保険のかぶせ物の色が気になる

治療概要

  • 患者様:30代男性
  • 治療期間:1ヶ月
  • 治療回数:2~5回
  • 概算治療費:右上1: 仮歯/11,000円、ジルコニアクラウン(スタンダード)/121,000円 合計132,000円(税込)※費用は治療当時の料金となります
  • 担当医:Dr.岡田

来院主訴

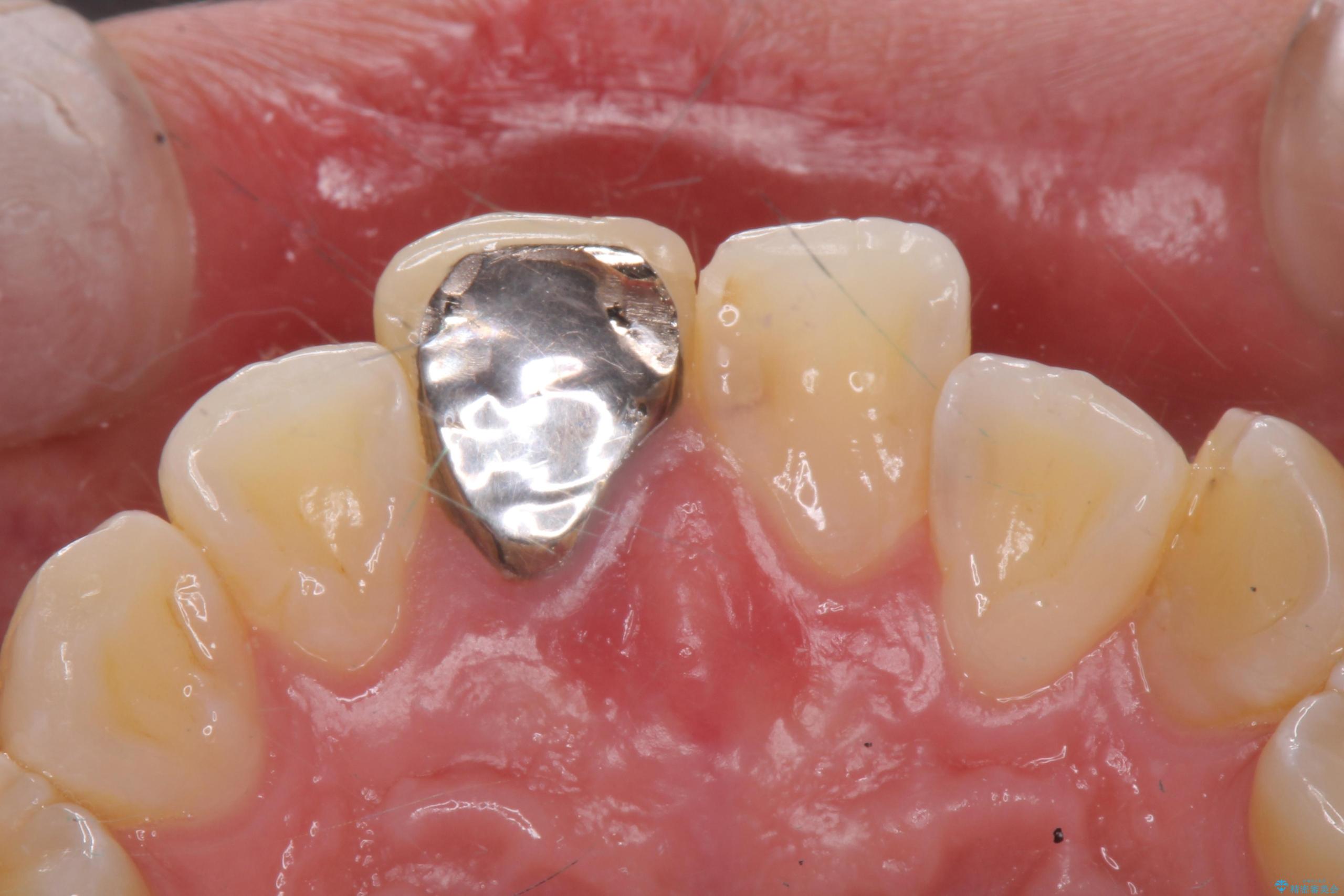
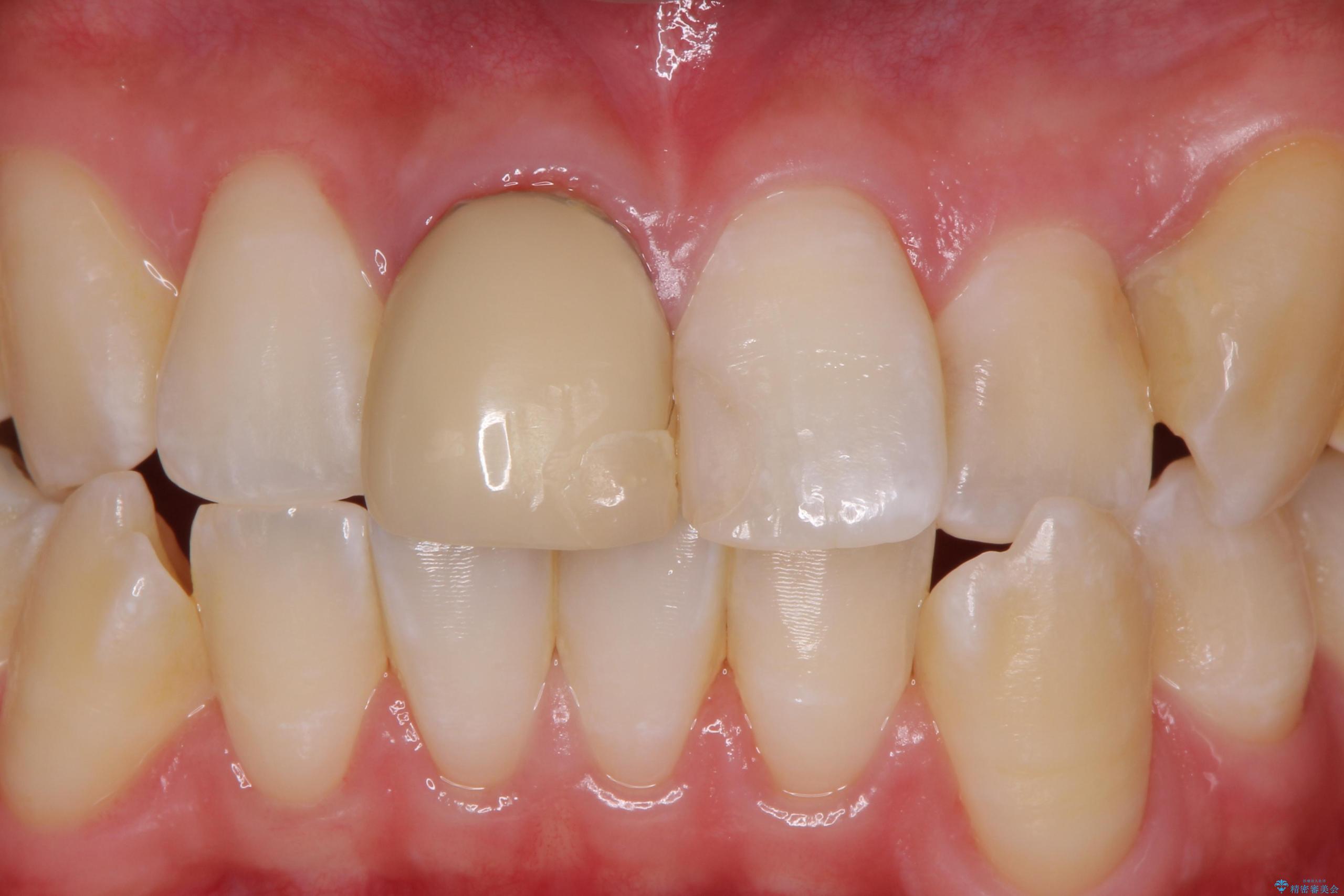
前歯のかぶせ物の色が気になるとご来院された患者様です。

治療計画

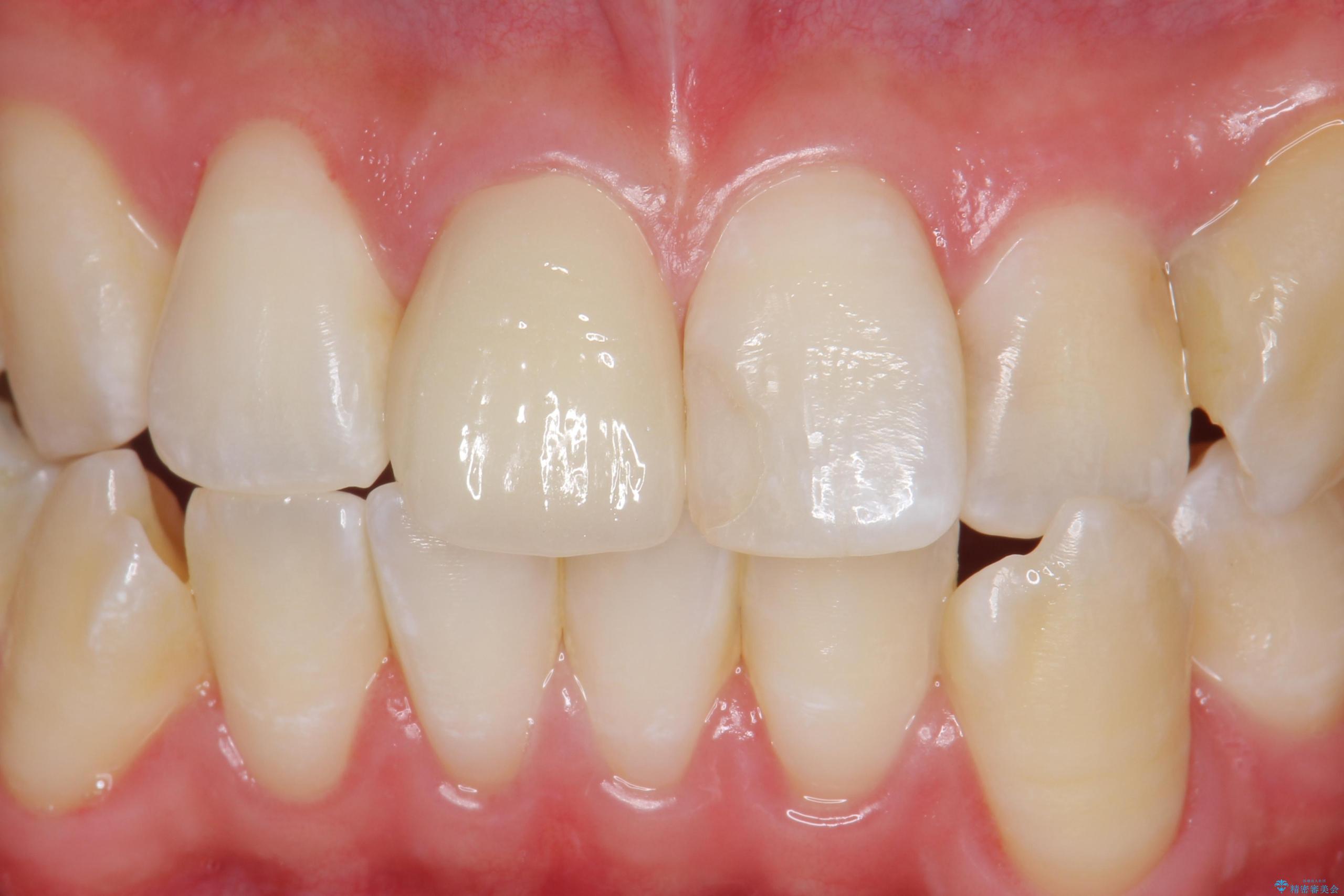
自然な色味になるよう、セラミッククラウンで作り替えていきます。

治療を終えて

周囲の歯と変わらない自然な仕上がりで、大変喜んでいただけました。

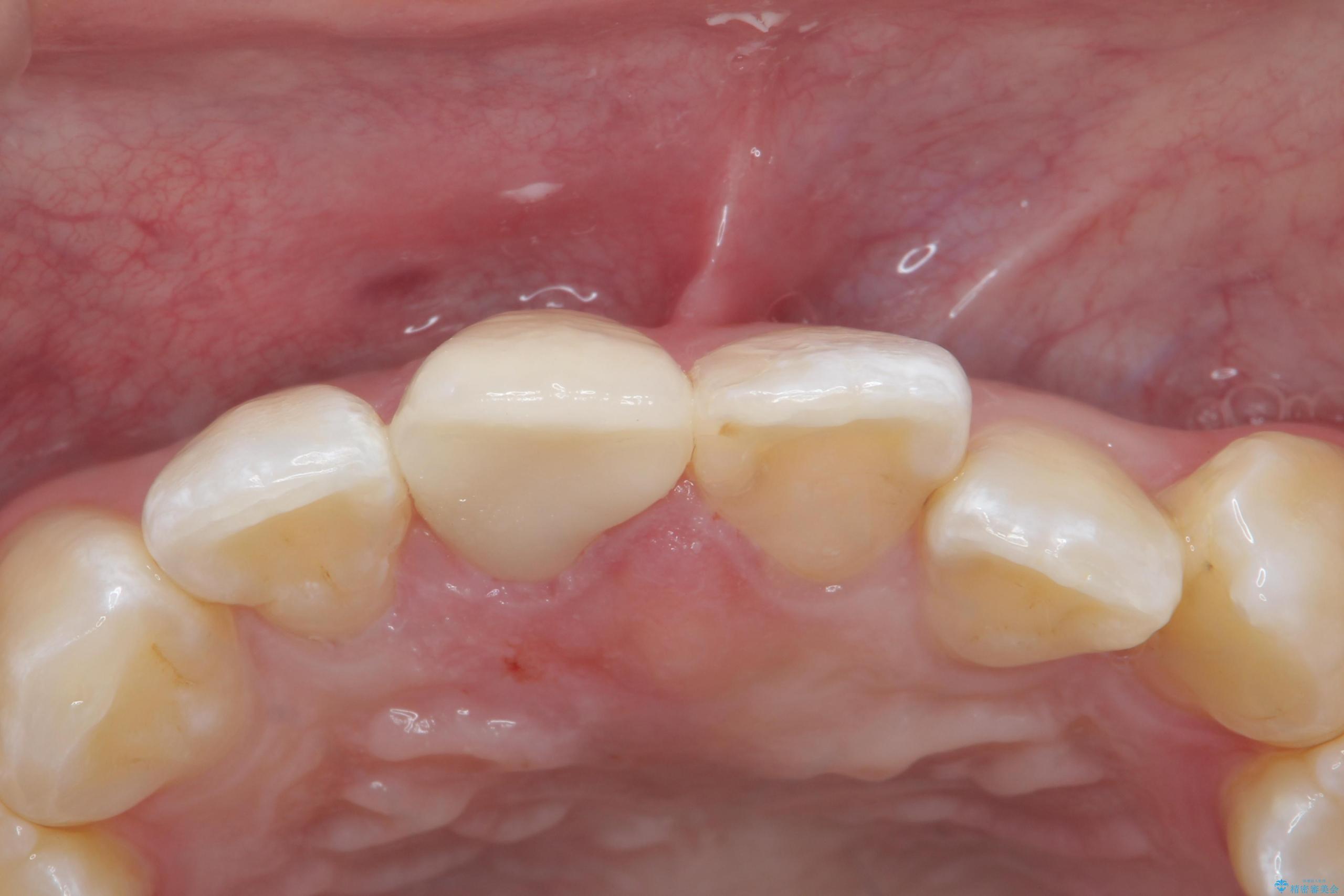
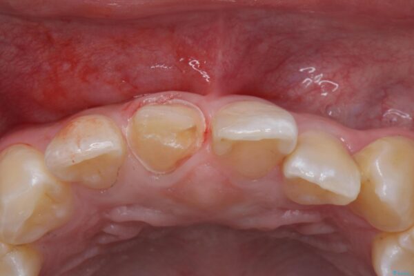
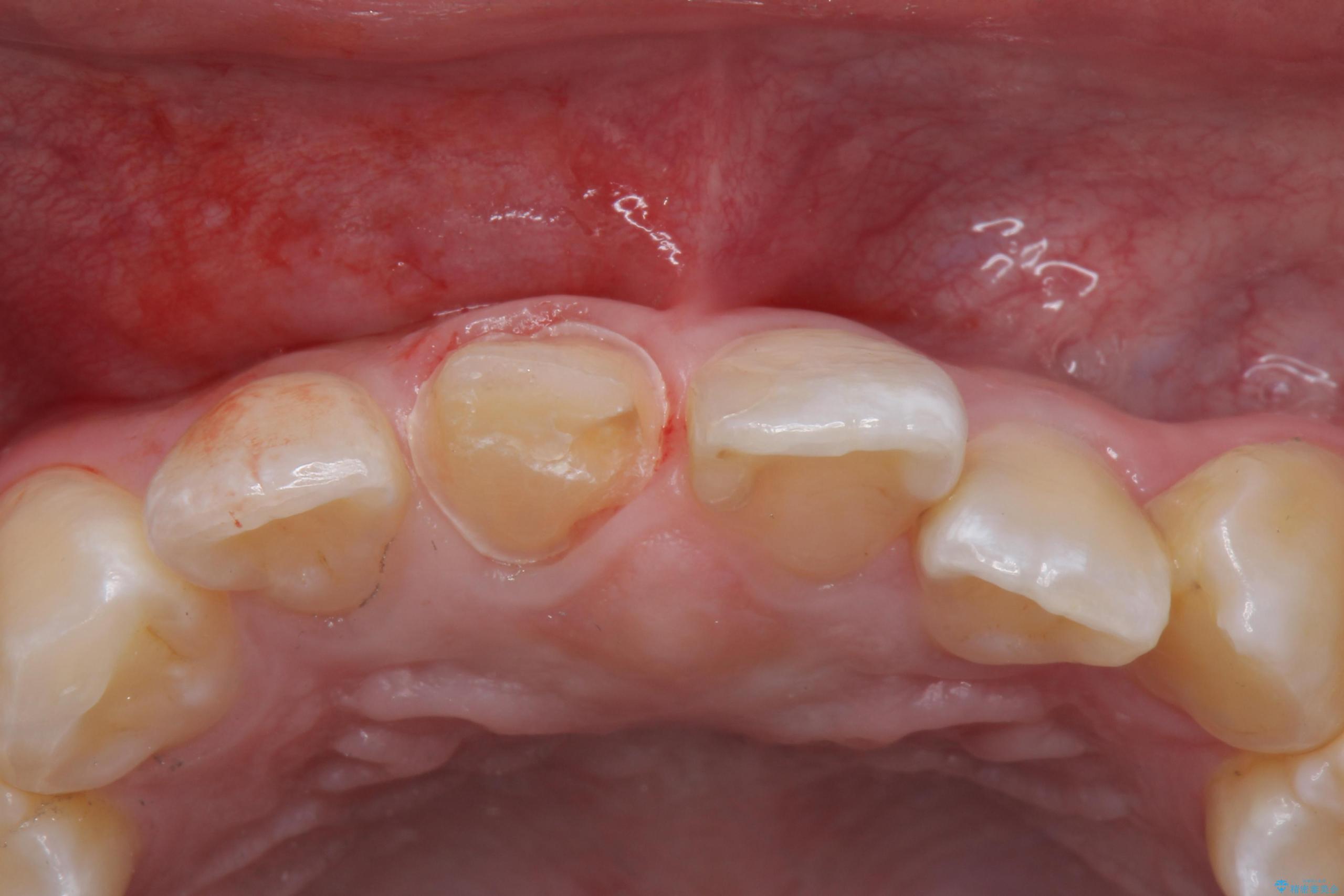
症例画像(クリックで拡大します)

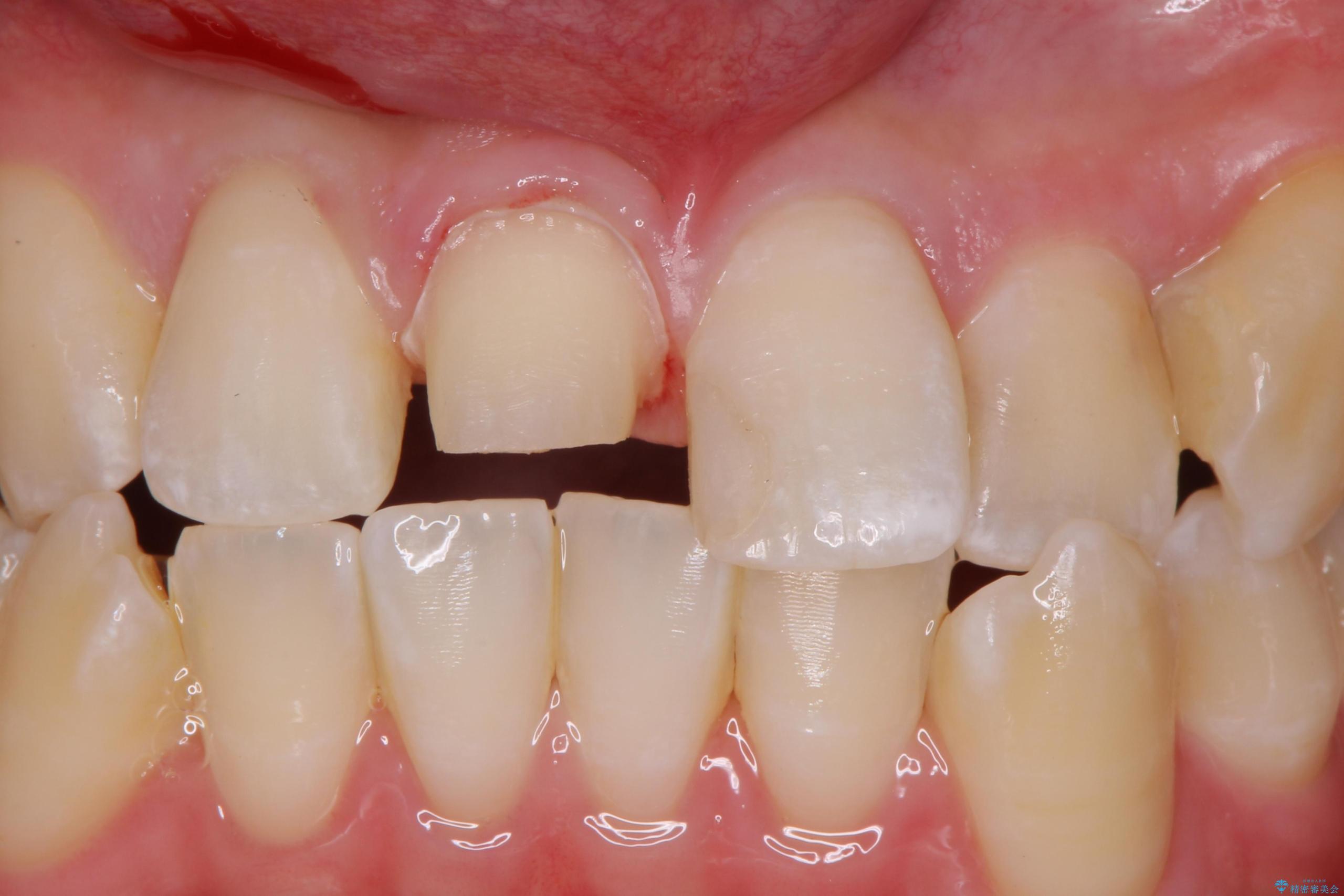
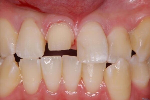
治療前
保険のかぶせ物の色が気になる 治療前画像 保険のかぶせ物の色が気になる 治療前画像 保険のかぶせ物の色が気になる 治療前画像
治療中
保険のかぶせ物の色が気になる 治療中画像 保険のかぶせ物の色が気になる 治療中画像 保険のかぶせ物の色が気になる 治療中画像
治療後
保険のかぶせ物の色が気になる 治療後画像 保険のかぶせ物の色が気になる 治療後画像 保険のかぶせ物の色が気になる 治療後画像

セラミック治療の注意事項(リスク・副作用など)

・天然歯を削ります
・硬い素材は天然歯を傷つけてしまう場合があります
・かみ合わせや歯ぎしりが強すぎる方はセラミックが割れてしまう可能性があります
・自費診療(保険適用外治療)となります