前歯のガタつきと矮小歯をインビザラインとセラミック治療で改善

治療概要

  • 患者様:20代女性
  • 治療期間:9ヶ月
  • 治療回数:5~10回
  • 矯正装置:インビザライン
  • 概算治療費:913,000円(税込)  内訳:インビザライン/605,000円 右上2左上2:仮歯/11,000円×2 矯正用仮歯/22,000円×2 ジルコニアクラウン(スタンダード)/121,000円×2※費用は治療当時の料金となります
  • 担当医:Dr.岡田

来院主訴

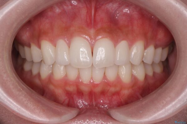
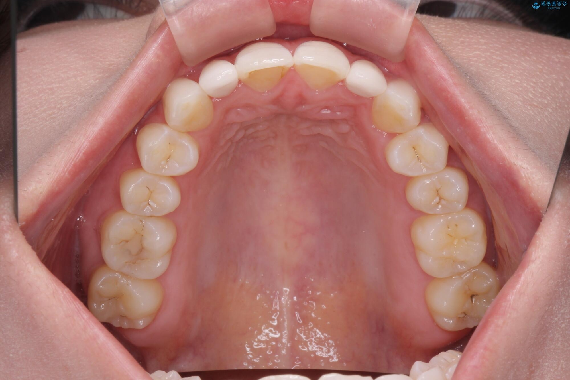
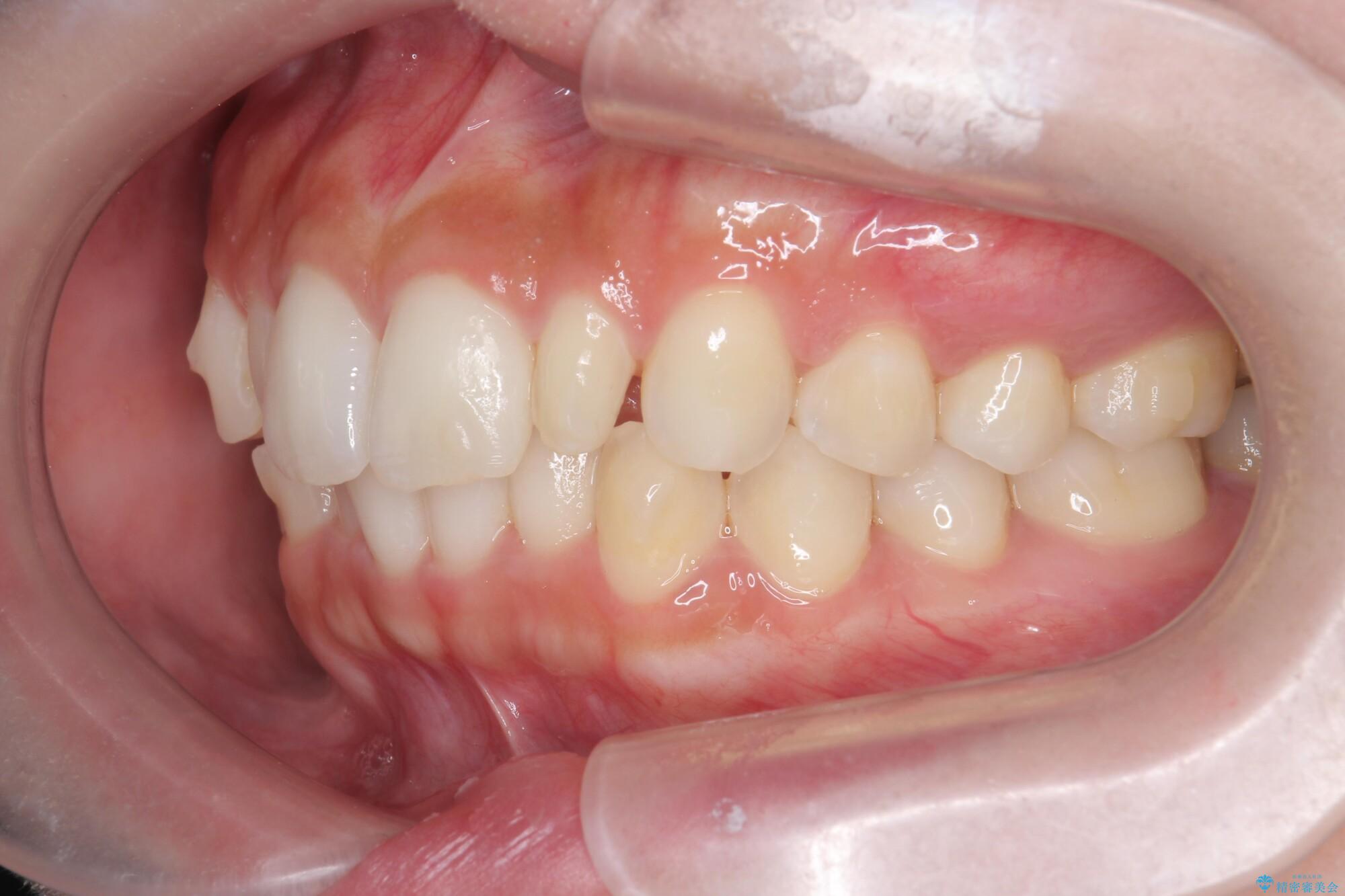
上の前歯が小さいこととガタつきが気になるとご相談にいらっしゃった患者様です。

治療計画

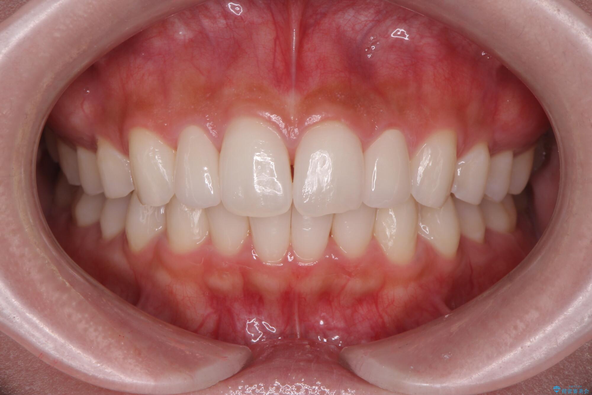
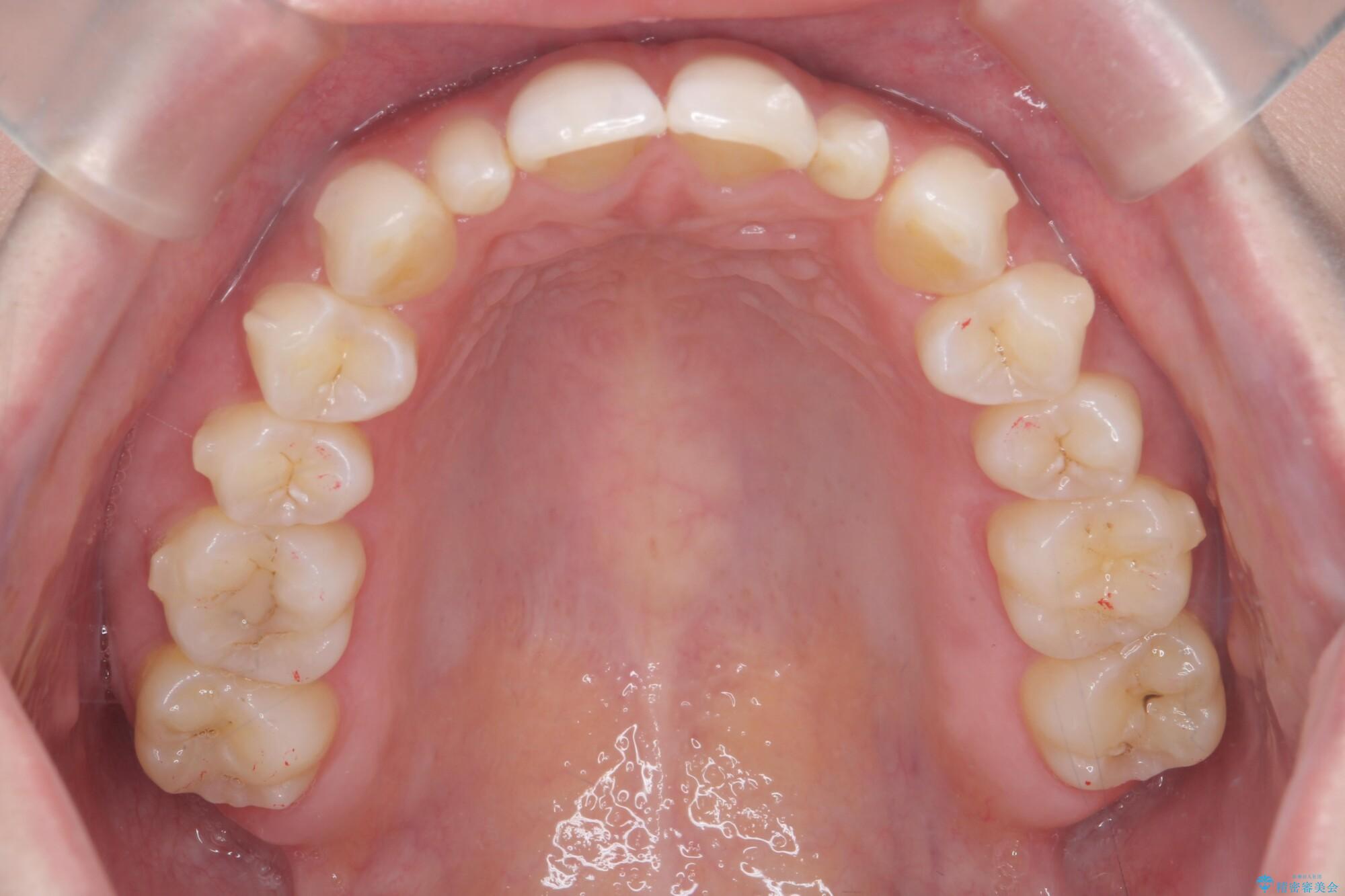
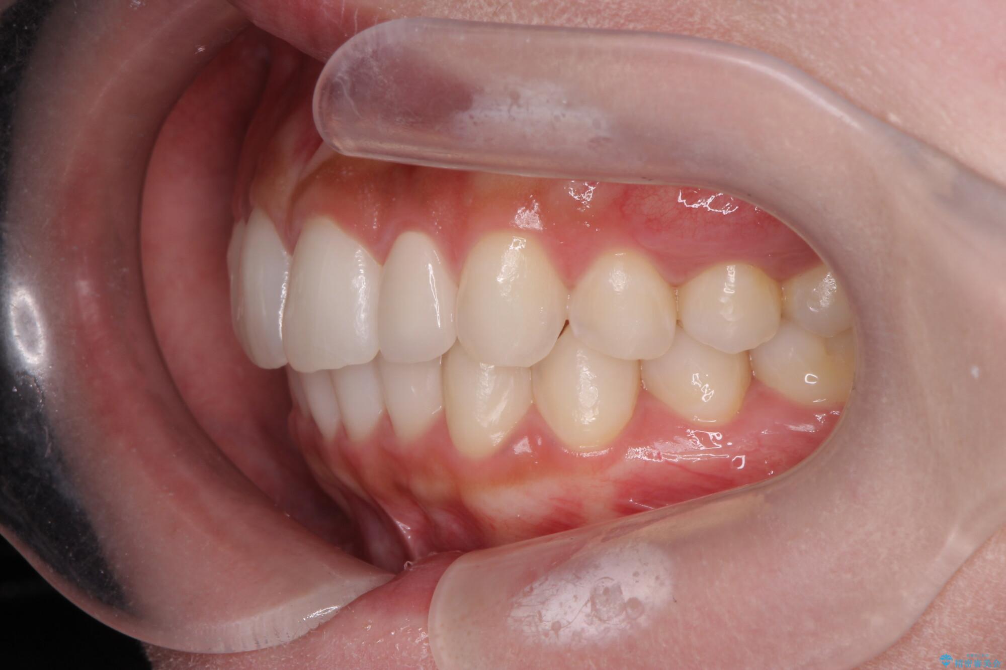
インビザラインでガタつきを改善し、矯正治療完了後に矮小歯にセラミッククラウンを装着することで審美性を改善していく治療計画です。

治療を終えて

歯の移動量が少ない場合、マウスピース矯正で十分仕上げることができます。
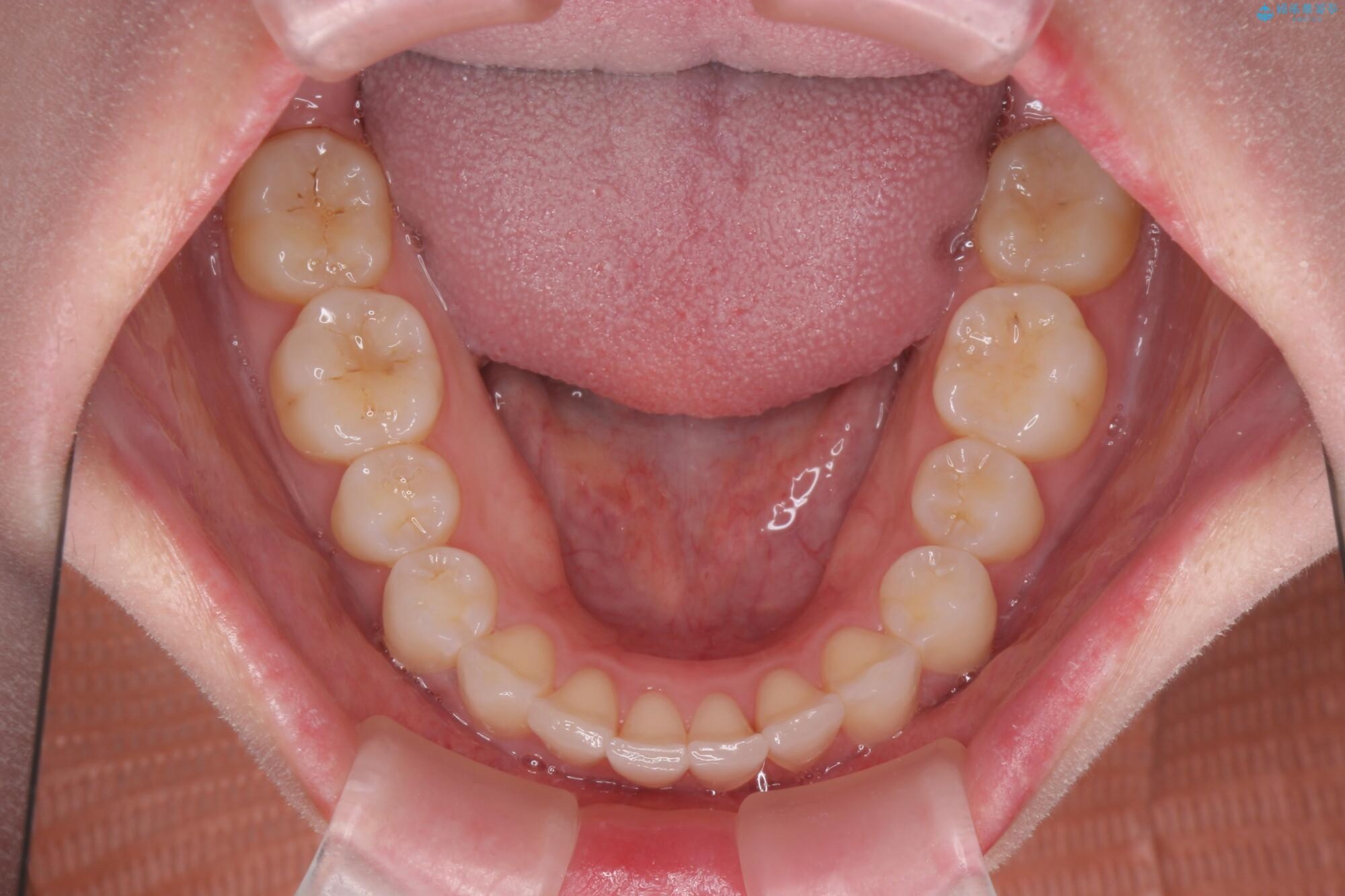
歯の大きさも揃い、自然な仕上がりとなり大変ご満足いただけました。

症例画像(クリックで拡大します)

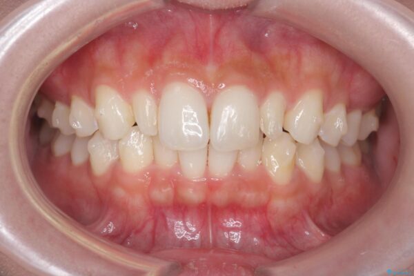
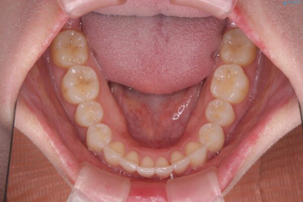
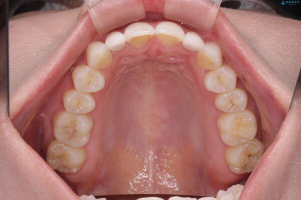
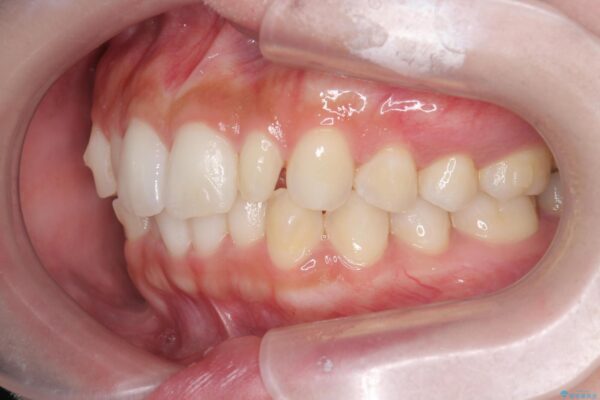
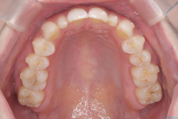
治療前
前歯のガタつきと矮小歯をインビザラインとセラミック治療で改善 治療前画像 前歯のガタつきと矮小歯をインビザラインとセラミック治療で改善 治療前画像 前歯のガタつきと矮小歯をインビザラインとセラミック治療で改善 治療前画像 前歯のガタつきと矮小歯をインビザラインとセラミック治療で改善 治療前画像
治療中
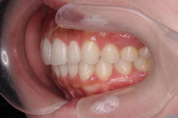
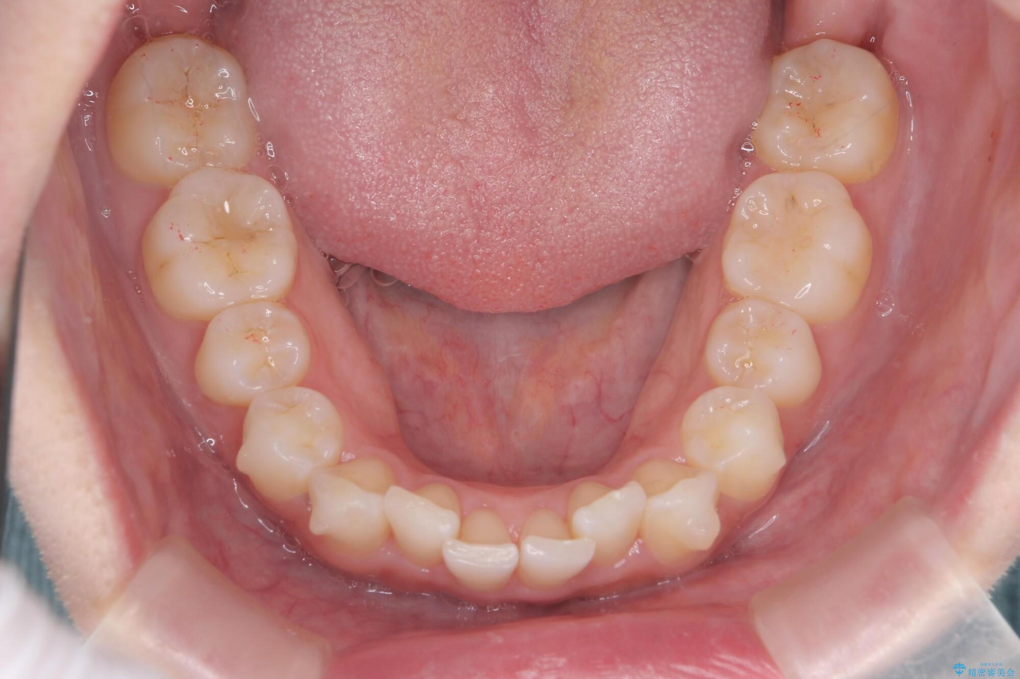
治療後
前歯のガタつきと矮小歯をインビザラインとセラミック治療で改善 治療後画像 前歯のガタつきと矮小歯をインビザラインとセラミック治療で改善 治療後画像 前歯のガタつきと矮小歯をインビザラインとセラミック治療で改善 治療後画像 前歯のガタつきと矮小歯をインビザラインとセラミック治療で改善 治療後画像

マウスピース矯正の注意事項(リスク・副作用など)

・口腔内・歯並びの状態によっては対応できない場合があります
・マウスピース型矯正装置の長時間装着(1日20時間以上)が必須です
・治療計画通りに進めるためには、患者様の意志が重要になります
・矯正治療後の保定が不十分だと後戻り(元の位置に戻ろうとする動き)をします
・薬機法対象外の矯正歯科装置のため医薬品副作用被害救済制度の対象外となる場合があります
・自費診療(保険適用外)となります

セラミック治療の注意事項(リスク・副作用など)

・天然歯を削ります
・硬い素材は天然歯を傷つけてしまう場合があります
・かみ合わせや歯ぎしりが強すぎる方はセラミックが割れてしまう可能性があります
・自費診療(保険適用外治療)となります