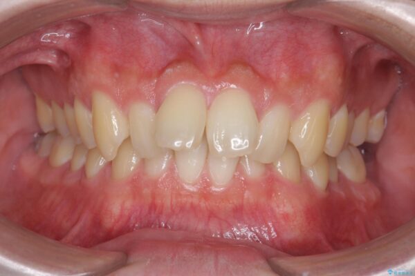
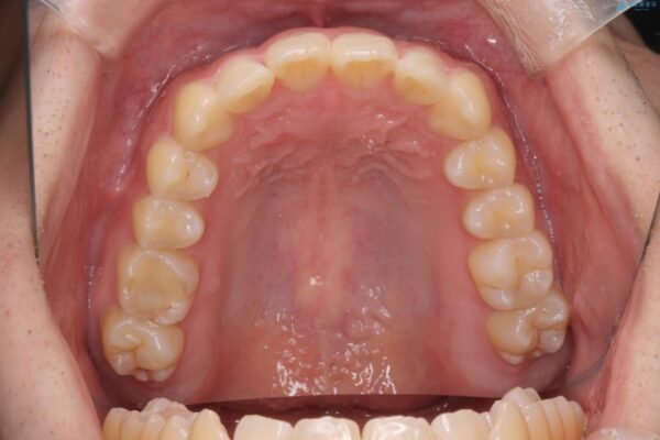
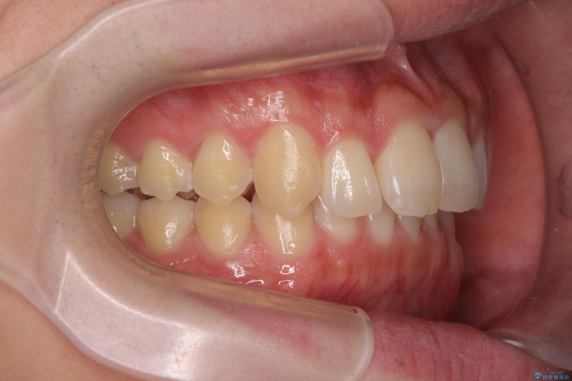
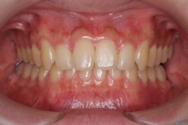
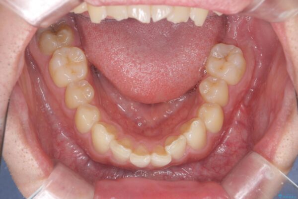
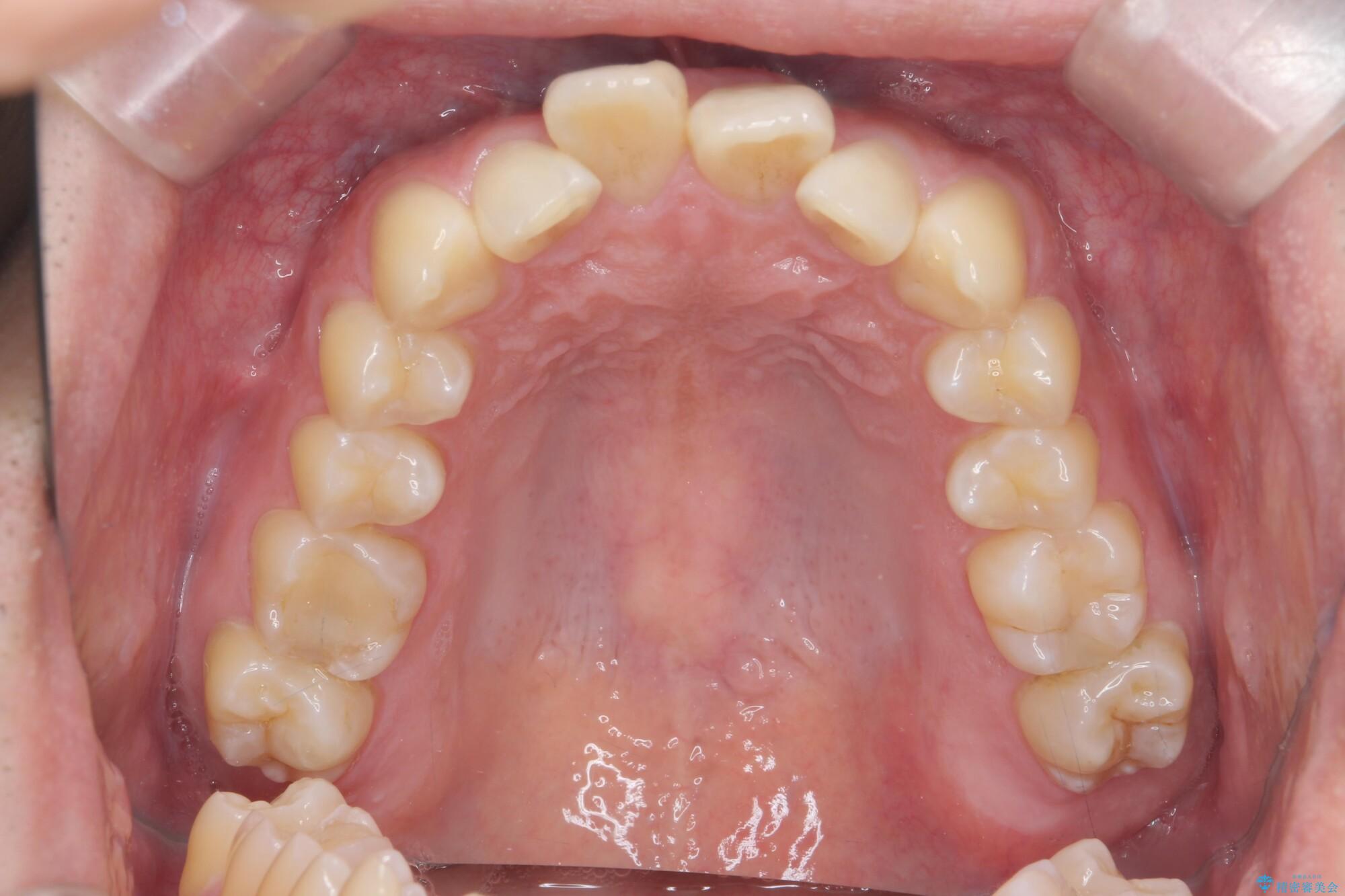
治療前
前歯のガタつきをマウスピース矯正で改善 治療前画像 前歯のガタつきをマウスピース矯正で改善 治療前画像 前歯のガタつきをマウスピース矯正で改善 治療前画像 前歯のガタつきをマウスピース矯正で改善 治療前画像
治療中
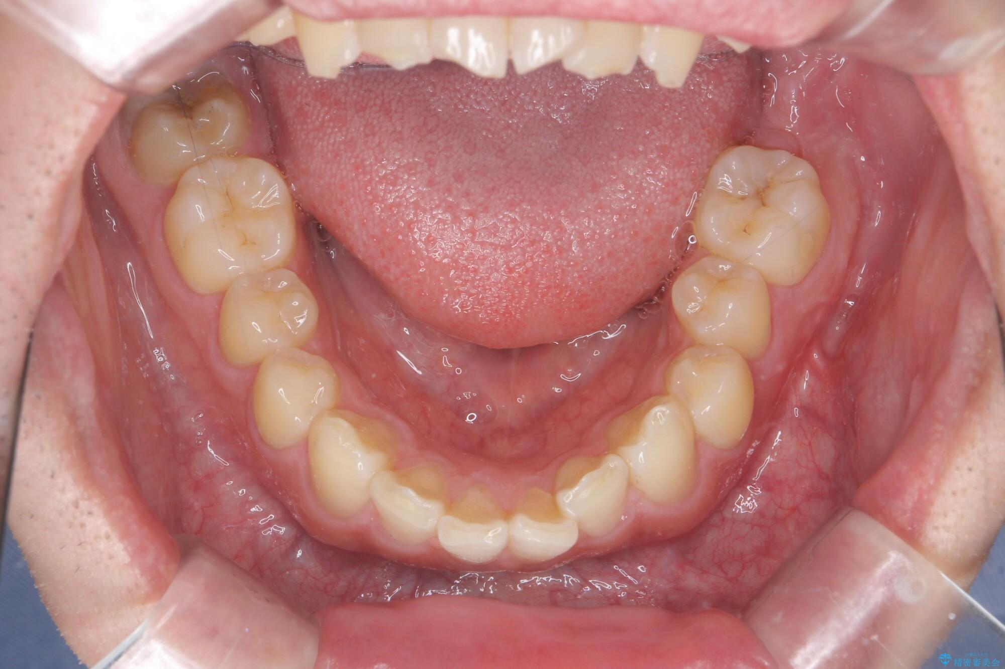
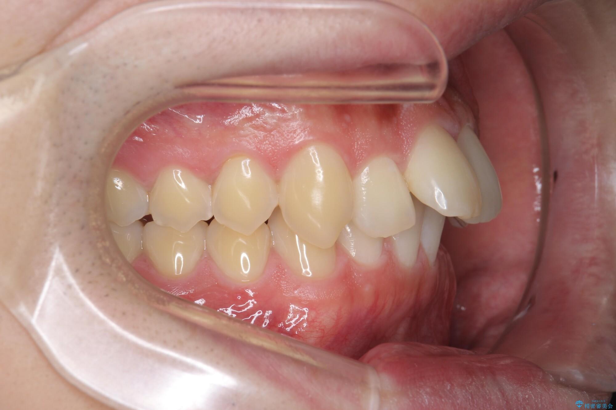
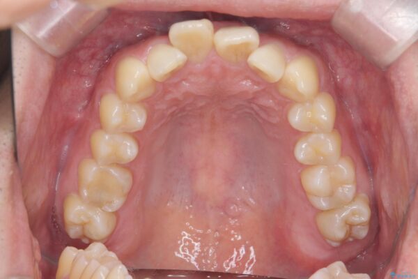
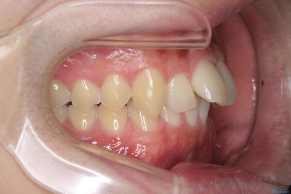
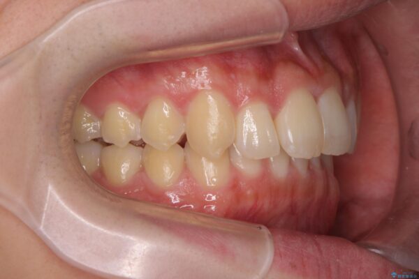
治療後
前歯のガタつきをマウスピース矯正で改善 治療後画像 前歯のガタつきをマウスピース矯正で改善 治療後画像 前歯のガタつきをマウスピース矯正で改善 治療後画像 前歯のガタつきをマウスピース矯正で改善 治療後画像

マウスピース矯正の注意事項(リスク・副作用など)

・口腔内・歯並びの状態によっては対応できない場合があります
・マウスピース型矯正装置の長時間装着(1日20時間以上)が必須です
・治療計画通りに進めるためには、患者様の意志が重要になります
・矯正治療後の保定が不十分だと後戻り(元の位置に戻ろうとする動き)をします
・薬機法対象外の矯正歯科装置のため医薬品副作用被害救済制度の対象外となる場合があります
・自費診療(保険適用外)となります