前歯のガタつきを短期間矯正

治療概要

  • 患者様:30代男性
  • 治療期間:4ヶ月
  • 治療回数:2~5回
  • 矯正装置:インビザラインモデレート
  • 概算治療費:605,000円(税込)※費用は治療当時の料金となります
  • 担当医:Dr.岡田

来院主訴

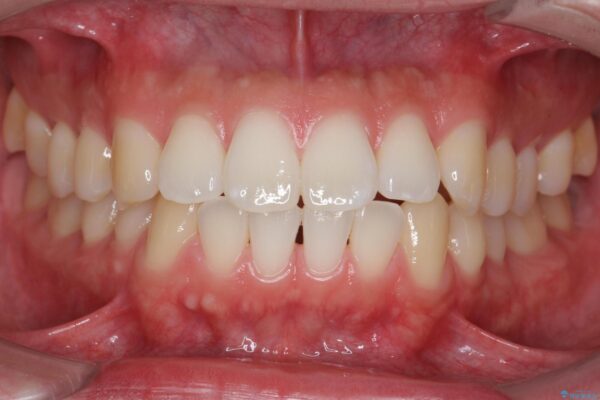
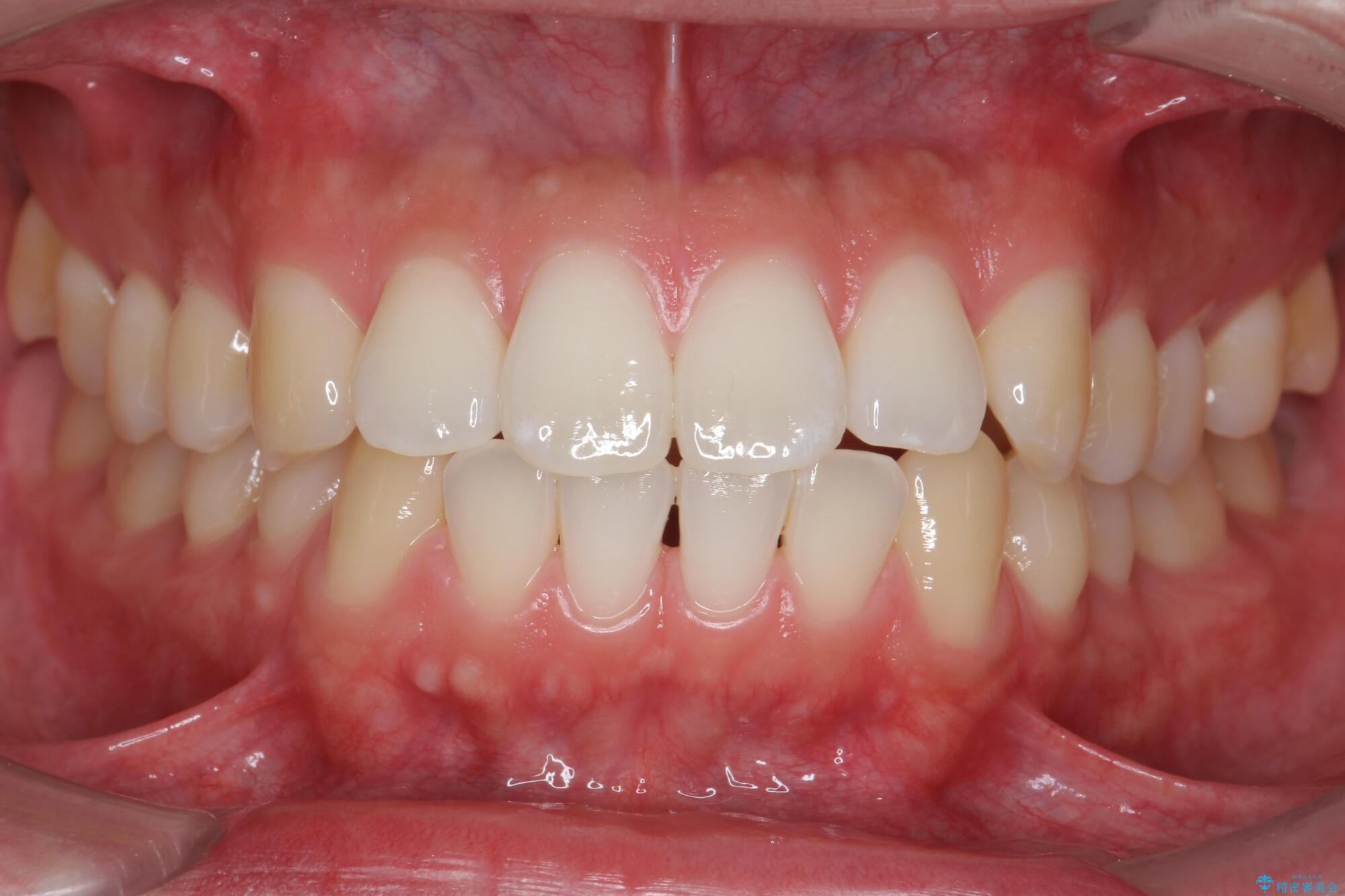
歯のガタつきが気になるとご来院された患者様です。

治療計画

検査の結果、奥歯のズレ等、大きな移動を必要としないケースと判断しました。
マウスピース矯正インビザラインにて約4ヶ月で治療をしていくこととしました。

治療を終えて

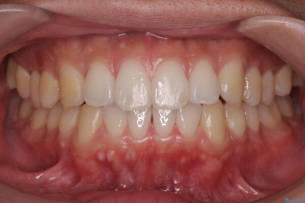
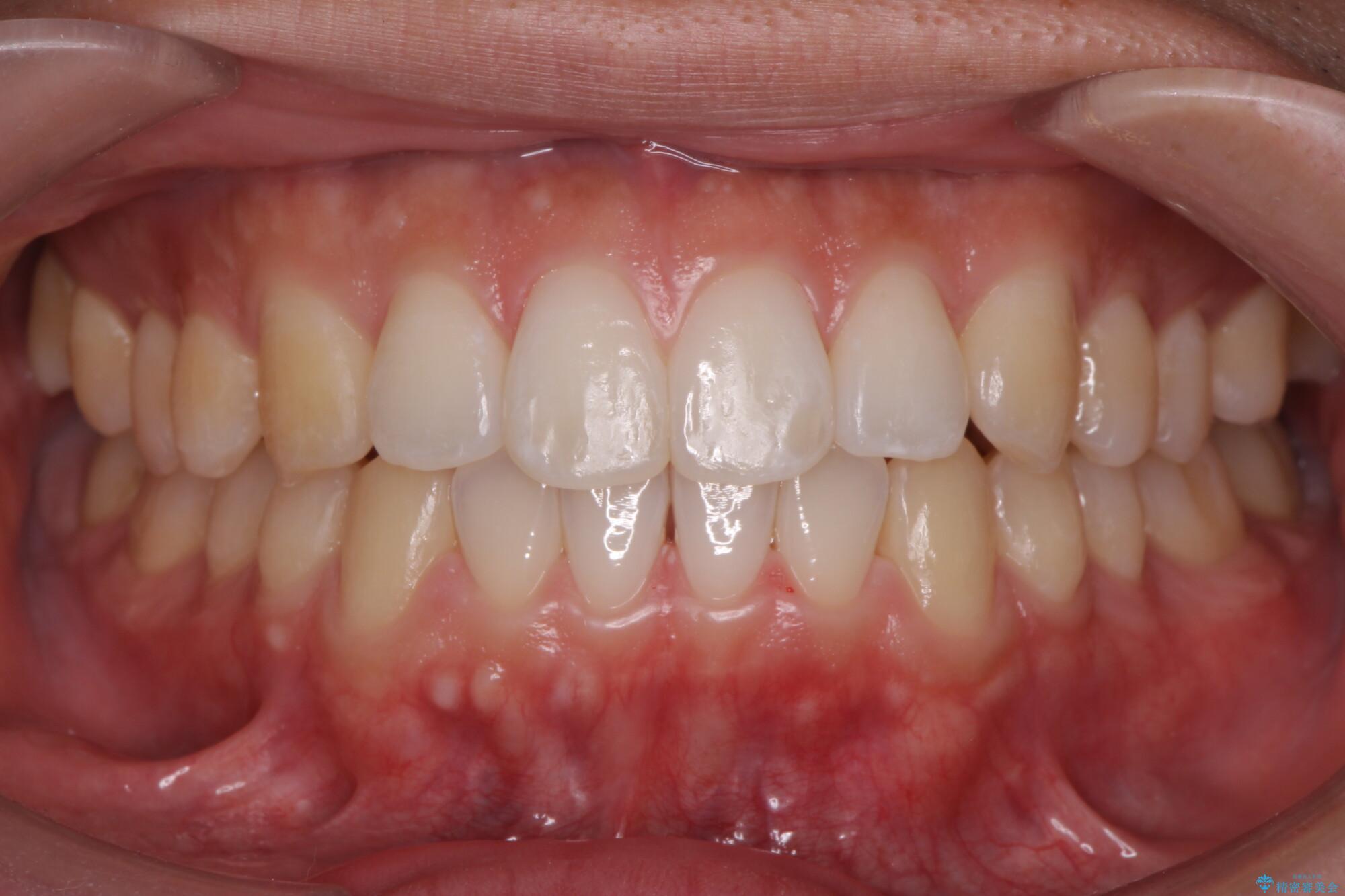
気になっていた歯のガタつきや、下の前歯の目立っていた隙間も改善することができました。
短期間で仕上がり、大変ご満足いただけました。

症例画像(クリックで拡大します)

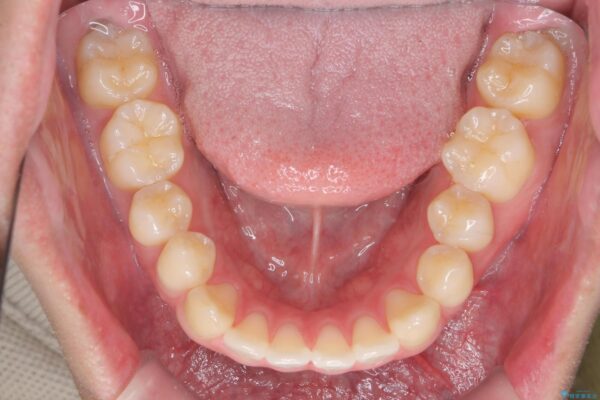
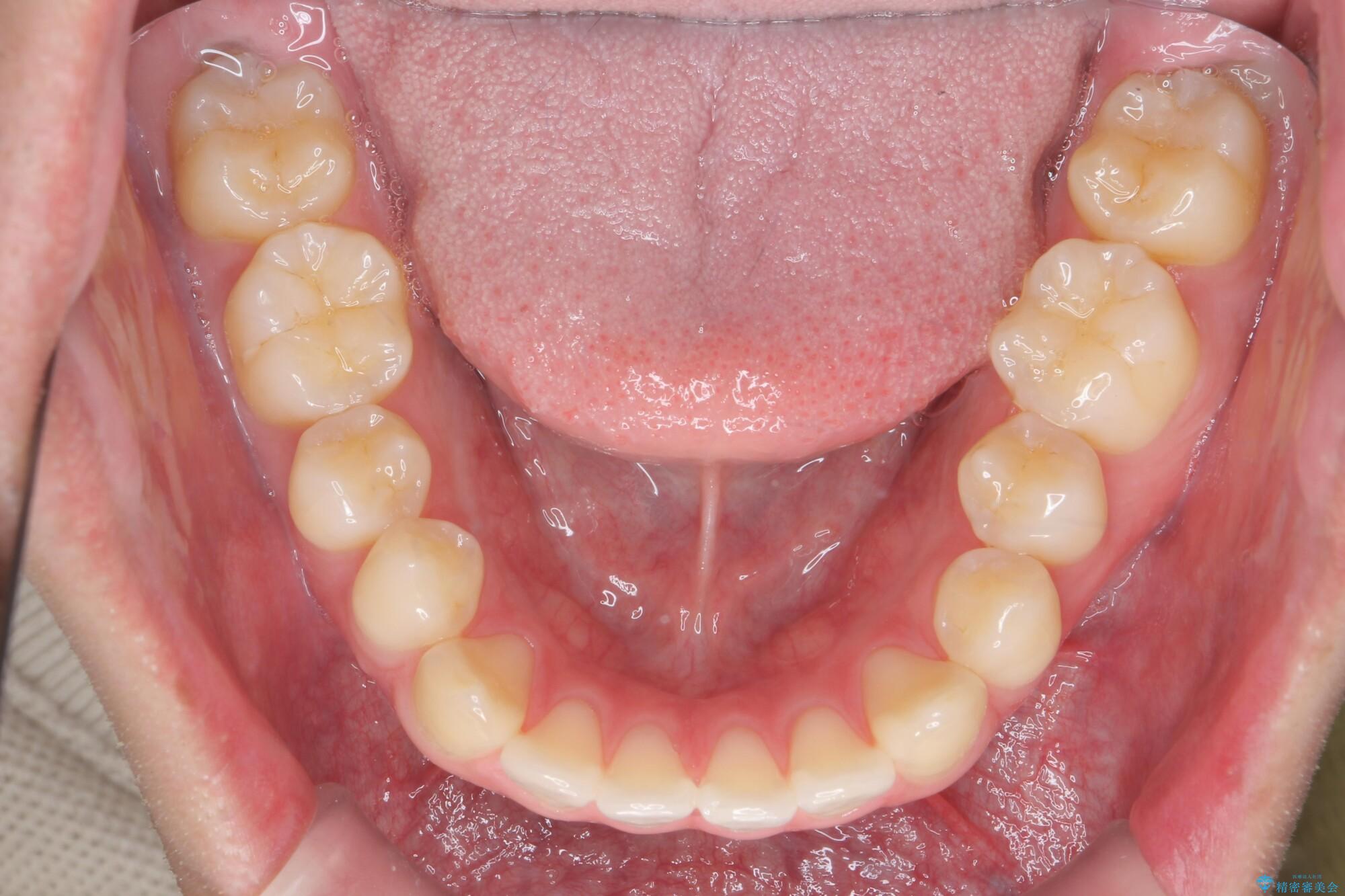
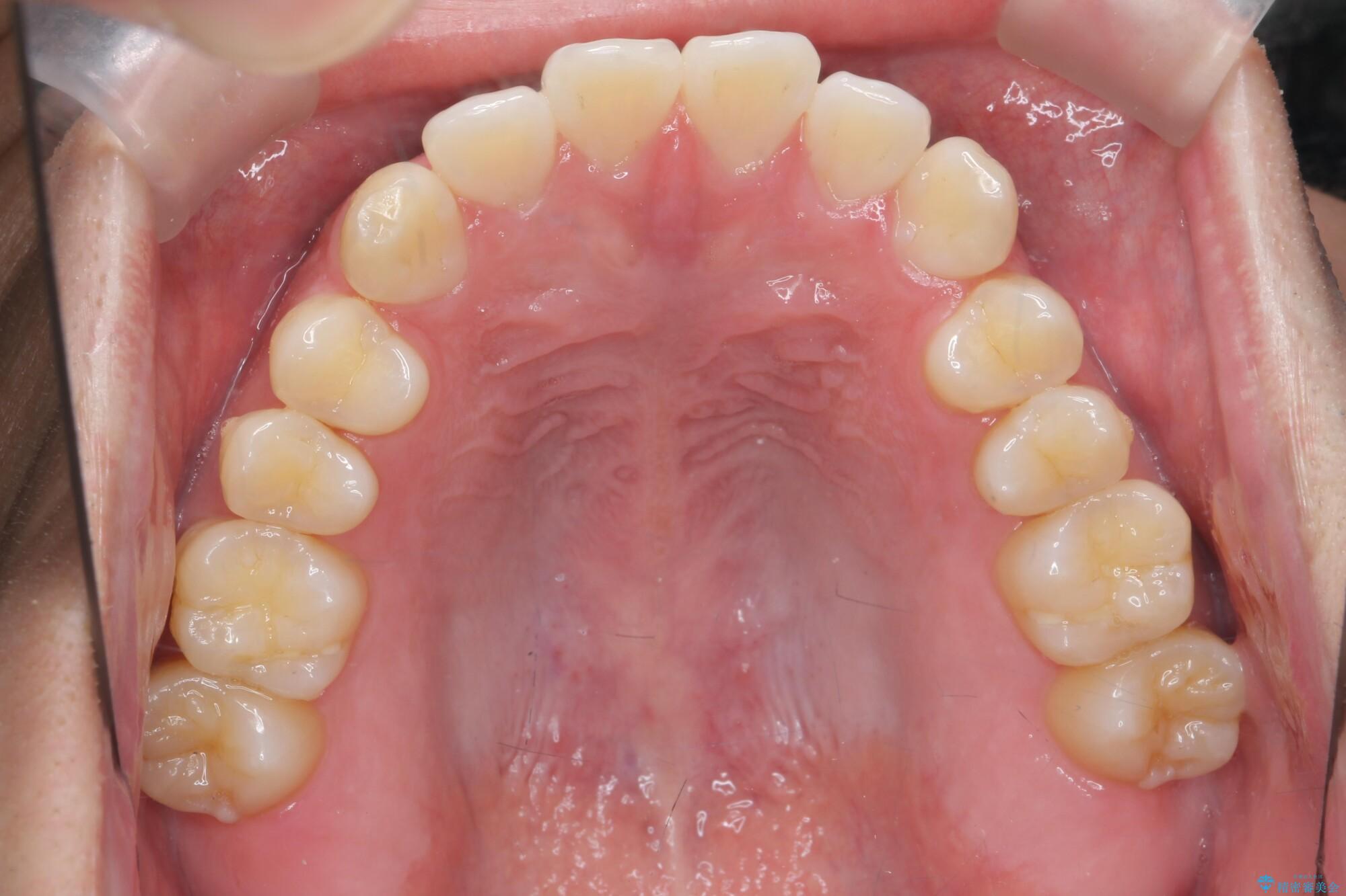
治療前
前歯のガタつきを短期間矯正 治療前画像 前歯のガタつきを短期間矯正 治療前画像 前歯のガタつきを短期間矯正 治療前画像
治療中
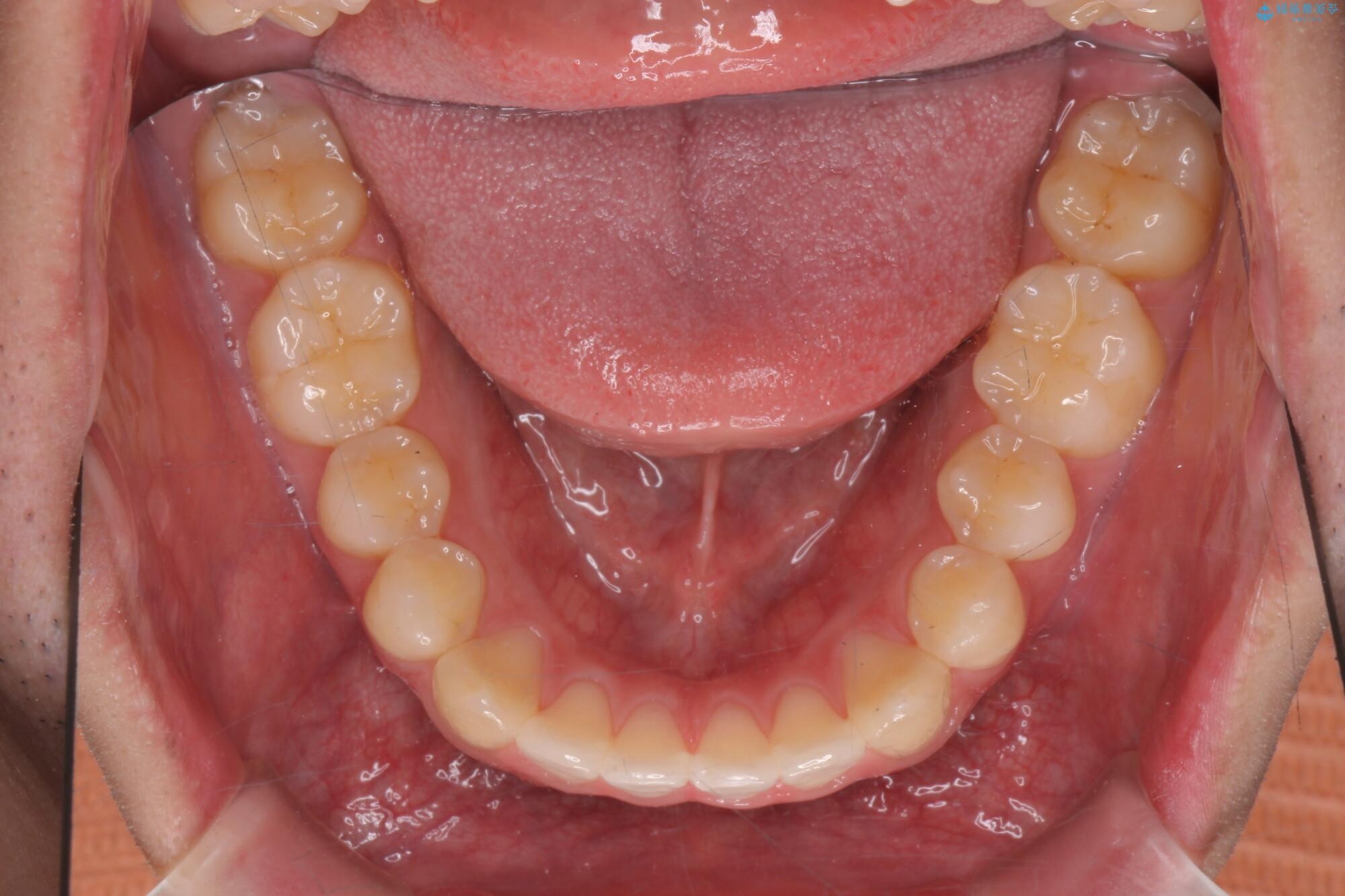
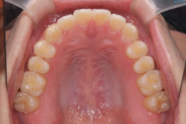
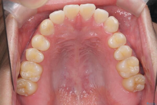
治療後
前歯のガタつきを短期間矯正 治療後画像 前歯のガタつきを短期間矯正 治療後画像 前歯のガタつきを短期間矯正 治療後画像

マウスピース矯正の注意事項(リスク・副作用など)

・口腔内・歯並びの状態によっては対応できない場合があります
・マウスピース型矯正装置の長時間装着(1日20時間以上)が必須です
・治療計画通りに進めるためには、患者様の意志が重要になります
・矯正治療後の保定が不十分だと後戻り(元の位置に戻ろうとする動き)をします
・薬機法対象外の矯正歯科装置のため医薬品副作用被害救済制度の対象外となる場合があります
・自費診療(保険適用外)となります